Google Таблицы. Урок 27. Условное форматирование. Как выделить цветом данные, удовлетворяющие условию
👁️ Красота в глазах смотрящего, или почему важен цветовой контраст в гистологии
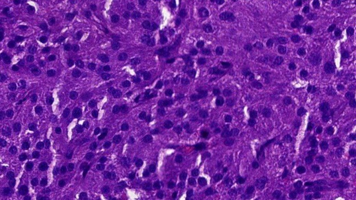
👁️ Красота в глазах смотрящего, или почему важен цветовой контраст в гистологии 🔬 В лаборатории VetPathologyCito произошел показательный случай: при ежедневном контроле качества обнаружилось, что препараты выглядят перекрашенными в сине-фиолетовый цвет с почти черными ядрами (Фото 1). Это делало невозможной оценку критически важных показателей — фигур митоза и распределения хроматина. 🔍 Но при микроскопии те же препараты выглядели идеально! (Фото 2,3) Оказалось, проблема была не в качестве окраски гематоксилином и эозином, а в настройках сканера...
Гистология и иммуногистохимия: в чем разница?
Гистологическое морфологическое исследование, или, как часто его называют, гистология, — это ключевой метод диагностики онкологических заболеваний. Гистология проводится с использованием ткани, взятой во время биопсии. Основная цель исследования — дифференцировать опухоль, определить является ли новообразование доброкачественным или злокачественным. Именно гистологией подтверждается рак. Одного гистологического исследования бывает недостаточно, чтобы точно определить тип опухоли и правильно назначить лечение...