133 читали · 5 лет назад
Флюс на десне — лечение в домашних условиях
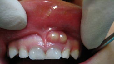
Что такое флюс (периостит) Флюс на десне или периостит — это воспаление десны, при котором у основания зуба образуется гнойный мешочек. Визуально флюс выглядит как шишка на десне, наполненная желтым гноем. Шишка сопровождается отёком окружающих тканей зуба и слизистой. Это серьезное заболевание, которое без своевременного и грамотного лечения переходит в острую форму. Периостит сопровождается зубной болью, которая может отдавать в ухо. Почему появляется флюс Чаще всего флюс на щеке появляется в результате инфекционных заболеваний...
05:51
1,0×
00:00/05:51
56,3 тыс смотрели · 4 года назад