10,4 тыс читали · 17 часов назад
В Новосибирске спасли пациента с почкой размером с пятилитровую бутылку
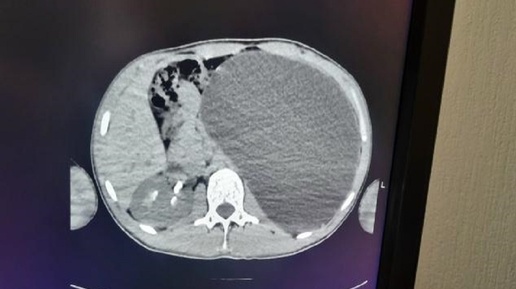
Врачи спасли 17-летнего жителя Новосибирска с гидронефрозом почки. Увеличившийся до гигантских размеров орган мог разорваться в любую минуту. "У нашего пациента почка достигла размеров пятилитровой бутылки! Она занимала почти весь объем живота и давила на все соседние органы. Это была настоящая "бомба замедленного действия": любая травма, случайный удар в живот - и мешок мог разорваться внутри", - рассказали в Детской городской клинической больнице № 1. Опасную патологию выявили случайно. 17-летний парень никогда не жаловался на проблемы с почками и чувствовал себя совершенно здоровым...