• Главная
  • Подписки
  • Найти
  • Новости
  • Статьи
  • Видео
  • Ролики
  • Видеоигры
  • Детям
Всё о ДзенеВакансииДзен на iOS и Android
ВсёНовостиТемыКаналыВидео и РоликиСтатьи и Посты
Образование
08:45
1,0×
00:00/08:45
Иванова Наука
26,9 тыс смотрели · 11 месяцев назад
СТОЛОВАЯ ЛОЖКА В ДЕНЬ ИЗБАВИТ ОТ ЗАПОРА и ВОСПАЛЕНИЯ В КИШЕЧНИКЕ. Вот почему Гутталакс не работает.
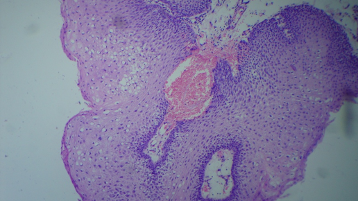
Патология человека
4 года назад
Часто используемые гистологические окраски
В статье описаны основные гистохимические окраски, используемые в практике гистологической лаборатории
01:34
1,0×
00:00/01:34
ТУТСИ - диеты и путешествия
183,8 тыс смотрели · 10 лет назад
Как избавиться от тараканов суперклей видео ютуб. Ловушки для тараканов. Канал Тутси
Также ищут
метафизика определение в философии этометод композиции при исследовании социально экономических и политических процессовметод координат геодезияметод мощностей в исторической геологииметоды экономической социологии
4212918994.1794.1765524180934.58009