Добавить в корзинуПозвонить
Найти в Дзене
CatUniverse

NETоз: собственная ДНК как… оружие?

Как известно, ДНК служит хранилищем всей информации, необходимой клетке для развития, поддержания своего существования и выполнения своей функции. Около двух метров хроматина (ДНК в комплексе с белками – гистонами) лежит в ядре каждой клетки в конденсированном (чудовищно свернутом) виде – немудрено и запутаться. Было бы очень скучно, если бы это сокровище не нашло бы применения получше, чем просто какое-то там хранилище информации. И такое применение нашлось! Нейтрофилы – это самый распространенный тип белых клеток крови (их доля составляет 50-70%). Они обладают широким арсеналом, предназначенным для борьбы с патогенными микроорганизмами. Во-первых, нейтрофилы способны фагоцитировать (то есть попросту съедать) чужеродные частицы. Во-вторых, они могут генерировать активные формы кислорода – разномастные ионы, радикалы и перекиси, окисляющие жиры, белки и все что под руку попадется. В-третьих, они могут выбрасывать наружу содержимое своих специфических гранул, которое: - Разрушает межкле

Как известно, ДНК служит хранилищем всей информации, необходимой клетке для развития, поддержания своего существования и выполнения своей функции. Около двух метров хроматина (ДНК в комплексе с белками – гистонами) лежит в ядре каждой клетки в конденсированном (чудовищно свернутом) виде – немудрено и запутаться. Было бы очень скучно, если бы это сокровище не нашло бы применения получше, чем просто какое-то там хранилище информации. И такое применение нашлось!

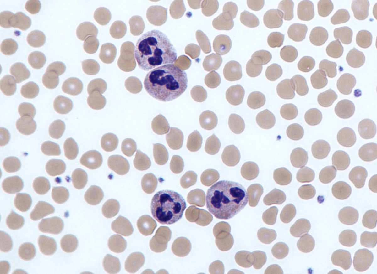
Нейтрофилы в мазке крови
Нейтрофилы в мазке крови

Нейтрофилы – это самый распространенный тип белых клеток крови (их доля составляет 50-70%). Они обладают широким арсеналом, предназначенным для борьбы с патогенными микроорганизмами. Во-первых, нейтрофилы способны фагоцитировать (то есть попросту съедать) чужеродные частицы. Во-вторых, они могут генерировать активные формы кислорода – разномастные ионы, радикалы и перекиси, окисляющие жиры, белки и все что под руку попадется. В-третьих, они могут выбрасывать наружу содержимое своих специфических гранул, которое:

- Разрушает межклеточное вещество, облегчая проход другим иммунным клеткам;
- Убивает бактерии и дрожжи;
- Связывает необходимые для роста микробов вещества (например, витамин B12 и железо);
- Призывает в зону бедствия другие клетки иммунной системы.

Нейтрофилы сформировали NET после 3 часов инкубации с аспергиллом (гриб)
Нейтрофилы сформировали NET после 3 часов инкубации с аспергиллом (гриб)

Однако, для уничтожения некоторых патогенов этих средств оказывается недостаточно. Например, нити какого-нибудь грибка или плотные комки бактерий слишком большие чтобы их съесть, а ферменты гранул им нипочём. И тогда нейтрофил использует средство последнего шанса, которое по-научному называется “нетоз” (NETоз). Вначале, его ДНК освобождается от белков-гистонов и деконденсируется – теряет плотную упаковку. Затем ядро разрушается, и в цитоплазме ДНК смешивается с содержимым гранул. И наконец, мембрана нейтрофила лопается, и сеть из ДНК с навешенными на нее ферментами летит во врага. Микробы запутываются в этой сети, а ферменты их убивают.

Витальный нетоз (https://www.mpiib-berlin.mpg.de/2065118/neutrophil-ex.., картинка этого уважаемого джентльмена Volker Brinkmann; желтое – нейтрофил, красное – эритроцит, зеленые нитки – NET, фиолетовые – бактерии)
Витальный нетоз (https://www.mpiib-berlin.mpg.de/2065118/neutrophil-ex.., картинка этого уважаемого джентльмена Volker Brinkmann; желтое – нейтрофил, красное – эритроцит, зеленые нитки – NET, фиолетовые – бактерии)

Эти сети называются NET – neutrophil extracellular trap. В переводе с английского это “нейтрофильная внеклеточная ловушка”. Эта аббревиатура и определила название процесса – NETоз (нетоз).

Хоть нейтрофил и жертвует своей ДНК, ему совершенно не обязательно умирать при нетозе. Его ядро разделено на 3-5 сегментов. Нейтрофил может отшнуровать и выбросить один из этих сегментов, как древнеримский ретиарий, не утратив своей работоспособности – это называется витальным нетозом (в противовес суицидальному нетозу, когда нейтрофил умирает). Более того, даже потеряв всё своё ядро, нейтрофил может некоторое время жить, как зомби, сохраняя фагоцитарную активность.

Суицидальный и витальный нетоз
Суицидальный и витальный нетоз

Кроме прямого уничтожения патогенных микроорганизмов, есть у NET и другие полезные свойства. Так, NET стимулирует тромбообразование, а также сильно активирует иммунный ответ (ДНК вне клетки – не шутка, знаете ли). При подагре образование NET ведет к облегчению боли от кристаллов в суставе, так как ферменты NET уничтожают сигнальные молекулы воспаления. О важности нетоза говорит тот факт, что мыши с мутациями, нарушающими запуск этого процесса, часто страдают от грибковых и бактериальных заболеваний.

NET под световым микроскопом (b,c,d). Видны виновники – лейшмании (остроконечная фигня с хвостиком).
NET под световым микроскопом (b,c,d). Видны виновники – лейшмании (остроконечная фигня с хвостиком).

Однако, нередко нетоз вредит нашему организму. Так, он может приводить к тромбозу, ухудшать течение атеросклероза, сепсиса, рака и COVID-19. А при менингите нетоз вообще помогает бактериям, потому что они устойчивы к ферментам NET, и ловушка не только не убивает их, но и мешает другим белым кровяным клеткам добраться до супостата и убить его. Поэтому сейчас исследуются методы терапии, направленные на борьбу с нетозом: ферменты, разрушающие ДНК или вещества, подавляющие нейтрофилов и не дающие этим клеткам крови выставить свои сети.

В заключение хочется добавить лишь один интересный факт: NETоз – очень древняя штука. В 2016 году его нашли у диктиостелиума – рода колониальных амеб – клетки-стражи которого тоже используют внеклеточные ловушки из ДНК в качестве средства борьбы с бактериальными инфекциями.

Автор: Роман Кобзарь и CatScience