Добавить в корзинуПозвонить
Найти в Дзене

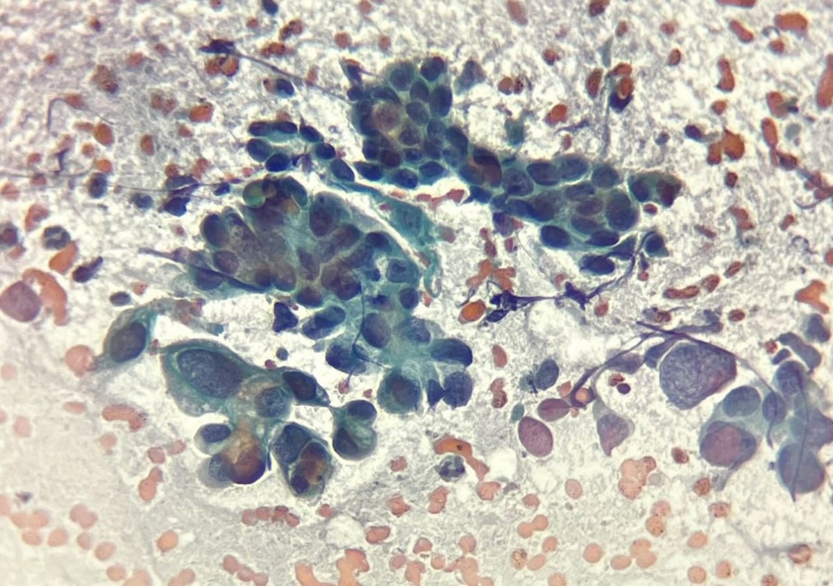
Два разных случая плоскоклеточного рака шейки матки (SCC), подтверждённых результатами биопсии

Сравнение жидкостной цитологии и традиционного мазка по Папаниколау (Пап-тест). #цитология #пап #цервикальнаяцитология #SCC

Два разных случая плоскоклеточного рака шейки матки (SCC), подтверждённых результатами биопсии.

Сравнение жидкостной цитологии и традиционного мазка по Папаниколау (Пап-тест).

#цитология #пап #цервикальнаяцитология #SCC

-2