Добавить в корзинуПозвонить
Найти в Дзене
Екатерина Ляпина

Как расширить нижнюю челюсть

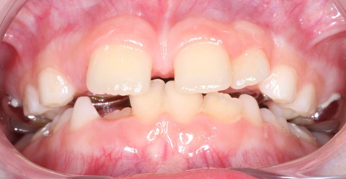
? При сужении нижней челюсти нужно посмотреть на верхнюю челюсть. Дефицит внизу напрямую связан с дефицитом места наверху. В этой ситуации обычно потребуется расширение верхней челюсти несъемным аппаратом (для получения скелетного эффекта) За 1-2 месяца вы расширили верхнюю челюсть. Но нижняя челюсть осталась маленькой! Что делать? Почему так? Нижняя челюсть непарная кость. Симфиз нижней челюсти зарастает в 1 год. Невозможно насильно скелетно расширить нижнюю челюсть. ‼️ После расширения верхней челюсти мы ожидаем расширения в области нижних зубов за счёт миодинамического равновесия (щеки, язык, губы). Язык давит на нижние зубы и нижняя челюсти адаптируется к верхней. Здесь полезно добавить упражнения самостоятельно или с миологопедом. 👅 Положительную динамику мы увидим за 6-9 месяцев ношения аппарата. Будет становиться лучше, это мы и проверяем по фотопротоколу. Здесь важна тенденция - нижние зубы не станут идеально ровными, но должно становиться лучше. (Скученность внизу уме

Как расширить нижнюю челюсть?

При сужении нижней челюсти нужно посмотреть на верхнюю челюсть. Дефицит внизу напрямую связан с дефицитом места наверху.

В этой ситуации обычно потребуется расширение верхней челюсти несъемным аппаратом (для получения скелетного эффекта)

За 1-2 месяца вы расширили верхнюю челюсть. Но нижняя челюсть осталась маленькой! Что делать? Почему так?

Нижняя челюсть непарная кость. Симфиз нижней челюсти зарастает в 1 год. Невозможно насильно скелетно расширить нижнюю челюсть. ‼️

После расширения верхней челюсти мы ожидаем расширения в области нижних зубов за счёт миодинамического равновесия (щеки, язык, губы). Язык давит на нижние зубы и нижняя челюсти адаптируется к верхней. Здесь полезно добавить упражнения самостоятельно или с миологопедом. 👅

Положительную динамику мы увидим за 6-9 месяцев ношения аппарата. Будет становиться лучше, это мы и проверяем по фотопротоколу. Здесь важна тенденция - нижние зубы не станут идеально ровными, но должно становиться лучше. (Скученность внизу уменьшается) 👌

Если через 4-6 месяцев нет динамики, то вероятно и на нижний зубной ряд ставим съемный или несъемный аппарат.

Если положительная динамика есть, то иногда я назначаю миофункциональный трейнер - он улучшает миофункциональную адаптацию нижней челюсти. 💪

Важно понимать, что адаптация происходит за счёт верхних и нижних зубов: верхние наклоняются кнутри, а нижние кнаружи. Поэтому идеальные контакты мы увидим спустя время после снятия всех аппаратов. ⏳

Бывают ситуации, когда нижние и верхние зубы после расширения и смены зубов на постоянные смыкаются в близком к перекрестному прикусу. В таких ситуациях полная брекет-система позволит создать идеальные контакты 👌🏻

Отправляйте пост друзьям и подписывайтесь 🫶