Esmira Memmedova - Xeyallarimin İnsani 2020 / Official Klip
Успешная операция при опухолевом поражении более чем 75% паренхимы печени. История пациентки.
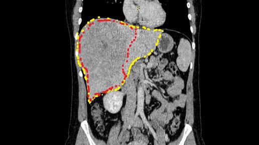
История пациентки И., 40 лет. Около 2 лет назад впервые появились жалобы на тупого характера ноющую боль в правом подреберье. Как свойственно людям молодого возраста, особого значения боли И. не придавала, мыслей о плохом не было, поэтому за медицинской помощью не обращалась почти полгода. Но боль не проходила, а со временем даже стала усиливаться. При обследовании по месту жительства выявлено объемное образование печени больших размеров (150х120х160 мм), вторичноочаговое поражение наддиафрагмальных лимфоузлов...