Добавить в корзинуПозвонить
Найти в Дзене
Мозг в деле

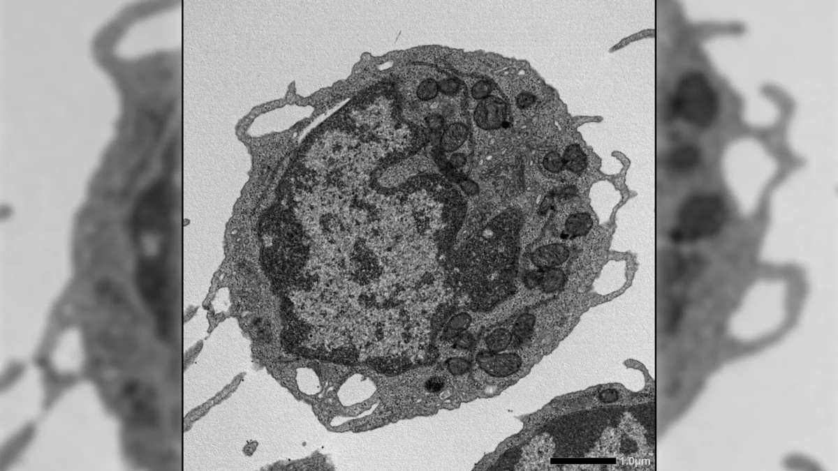
Наши стволовые клетки крови — это настоящие фабрики жизни, но со временем они постепенно теряют свою силу

Группа ученых из Японии и США обнаружила неожиданного виновника этого процесса. Оказалось, что белок MLKL, известный как триггер клеточной смерти, ведет скрытую двойную игру 🧬. Под воздействием возрастного стресса он не убивает клетки, а проникает в их энергетические станции — митохондрии — и буквально выводит их из строя. Это лишает кровь способности обновляться, а наш иммунитет — надежной защиты. Исследователи доказали: если заблокировать работу MLKL, стволовые клетки сохраняют молодость и продуктивность даже в глубокой старости. Это открытие открывает путь к созданию лекарств нового типа, которые помогут организму восстанавливаться после химиотерапии и защитят нас от старения 🩸. А вы бы хотели «перезагрузить» свои клетки, чтобы они всегда работали как в восемнадцать лет? #биология #наука #долголетие

Наши стволовые клетки крови — это настоящие фабрики жизни, но со временем они постепенно теряют свою силу. Группа ученых из Японии и США обнаружила неожиданного виновника этого процесса. Оказалось, что белок MLKL, известный как триггер клеточной смерти, ведет скрытую двойную игру 🧬. Под воздействием возрастного стресса он не убивает клетки, а проникает в их энергетические станции — митохондрии — и буквально выводит их из строя. Это лишает кровь способности обновляться, а наш иммунитет — надежной защиты. Исследователи доказали: если заблокировать работу MLKL, стволовые клетки сохраняют молодость и продуктивность даже в глубокой старости. Это открытие открывает путь к созданию лекарств нового типа, которые помогут организму восстанавливаться после химиотерапии и защитят нас от старения 🩸. А вы бы хотели «перезагрузить» свои клетки, чтобы они всегда работали как в восемнадцать лет?

#биология #наука #долголетие