8:00 №19 Введение в микробиологию Принципы классификации микроорганизмов
Интересные клинические случаи: мужчина 21 года с затрудненным дыханием
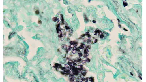
21-летний мужчина, не имеющий в прошлом серьезных заболеваний, поступил в отделение неотложной помощи с острой гипоксемической дыхательной недостаточностью. Он также сообщил о продуктивном кашле с зеленой мокротой и непреднамеренной потере веса на 30 фунтов за последние 5 месяцев. При поступлении насыщение кислородом было на уровне 80, а первоначальные анализы показали молочнокислый ацидоз и реактивный ВИЧ Ag/Ab. Его вирусная нагрузка ВИЧ составляла 1 359 029 копий/мл при количестве CD4 37 клеток/мм3 ...