Сеня рядом и Белла пришел. Былое
Ученые разгадали секрет агрессивности глиобластомы
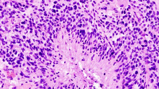
Американские онкологи выяснили, почему глиобластома остается одной из самых агрессивных и неподдающихся лечению форм рака. Эксперименты на мышах показали, что опухоль разрушает череп и костный мозг внутри него, что делает саму опухоль еще более агрессивной, говорится в работе, опубликованной в журнале Nature Neuroscience. Глиобластома — наиболее агрессивная из известных форм опухоли мозга. Глиобластомы часто растут в лобной и височной долях мозга, также они могут быть обнаружены в стволе мозга, мозжечке, других частях головного и спинного мозга...
ЮМОР. не ЭЙНШТЕЙН
Моя новая компьютерная мышь, торговая марка "ЕРИК"!