Сеня рядом и Белла пришел. Былое
Временный протез на имплантатах до 7 зубов - как это возможно, причём тут титановая балка и цифровой протокол
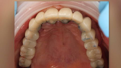
Временный протез, обычно, ассоциируется с чем-то ущербным. Короткий зубной ряд и всё такое. Нихачу, нибуду... Но когда приходит реальная нужда, соглашаются и на такое. А что, если я скажу, что временный протез до седьмых зубов - не фантастика. До семёрок. На временной конструкции! Это не пластик на пару месяцев, тут всё по-взрослому - индивидуальная титановая балка, как всегда, прилагается. Прочная, точная, комфортная конструкция. Да, дорогая. Я никогда не пишу, что у нас дешёвая тотальная реабилитация имплантологическая...
Протокол обучения по охране труда
Протокол обучения по охране труда - это документ, который подтверждает прохождение обучения и получение необходимых знаний и навыков в области охраны труда и безопасности на производстве. Протокол может включать информацию о сотруднике, дату обучения, тему обучения, оценку знаний сотрудника и подпись преподавателя...