Добавить в корзинуПозвонить
Найти в Дзене
Ростовский Дзен

Кариес смогут выявлять по фотографиям, сделанных на камеру мобильного телефона

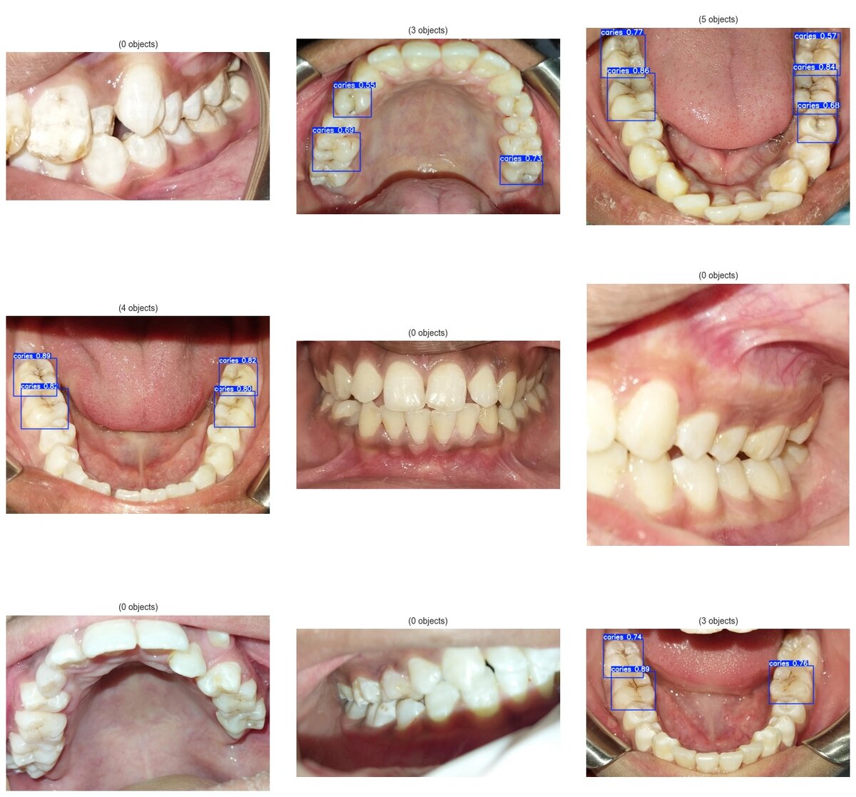
Кариес — одно из самых распространённых заболеваний в мире, и многие люди живут с ним годами, обращаясь к стоматологу лишь тогда, когда возникает боль. В Южном федеральном университете Денис Кривогуз, ведущий научный сотрудник, предложил инновационное решение этой проблемы: разработку системы на базе искусственного интеллекта, которая сможет определять наличие кариеса по фотографиям, сделанных с помощью мобильного телефона. Идея проекта возникла из личного опыта и наблюдений за тем, как сложно бывает записаться на приём к стоматологу. Часто для этого необходимо отпрашиваться с работы, стоять в очереди и в конечном итоге услышать то, что можно было бы выявить заранее. Понимание этой проблемы привело к важной мысли: людям нужен инструмент, который поможет им своевременно понять, когда стоит обратиться к врачу. По данным Всемирной организации здравоохранения, многие люди живут с нелеченым кариесом, а реальные цифры могут быть выше официальных. В исследовательском датасете, использованном
   Фото: пресс-центр ЮФУ
Фото: пресс-центр ЮФУ

Кариес — одно из самых распространённых заболеваний в мире, и многие люди живут с ним годами, обращаясь к стоматологу лишь тогда, когда возникает боль. В Южном федеральном университете Денис Кривогуз, ведущий научный сотрудник, предложил инновационное решение этой проблемы: разработку системы на базе искусственного интеллекта, которая сможет определять наличие кариеса по фотографиям, сделанных с помощью мобильного телефона. Идея проекта возникла из личного опыта и наблюдений за тем, как сложно бывает записаться на приём к стоматологу. Часто для этого необходимо отпрашиваться с работы, стоять в очереди и в конечном итоге услышать то, что можно было бы выявить заранее. Понимание этой проблемы привело к важной мысли: людям нужен инструмент, который поможет им своевременно понять, когда стоит обратиться к врачу.

-2

По данным Всемирной организации здравоохранения, многие люди живут с нелеченым кариесом, а реальные цифры могут быть выше официальных. В исследовательском датасете, использованном в проекте, на 1781 пациента приходилось более пяти тысяч поражённых зубов. Базовое лечение одного зуба может стоить тысячи рублей, что создаёт серьёзную финансовую нагрузку на пациентов. Денис Кривогуз из Южного федерального университета разработал систему на базе искусственного интеллекта, которая позволяет определять наличие кариеса по фотографиям, сделанным на мобильный телефон. «Мы хотим создать инструмент, который даст людям возможность самостоятельно получить первичный сигнал о необходимости визита к стоматологу», — говорит он. Пользователь открывает приложение, направляет камеру на полость рта, и нейросеть анализирует изображение, выделяя подозрительные зоны. Важно отметить, что технология не заменяет врача, а лишь дополняет диагностику. Например, система может указать на необходимость записи к стоматологу, но не ставит диагноз. Проект основан на архитектуре YOLOv8, которая эффективно работает для анализа видеопотока с камеры. Версия YOLOv8n показала высокую точность и скорость обработки, что делает её подходящей для мобильных устройств. Выбор этой модели основан на сочетании практического опыта и научной базы в области стоматологической диагностики.

-3

Для обучения модели использовался публичный датасет стоматологических снимков, предоставленный стоматологами из Пакистана, которые вручную отметили области кариозных поражений. Это позволило создать «золотой стандарт» для обучения нейросети. Первые результаты показали, что система может быть полезной: она обнаружила проблему у человека без жалоб, что подтвердил стоматолог. Однако переход от лаборатории к реальной жизни оказался сложным. Основная проблема — разница между качественными клиническими изображениями и снимками, сделанными на смартфон, что приводило к ложным срабатываниям из-за артефактов освещения. Вторая сложность связана с этическими аспектами: необходимо получать информированное согласие участников. Сегодня проект находится на стадии исследовательского прототипа, демонстрируя потенциал для практического применения. В планах — создание мобильного приложения, доступного для обычных пользователей, а также подготовка научной публикации для независимой экспертизы результатов. Это соответствует стратегии ЮФУ по разработке решений для реальной жизни.

-4

«Наш проект ярко иллюстрирует подход, который мы реализуем в Южном федеральном университете: мы стремимся создавать не просто теоретические разработки, а практические решения, доступные каждому. Это осуществляется через удобные мобильные приложения, интуитивно понятные интерфейсы и простые сценарии использования. Нам важно, чтобы результаты наших исследований не оставались только в научных публикациях, а приносили реальную пользу в жизни людей — будь то в агросекторе, оценке климатических рисков или, как в данном случае, в области здоровья и профилактики кариеса, улучшая качество жизни. Искусственный интеллект не заменит стоматолога, но он может стать надежным помощником, который вовремя напомнит о необходимости уделить внимание своему здоровью», — подчеркивает Денис Кривогуз.