Добавить в корзинуПозвонить
Найти в Дзене

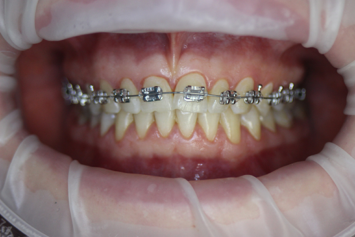
Установка брекетов.

Решение поставить брекеты — это, пожалуй, одна из лучших инвестиций в себя т здоровье своих зубов. Многие думают, что установка брекетов — это легко и просто: пришел, выбрал цвет, приклеил и ушел. Но на самом деле, это целая операция, требующая тщательного планирования. Мы не просто ровняем зубы, мы работаем с твоими мышцами и суставами. Поэтому без тщательной подготовки никуда. Сначала мы делаем полную диагностику: фотографии зубов со всех ракурсов, КТ (компьютерную томографию), снимаем слепки или делаем 3D-сканирование зубов. Это нужно, чтобы рассчитать все передвижения до миллиметра и составить подробный план лечения, учитывающий все индивидуальные особенности. Прежде чем мы приступим к фиксации, зубы должны быть в идеальном порядке. Никакого кариеса, никаких «ой, это маленькое пятнышко не мешает». Под брекетами любая проблема может разрастись очень быстро. И, конечно, необходима профессиональная гигиена — зубы должны быть кристально чистыми, чтобы брекеты держались «намертво». Дале
Стоматология Премоляр
Стоматология Премоляр

Решение поставить брекеты — это, пожалуй, одна из лучших инвестиций в себя т здоровье своих зубов.

Многие думают, что установка брекетов — это легко и просто: пришел, выбрал цвет, приклеил и ушел. Но на самом деле, это целая операция, требующая тщательного планирования. Мы не просто ровняем зубы, мы работаем с твоими мышцами и суставами. Поэтому без тщательной подготовки никуда.

Сначала мы делаем полную диагностику: фотографии зубов со всех ракурсов, КТ (компьютерную томографию), снимаем слепки или делаем 3D-сканирование зубов. Это нужно, чтобы рассчитать все передвижения до миллиметра и составить подробный план лечения, учитывающий все индивидуальные особенности.

Прежде чем мы приступим к фиксации, зубы должны быть в идеальном порядке. Никакого кариеса, никаких «ой, это маленькое пятнышко не мешает». Под брекетами любая проблема может разрастись очень быстро. И, конечно, необходима профессиональная гигиена — зубы должны быть кристально чистыми, чтобы брекеты держались «намертво».

Далее приступаем к выбору брект-системы. Выбор брекетов — это всегда самый интересный и одновременно сложный момент для пациента. Сейчас на рынке столько вариантов, что глаза разбегаются: от классических металлических брекетов до эстетических керамических и сапфировых.

Помимо материала, есть еще разница в механизме: лигатурные (с резиночками) и самолигирующие (на замочках). Если коротко, то вторые более технологичные, позволяют реже ходить на прием и процесс перемещения зубов на них часто идет мягче.

И наконец мы переходим к долгожданной фиксации брекетов. Сразу успокою: больно не будет, анестезия не пригодится и сверлить ничего не нужно. Длится это удовольствие приблизительно 30 минут.

Процесс выглядит примерно так:

Подготовка эмали: Мы чистим каждый зубик специальной пастой и обрабатываем гелем, который делает поверхность чуть шершавой (на микроуровне), чтобы клей зафиксировался идеально.

Нанесение клея (адгезива): на каждый брекет наносится специальный ортодонтический клей.

Стоматология Премоляр
Стоматология Премоляр

Позиционирование: это самый ответственный момент. врач выставлет каждый брекет в строго определенную точку на зубе.

Полимеризация: каждый брекет засвечивается УФ-лампой, и клей застывает.

Установква дуги: через все замочки продевается специальная металлическая дуга. Именно она обладает «памятью формы» и будет тянуть зубы в нужное положение. Мы защелкиваем замочки или надеваем резиночки — и вуаля, брекет-система уже начинает свою работу!

После установки брекетов мы обязательно выдаем «набор выживания»: специальный воск (если брекеты будут натирать), средства гигиены и проводим подробный курс по борьбе с зубным налетом.

Да, поначалу может показаться, что жизнь превратилась в сплошную чистку зубов и ограничения в еде. Но опираясь на опыт тысяч пациентов: через пару недель все перестают их замечать. Брекеты станут твоей изюминкой, а когда ты увидишь первые результаты в зеркале (а они появятся уже через пару месяцев!), то поймешь, что всё это было не зря.

Записывайтесь к нам на Профессиональную гигиену.
Вне зависимости от стоимости, мы проводим гигиену по одному строгому протоколу.
Оставляйте заявку на сайте
https://premolyar.ru/ звоните или пишите нам на Whats App - 89995503626