ИНТЕРВЬЮ. Константин Третьяков о патриотическом воспитании молодежи
Нейроперсоналии: Константин Третьяков. 50 оттенков чёрного
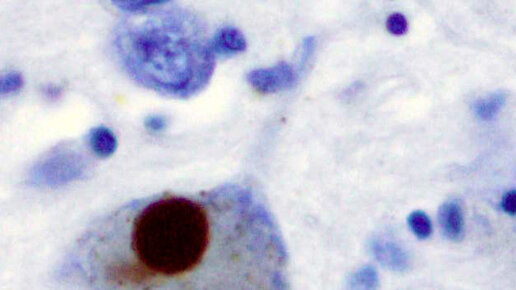
На новогодних каникулах мы пропустили ещё один важный юбилей: 125 лет со дня рождения выдающегося российского, французского, бразильского и советского невролога, благодаря которому мы знаем, где начинается болезнь Паркинсона. Константин Третьяков Он родился 8 января 1893 (26 декабря 1892 года старого стиля) в не так давно присоединенных к Российской империи среднеазиатских землях, в Новом Маргилане. Теперь это узбекская Фергана. Наш герой был потомственным медиком – Николай Третьяков был военным врачом...
«Возбуждено уголовное дело по признакам преступления, предусмотренного частью 1 статьи 138 УК РФ»: адвокат Константин Третьяков о взломе аккаунта Артёма Чекалина
Уголовное дело возбуждено из-за взлома аккаунта блогера Артёма Чекалина. Об этом сообщил адвокат его бывшей супруги Константин Третьяков в беседе с РИА «Новости». По словам юриста, дело открыто по статье о нарушении тайны переписки. «Возбуждено уголовное дело по признакам преступления, предусмотренного частью 1 статьи 138 УК РФ, по факту нарушения неустановленными лицами тайны переписки Артёма Чекалина», — процитировал адвокат. По данным следствия, 15 августа прошлого года, когда Чекалин находился...