Добавить в корзинуПозвонить
Найти в Дзене
Techdigest

Выживающие без света и кислорода бактерии найдены в подземных водах Сибири

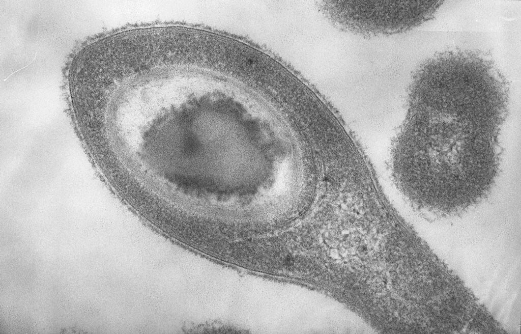
Ученые из Томского государственного университета совместно с коллегами из ФИЦ «Биотехнологии» РАН сделали важное открытие: в подземных водах Западной Сибири ими обнаружены новый род и семейство бактерий, родственных знаменитой южноафриканской бактерии, известной как «смелый путешественник». Название «смелый путешественник» предложили американские ученые, которые ранее обнаружили ДНК этого микроорганизма на большой глубине в шахтных водах золоторудного месторождения в ЮАР. Находка привлекла внимание своей способностью выживать в условиях, близких к марсианским, а именно: способностью получать энергию при полном отсутствии света и кислорода – за счет радиоактивного распада в недрах Земли. Исследования показали, что геном бактерии не претерпел изменений со времен суперконтинента Пангея, существовавшего около 335–175 млн лет назад, что ставит под сомнение традиционные представления о дарвиновской эволюции, предполагающей, что в организмах накапливаются изменения, которые позволяют им лучше

Ученые из Томского государственного университета совместно с коллегами из ФИЦ «Биотехнологии» РАН сделали важное открытие: в подземных водах Западной Сибири ими обнаружены новый род и семейство бактерий, родственных знаменитой южноафриканской бактерии, известной как «смелый путешественник».

Название «смелый путешественник» предложили американские ученые, которые ранее обнаружили ДНК этого микроорганизма на большой глубине в шахтных водах золоторудного месторождения в ЮАР. Находка привлекла внимание своей способностью выживать в условиях, близких к марсианским, а именно: способностью получать энергию при полном отсутствии света и кислорода – за счет радиоактивного распада в недрах Земли.

Исследования показали, что геном бактерии не претерпел изменений со времен суперконтинента Пангея, существовавшего около 335–175 млн лет назад, что ставит под сомнение традиционные представления о дарвиновской эволюции, предполагающей, что в организмах накапливаются изменения, которые позволяют им лучше приспособиться к условиям окружающей среды.

Вместе с тем самой бактерии в распоряжении исследователей не было, был лишь ее геном, поэтому на протяжении десяти лет ученые со всего мира безуспешно пытались ее получить. И вот теперь «смелый путешественник» легализован, и ему присвоено официальное имя Desulforudis audaxviator.

Сделано это было после того, как подобная удивительная бактерия была обнаружена в России – в подземных водах термального источника, расположенного в Верхнекетском районе Томской области.

  📷
📷

Исследователи сделали полное секвенирование генома бактерии, сравнили его с геномом «смелого путешественника» из Южной Африки и выяснили, что они в целом идентичны – за исключением мелких отличий.

Еще одним открытием ученых ТГУ стал новый род и семейство бактерий – «родственников» Desulforudis audaxviator. Последних удалось найти в подземных скважинах в Западной Сибири: в артезианской воде в Белом Яре (Томская область), возле Новокузнецка в угольных пластах в зоне добычи метана (Кемеровская область) и в глубинных водах в Тюменской области.

Новый род назвали Desulfosceptrum tomskiensis, а новое семейство бактерий – Desulfosceptrumaceae.

Есть основания предполагать, что «смелый путешественник» и его «родичи» до того, как стать подземными обитателями, жили на поверхности Земли. На это указывает наличие у них газовых вакуолей – воздушных пузырьков, которые дают возможность плавать на поверхности. Вероятно, Desulforudis попали под землю с дождевой водой, и глубинные условия оказались для них гораздо более подходящими, нежели поверхность Земли. Не исключено, что когда-то такие бактерии передвигались по воздуху и распространились по планете именно благодаря вакуолям.

Российские авторы статьи, опубликованной в Environmental Microbiology (Q1), отмечают необходимость дальнейшего исследования Desulforudis. Это важно как для получения новых фундаментальных знаний и понимания особенностей эволюции живых организмов, так и с практической точки зрения – эти бактерии могут найти промышленное применение. Также изучение необычных микроорганизмов может дать новую информацию о живых клетках в космосе, ведь если на других планетах есть жизнь, то с высокой долей вероятности принципы ее устройства могут быть схожи с теми, что есть у не боящихся экстремальных условий подземных бактерий.

💡 Читайте также:

Понравился материал?

Подписывайтесь на наши каналы в Дзене, VK, OK и Telegram и заходите на наш сайт Techdgst.ru, где мы публикуем еще больше новостей о технологиях и науке.