Как избавиться от тараканов суперклей видео ютуб. Ловушки для тараканов. Канал Тутси
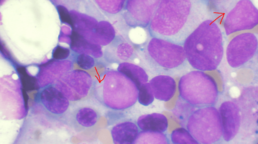
Учёные раскрыли, как клетки лейкемии обманывают иммунную систему — и нашли способ их «разоблачить»
Исследователи из Лундского университета (Lund University) в Швеции обнаружили, каким образом клетки острого миелоидного лейкоза (ОМЛ) ускользают от иммунной защиты организма.
Команда разработала антитело, которое блокирует этот механизм, после чего иммунная система вновь начинала распознавать и уничтожать раковые клетки — как в лабораторных экспериментах, так и у мышей.
Результаты опубликованы в журнале Nature Cancer. Иммунотерапия за последние годы изменила подход к лечению многих опухолей — от меланомы до рака лёгких...
Серьезные опасения научного сообщества - ИИ создал революционный вирус-убийцу
Революционное открытие вызвало серьезные дискуссии о безопасности. Системный биолог Дмитрий Чебанов из онкологического центра имени Слоуна-Кеттеринга предупреждает: "Опыт показывает, что мы как человечество и естественные вирусы не очень-то можем контролировать. И поэтому с искусственным такая же история". Аспирантка ИТМО Анастасия Орлова указывает на фундаментальную проблему: результат работы ИИ полностью зависит от обучающих данных. "Если в исходных данных присутствует много опасных соединений, искусственный интеллект будет генерировать опасные соединения", - объясняет она...