Добавить в корзинуПозвонить
Найти в Дзене
ТВК Красноярск

«Не могла нормально питаться»: хирурги прооперировали красноярку с редким заболеванием

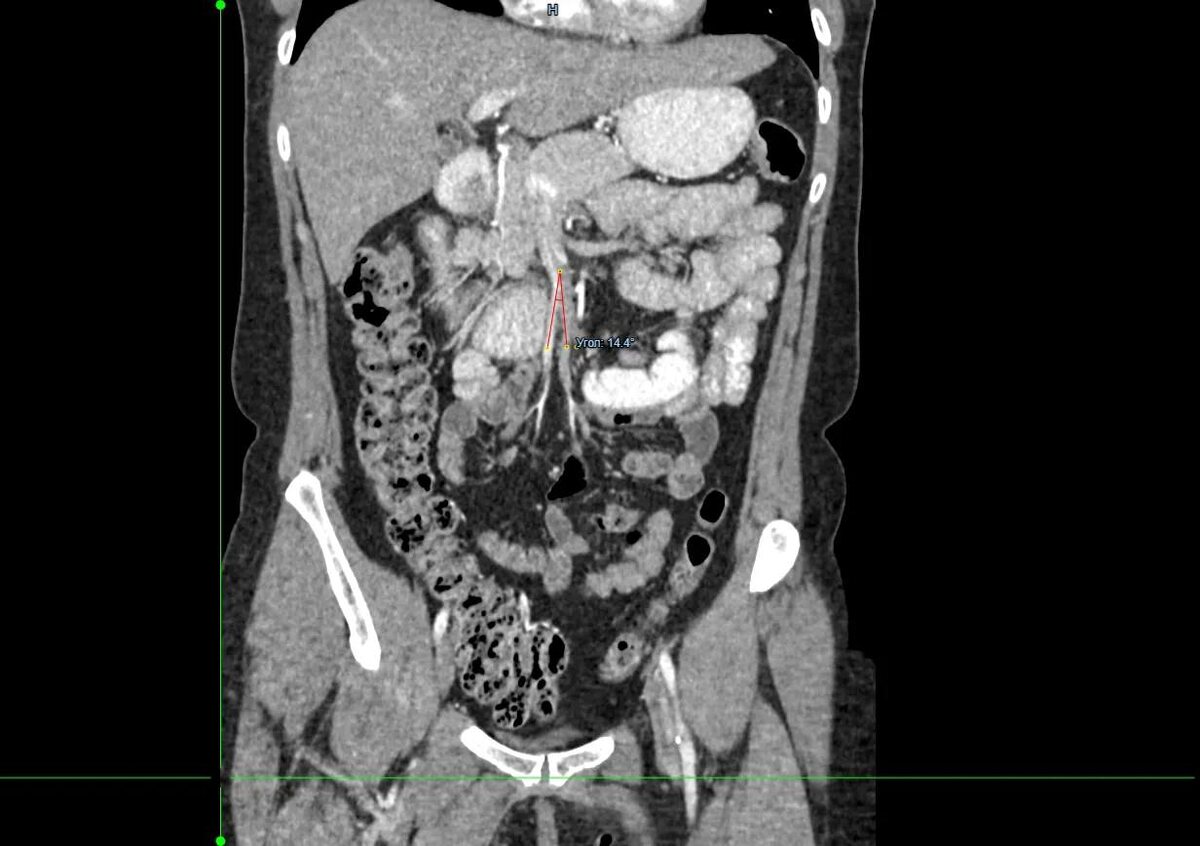
Врачи хирургического отделения №3 Красноярской межрайонной клинической больницы №20 им. И.С. Берзона провели операцию 49-летней пациентке с синдромом Уилки. Из-за него женщина долго не могла нормально питаться и сильно похудела. Рассказываем, как прошла операция. Читать нас можно в и MAX

«Не могла нормально питаться»: хирурги прооперировали красноярку с редким заболеванием

Врачи хирургического отделения №3 Красноярской межрайонной клинической больницы №20 им. И.С. Берзона провели операцию 49-летней пациентке с синдромом Уилки. Из-за него женщина долго не могла нормально питаться и сильно похудела.

Рассказываем, как прошла операция.

Читать нас можно в и MAX

-2