06:44
1,0×
00:00/06:44
930 тыс смотрели · 4 года назад
Как проводится гинекологическое УЗИ?
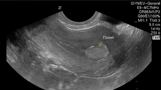
Гинекологическое ультразвуковое исследование (УЗИ) – это безопасная процедура, позволяющая врачу получить детальное представление о состоянии женских органов. Цели гинекологического УЗИ 1. Диагностика заболеваний УЗИ позволяет выявить различные гинекологические заболевания: ● Миома матки ● Киста яичников ● Эндометриоз ● Полипы 2. Контроль за беременностью УЗИ является важной процедурой для контроля за развитием плода, состоянием матки во время беременности. 3. Оценка фолликулогенеза УЗИ помогает...