Редкий кроссовый мотоцикл СССР. Ремонт
Упавшего с кроссового мотоцикла подростка спасли в МОДКТОБ
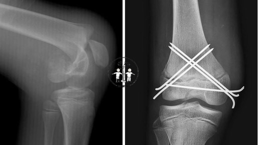
Врачи Московской областной детской клинической травматолого-ортопедической больницы спасли 16-летнего подростка, упавшего с кроссового мотоцикла. Юноша потерял управление из-за заклинившей педали газа. Специалисты обследовали пострадавшего и выявили у него перелом бедренной кости, что потребовало срочного вмешательства. Сначала хирурги вернули отломки в правильное положение. «Это было необходимо для правильного сращивания кости и восстановления анатомической функции ноги...