Добавить в корзинуПозвонить
Найти в Дзене
Parodoctor

Отбеливание зубов Zoom 4 за один визит - реальный результат и честный разбор процедуры

Вот белые зубы, кто бы что ни говорил, точно добавляют образу эстетики - я бы сказала, иногда они являются ключевым элементом. Не искусственно-фарфоровые, не "голливудские" до неправдоподобия - а адекватно белые, натуральные. Если свои зубы живые, эмаль родная и она хорошая, форма устраивает - я за отбеливание. Не за виниры! Отбеливание и ортодонтия, никакой "пилёжки" эмали радикальной. Те, кто давно читает мой блог, знают - я всегда заступаюсь за сохранение хороших родных тканей зубов. Мы вместе в мессенджерах льём слёзы в рубрике #ужасынаночь над спиленной эмалью доверчивых граждан, которые не подумали о последствиях своих хотелок. Отбеливание - другая история. При правильном подходе это не разрушение, а возможность обрести гармонию малой кровью. Год назад, прошлой весной, я сама прошла процедуру отбеливания Zoom 4 у себя в клинике. Проводила её Тирик Елизавета Дмитриевна - именно она у нас занимается этим направлением. Результат был вау: Подробно и честно я писала об этом в отдельно
Оглавление

Вот белые зубы, кто бы что ни говорил, точно добавляют образу эстетики - я бы сказала, иногда они являются ключевым элементом. Не искусственно-фарфоровые, не "голливудские" до неправдоподобия - а адекватно белые, натуральные.

Если свои зубы живые, эмаль родная и она хорошая, форма устраивает - я за отбеливание. Не за виниры! Отбеливание и ортодонтия, никакой "пилёжки" эмали радикальной. Те, кто давно читает мой блог, знают - я всегда заступаюсь за сохранение хороших родных тканей зубов. Мы вместе в мессенджерах льём слёзы в рубрике #ужасынаночь над спиленной эмалью доверчивых граждан, которые не подумали о последствиях своих хотелок.

Отбеливание - другая история. При правильном подходе это не разрушение, а возможность обрести гармонию малой кровью.

Год назад, прошлой весной, я сама прошла процедуру отбеливания Zoom 4 у себя в клинике. Проводила её Тирик Елизавета Дмитриевна - именно она у нас занимается этим направлением. Результат был вау:

Моё отбеливание - результат на второй день после процедуры
Моё отбеливание - результат на второй день после процедуры

Подробно и честно я писала об этом в отдельной статье, ссылку дам в конце статьи этой.

Сегодня ещё раз расскажу про то, как это работает, почему у одних получается яркий результат, а у других нет и при чём здесь перепрошитые чипы.

Что такое отбеливание Zoom 4 и как оно влияет на эмаль

Zoom 4 - это профессиональная кабинетная система отбеливания зубов, в которой используется сочетание отбеливающего геля и активирующего LED-света. Никакой абразии, никакого снятия эмали. Принцип работы химический - активное вещество геля проникает в эмаль и дентин и окисляет молекулы пигментов, которые придают зубам жёлтизну (делают их тёмными).

Важно понять - зуб становится светлее не за счёт того, что с него удаляют ткани. Он становится светлее за счёт того, что изнутри работают с пигментами. Эмаль остаётся на месте.

Ключевое - "при правильном подходе". Потому что испортить можно всё, что угодно, если делать что попало.

Почему Zoom 4 не всегда даёт нужный результат

Отбеливание Zoom 4 - это лицензированная система с конкретными гелями, конкретными параметрами света и конкретными расходниками. Всё это работает в связке и только в связке даёт тот результат, который обещает производитель.

Теперь про перепрошитые чипы.

У лампы Zoom есть система защиты - чип, который контролирует расходники. Одноразовые комплекты (гели, накладки, защитные материалы) рассчитаны на одну процедуру. Это не жадность производителя. Это контроль качества и гарантия нужного результата - свежий гель правильной концентрации, чистые расходники, стерильность.

Некоторые клиники используют перепрошитые лампы - такие, у которых чип не распознаёт, что расходники уже использованы. В ход идут гели непонятного происхождения, несовместимые с этой системой, или повторно применяемые комплекты. Результат предсказуем - неравномерное осветление, пятна, чувствительность, разочарование. Главное - никакой гарантии безопасности для эмали. И дискредитация хорошей и эффективной процедуры.

Мы в Parodent работаем только на оригинальном оборудовании и только с одноразовыми комплектами. Это дороже. Но нам важен результат процедуры, а не стоимость расходников. Так уж повелось, что нет нужды соревноваться за низкий прайс с коллегами по отрасли.

Клинический случай - отбеливание Zoom 4

К Елизавете Дмитриевне обратилась пациентка, пришла по рекомендации сестры, которая у неё лечится. Доверие, основанное на личном опыте близкого человека - это, пожалуй, самая честная рекомендация.

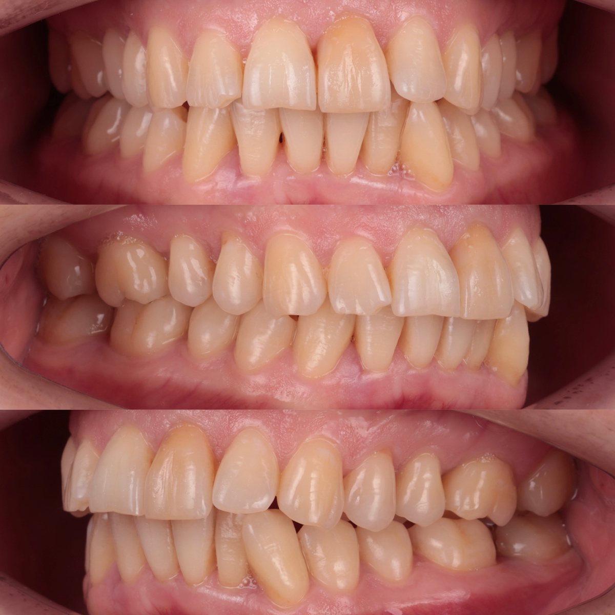
Зубы до:

До отбеливания Zoom 4
До отбеливания Zoom 4

Исходный цвет проверили с помощью поляризационного фильтра для достверности, получилось А2:

А2, до процедуры, поляризационнный фильтр
А2, до процедуры, поляризационнный фильтр

Провели четыре подхода по 15 минут, это максимальный стандартный протокол Zoom 4, стоимость не меняется в зависимости от количества подходов - помним про одноразовые расходники. Между подходами - контроль состояния эмали и дёсен. Каждый раз оценка цвета получившегося.

Десны перед процедурой изолируются специальным защитным составом, жидким коффердамом - гель должен работать только на эмали, не касаясь мягких тканей. Это важный этап, который при небрежном выполнении даёт ожоги десны и неприятные ощущения после процедуры.

Результат - зубы на несколько тонов светлее за один визит, из А2 в Блич 4:

Результат отбеливания Zoom 4
Результат отбеливания Zoom 4

Зубы стали ярче, но остались живыми и натуральными - не фарфоровыми, а именно своими, просто лучшей версией себя.

Проверяем цвет с поляризационным фильтром:

-5

Ориентируемся на самый тёмный цвет родных зубов. Зуб 2.2 был травмирован пациенткой ещё в детстве, поэтому он темнее других в пришеечной части. При этом, зуб точно живой.

После процедуры изготавливаются индивидуальные капы для отбеливания и пациент дома имеет возможность усилить яркость цвета в любой момент. Благодаря этому результат можно поддерживать очень долгое время. Ранее отбеленные зубы легче поддаются процедуре.

-6

Сколько держится результат

Результат отбеливания Zoom 4 держится от одного до трёх лет (ели вообще не поддерживать результат) - в зависимости от образа жизни. Кофе, чай, красное вино, курение ускоряют возвращение пигментации. Хорошая гигиена и отказ от красящих продуктов в первые 48 часов после процедуры (так называемая "белая диета") - продлевают эффект.

Поддерживать результат помогают домашние отбеливающие капы с гелем пониженной концентрации - это часть обязательного протокола. Тогда и первоначальный результат может быть более ярким, и длительность его может быть гораздо существенней.

Отбеливание Zoom 4
Отбеливание Zoom 4

Мне нравится.

Вывод

Отбеливание зубов обросло мифами с обеих сторон. Одни считают его абсолютно безопасным и делают где попало. Другие боятся его как огня и готовы терпеть тусклую улыбку всю жизнь.

Истина - посередине. Zoom 4 на оригинальном оборудовании, с правильными гелями и зубами, у врача, который понимает, что делает - это безопасная процедура с предсказуемым результатом. Не чудо, не навсегда, но имеет место быть и образу придаёт эстетичности. Если человеку хочется такого эффекта - это нормально.

Если ваши зубы живые, эмаль хорошая и вы просто хотите выглядеть свежее - это именно то, что вам нужно. Не слушайте тех, кто против, лучше сходите на консультацию в хорошую клинику к профессиональному врачу и узнайте, будет ли для вас процедура безопасной.

Моя история отбеливания:

Мой результат через год:

Если вам интересны подобные клинические истории - подписывайтесь на канал Parodoctor в Telegram и в MAX, возможность писать комментарии открыта на всех площадках. Там я рассказываю о стоматологии без прикрас: сложные случаи, нестандартные решения и то, что остаётся за кадром обычного приёма. Именно там я отвечаю на вопросы подписчиков, привлекая к ответам врачей команды, если это требуется.

Телеграмм:

Parodoctor

МАХ:

Parodoctor

С уважением, Лежачёва Наталия Александровна, хирург-пародонтолог и главный врач стоматологии Parodent, СПб.