Добавить в корзинуПозвонить
Найти в Дзене

Кошка упала с высоты и тяжело дышит: как распознать пневмоторакс и спасти питомца

Среди всех скрытых травм, которые кошка может получить при падении с высоты, пневмоторакс — один из самых быстрых и безжалостных убийц. Если переломы дают владельцу несколько часов или даже дней на раздумья, то скопление воздуха в грудной полости способно привести к гибели животного за считанные минуты. При этом внешне кошка может выглядеть так, будто просто «запыхалась» от испуга. Рассказываем,

Среди всех скрытых травм, которые кошка может получить при падении с высоты, пневмоторакс — один из самых быстрых и безжалостных убийц. Если переломы дают владельцу несколько часов или даже дней на раздумья, то скопление воздуха в грудной полости способно привести к гибели животного за считанные минуты. При этом внешне кошка может выглядеть так, будто просто «запыхалась» от испуга. Рассказываем, что это за состояние и как не дать ему унести жизнь вашего питомца.

Что такое пневмоторакс простыми словами

В норме легкие кошки плотно прилегают к стенкам грудной клетки, а между ними и ребрами существует лишь тонкая щель — плевральная полость, заполненная небольшим количеством жидкости. В этой полости поддерживается отрицательное давление, которое позволяет легким расправляться при вдохе.

Пневмоторакс — это состояние, при котором в плевральную полость попадает воздух. Давление становится положительным или равным атмосферному, и легкое поджимается, спадается, теряя способность участвовать в газообмене. Если воздух продолжает поступать, сдавливаются и второе легкое, и сердце, и крупные сосуды. Это называется напряженным пневмотораксом и без экстренной помощи заканчивается остановкой дыхания и кровообращения.

Почему при падении из окна возникает пневмоторакс

У высотной травмы есть несколько механизмов, приводящих к попаданию воздуха в грудную полость.

1. Разрыв легочной ткани (самая частая причина).

При резком ударе о землю грудная клетка сжимается, а легкие в этот момент наполнены воздухом. Создается избыточное давление, и нежная легочная ткань лопается — как перекачанный воздушный шарик. Воздух из поврежденного легкого начинает выходить в плевральную полость при каждом вдохе.

2. Перелом ребра с повреждением легкого.

Острый обломок ребра протыкает легкое изнутри, создавая свищ, через который воздух поступает в плевральную полость.

3. Разрыв трахеи или бронха.

При сильном ударе и резком запрокидывании головы может произойти надрыв или разрыв крупных дыхательных путей. Это редкий, но очень тяжелый вариант, требующий сложной хирургической операции.

4. Открытая рана грудной стенки.

Если падение сопровождалось проникающим ранением (например, об острый штакетник забора или арматуру), воздух засасывается в плевральную полость через рану при вдохе. Такое состояние называется открытым пневмотораксом.

Как выявить пневмоторакс: симптомы, которые нельзя игнорировать

Внешних повреждений может не быть вовсе. Кошка просто сидит или лежит, но дышит «как-то не так». Вот конкретные признаки, на которые нужно реагировать немедленно.

Ранние признаки (первые минуты и часы):

· Частое поверхностное дыхание. Нормальная частота дыхания у кошки в покое — 20–30 вдохов в минуту. При пневмотораксе она может достигать 60–80, при этом вдохи короткие, «глотательные».

· Дыхание животом. Кошка дышит не грудью, а животом — брюшная стенка активно поднимается и опускается. Это называется абдоминальным типом дыхания и говорит о том, что грудные мышцы не справляются.

· Вытянутая шея и открытый рот. Кошка сидит, широко расставив передние лапы, вытянув шею и приоткрыв рот, пытаясь захватить больше воздуха. Это признак тяжелой дыхательной недостаточности.

· Синюшность (цианоз) слизистых. Загляните кошке в рот — десны, нёбо и язык приобретают синеватый или серо-фиолетовый оттенок. Это означает, что кровь перестала насыщаться кислородом. Ситуация критическая, счет идет на минуты.

Чего НЕ будет при пневмотораксе:

· Кашля (как правило).

· Крови из носа или рта (если нет сопутствующей травмы нёба).

· Громкого дыхания или хрипов (дыхание чаще тихое, угнетенное).

Важный нюанс: в первые минуты после падения кошка может быть в шоке, и симптомы дыхательной недостаточности нарастают постепенно. Поэтому даже при малейших сомнениях в характере дыхания — немедленно в клинику.

Диагностика в ветеринарной клинике

Времени на долгие размышления у врача нет. Диагноз ставится быстро на основании осмотра и простых методов.

1. Аускультация (прослушивание).

Врач прикладывает фонендоскоп к грудной клетке. На стороне пневмоторакса дыхательные шумы резко ослаблены или отсутствуют вовсе. Сердечный толчок может быть смещен в здоровую сторону.

2. Торакоцентез (прокол грудной стенки).

Это одновременно диагностическая и лечебная манипуляция. Тонкой иглой врач делает прокол в межреберном промежутке. Если в шприц поступает воздух — диагноз подтвержден. Откачивание этого воздуха немедленно облегчает состояние животного.

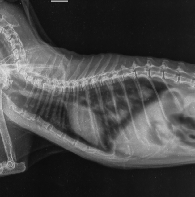
3. Рентгенография грудной клетки.

Проводится после стабилизации состояния. На снимке видно поджатое легкое, отставшее от грудной стенки, и скопление воздуха. Рентген также позволяет выявить сопутствующие травмы — переломы ребер, ушиб легкого, наличие жидкости (крови) в плевральной полости.

-2

4. УЗИ грудной клетки (реже).

Используется для быстрой оценки в экстренных случаях, когда рентген недоступен, либо для выявления жидкости.

Как помочь животному: первая помощь и лечение

До приезда в клинику (что может сделать владелец):

· Покой и минимум движений. Любая физическая нагрузка увеличивает потребность в кислороде и усугубляет состояние. Несите кошку на руках в горизонтальном положении или на жестких носилках.

· Не пытайтесь делать искусственное дыхание или массаж сердца, если кошка дышит самостоятельно — вы можете навредить.

· Если есть открытая рана груди. Наложите на нее чистую ткань, полиэтиленовый пакет и зафиксируйте пластырем с трех сторон. Четвертую сторону оставьте свободной! Это создаст клапан: воздух будет выходить из раны на выдохе, но не засасываться внутрь на вдохе. Полностью герметично закрывать рану нельзя — это превратит открытый пневмоторакс в напряженный.

Что сделает ветеринарный врач:

1. Торакоцентез и дренирование. При значительном скоплении воздуха врач откачивает его шприцем. Если воздух продолжает накапливаться (напряженный пневмоторакс), в грудную полость устанавливают плевральный дренаж — тонкую трубочку, через которую воздух отводится постоянно в течение нескольких дней.

2. Кислородотерапия. Кошку помещают в кислородную камеру (кислородный бокс) или подают кислород через маску. Это критически важно для насыщения крови кислородом, пока легкое не расправится.

3. Обезболивание. Пневмоторакс и переломы ребер очень болезненны. Боль мешает кошке глубоко дышать, поэтому адекватное обезболивание — обязательный компонент лечения.

4. Хирургическое лечение (в сложных случаях). Если через 3–5 дней дренирования утечка воздуха не прекращается, это говорит о крупном разрыве легкого или бронха. Тогда требуется торакотомия (вскрытие грудной клетки) и ушивание дефекта.

Последствия и прогноз

Благоприятный исход. При небольшом закрытом пневмотораксе без обширного ушиба легких воздух может рассосаться самостоятельно за 5–7 дней, особенно на фоне кислородотерапии и покоя. После удаления дренажа кошка полностью восстанавливается и живет обычной жизнью.

Возможные осложнения.

· Рецидивирующий пневмоторакс. Если на легком образовалась киста или булла (пузырь), она может лопнуть повторно даже спустя месяцы.

· Ушиб легкого (контузия). Развивается через 24–48 часов после травмы. Проявляется нарастанием дыхательной недостаточности, несмотря на удаление воздуха. Требует длительной интенсивной терапии.

· Пневмония. Длительное стояние дренажа или попадание крови в легкие может спровоцировать воспаление.

· Фиброз легкого. Участок ушиба замещается рубцовой тканью, которая не участвует в газообмене. Если зона небольшая, это не сказывается на качестве жизни.

-3

Прогноз. При своевременном обращении в клинику (в первые часы после появления симптомов) выживаемость при травматическом пневмотораксе у кошек превышает 85%. Главные факторы успеха — быстрая диагностика и немедленное удаление воздуха из плевральной полости.

Резюме для владельца

Если кошка упала из окна, не ждите, что она «отлежится». Следите за дыханием. Частое дыхание животом, вытянутая шея, синюшные десны — повод мчаться в клинику без промедления. Пневмоторакс — это та травма, при которой промедление даже в полчаса может стоить жизни. Но при грамотной и быстрой помощи шансы на полное выздоровление очень высоки.

Статья носит ознакомительный характер. При любых признаках нарушения дыхания у питомца немедленно обратитесь к ветеринарному врачу.

Берегите своих пушистых непосед. И поставьте, пожалуйста, ❤️ — так вы поможете этому важному тексту увидеть больше владельцев.