Добавить в корзинуПозвонить
Найти в Дзене

Вы доверите нейросети искать рак в вашем кишечнике? Вот что говорят врачи и пациенты

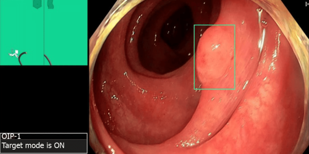
Анне Б.54 года. Лечащий врач назначили колоноскопию с целью онкопрофилактики. Врач осмотрел кишечник, сказал «всё чисто». Через два года выявили рак третьей стадии. Позже выяснилось: полип был. Просто маленький, за складкой. Человеческий глаз его не заметил. А нейросеть - заметила бы. Печальный факт: каждый пятый полип при колоноскопии остаётся незамеченным. 20–30% случаев обнаружения рака толстой кишки - это пропущенные на предыдущих осмотрах аденомы. Именно для этого сегодня в эндоскопию приходит искусственный интеллект. Искусственный интеллект в эндоскопии - это программно-аппаратные комплексы, которые анализируют изображение с эндоскопа в реальном времени и выделяют участки, наиболее соответствующие патологии. В отличие от человека, который может устать или элементарно отвлечься, алгоритм сохраняет постоянную концентрацию на каждом кадре. 🔹 CADe (Computer-Aided Detection) - системы программного обнаружения. Их задача - находить подозрительные участки слизистой. Чаще всего речь и
Оглавление

Анне Б.54 года. Лечащий врач назначили колоноскопию с целью онкопрофилактики. Врач осмотрел кишечник, сказал «всё чисто». Через два года выявили рак третьей стадии. Позже выяснилось: полип был. Просто маленький, за складкой. Человеческий глаз его не заметил. А нейросеть - заметила бы.

Печальный факт: каждый пятый полип при колоноскопии остаётся незамеченным. 20–30% случаев обнаружения рака толстой кишки - это пропущенные на предыдущих осмотрах аденомы. Именно для этого сегодня в эндоскопию приходит искусственный интеллект.

Искусственный интеллект в эндоскопии - это программно-аппаратные комплексы, которые анализируют изображение с эндоскопа в реальном времени и выделяют участки, наиболее соответствующие патологии.

В отличие от человека, который может устать или элементарно отвлечься, алгоритм сохраняет постоянную концентрацию на каждом кадре.

Существует два основных типа систем:

🔹 CADe (Computer-Aided Detection) - системы программного обнаружения. Их задача - находить подозрительные участки слизистой. Чаще всего речь идет о полипах толстой кишки. Алгоритм выделяет их цветным маркером на экране, акцентируя внимание врача. CADe работает как сканер, постоянно прочесывающий поле зрения.

🔹 CADx (Computer-Aided Diagnosis) - системы компьютерной характеристики. Если CADe отвечает на вопрос «есть ли что-то?», то CADx - на вопрос «что это?». Такие системы оценивают структуру поверхности, сосудистый рисунок и форму образования, после чего выдают наиболее вероятный диагноз.

-2

В основе обеих технологий лежат программы для анализа изображений. Нейросеть тренируют на десятках тысяч эндоскопических снимков, где каждый кадр обозначен врачами. В процессе обучения сеть самостоятельно выделяет значимые признаки и учится сопоставлять их с диагнозом. После обучения система самостоятельно способна анализировать новые изображения с точностью, сопоставимой с экспертами.

Данные 2026 года. Что показал опрос врачей и пациентов

В 2026 году вышли основные данные, отражающие реальное отношение медицинского сообщества и пациентов к внедрению искусственного интеллекта в эндоскопию. Наиболее масштабное исследование провела World Endoscopy Organization (WEO) - международный опрос, охвативший 1237 пациентов и 476 эндоскопистов из разных стран.

-3

Что показал опрос WEO (2026):

• 75,5% пациентов поддерживают использование ИИ для анализа эндоскопических изображений.
• 92,3% пациентов настаивают на обязательном контроле со стороны врача - ИИ не должен принимать решения самостоятельно.
• Молодые пациенты и мужчины демонстрируют более высокий уровень доверия к технологиям по сравнению с пожилыми и женщинами.
• 90,3% эндоскопистов считают, что ИИ повышает качество исследований.
• 85,3% полагают, что использование ИИ улучшает клинические исходы.

Опрос выявил три основные группы опасений среди эндоскопистов.

⚠️ 47% обеспокоены вопросами юридической ответственности - если ИИ пропустит патологию или выдаст ложный сигнал, а врач ему доверится.

⚠️ 49% переживают об увеличении времени процедуры, хотя современные данные показывают, что прирост времени минимален или отсутствует.

⚠️ 34,8% опасаются операторной зависимости - навыки врача атрофируются из-за постоянной опоры на подсказки системы.

Основной вывод опроса: большинство респондентов считают, что первичная ответственность за ошибки при использовании ИИ должна лежать на эндоскописте, а не на разработчике алгоритма.

Несмотря на сохраняющийся скепсис, накоплено достаточно данных, чтобы говорить о реальной клинической пользе ИИ-ассистенции.

Почему ИИ не заменит врача. Экспертная фишка

Современный ИИ в эндоскопии - это инструмент поддержки принятия решений. Он не заменяет врача и не может работать без него.

-4

Почему это принципиально важно:

• Алгоритмы не понимают клинического контекста - возраст, анамнез, генетические риски, сопутствующие заболевания.
• Системы CADe могут давать ложные срабатывания, например, на остатки кала или складки слизистой - и только врач отличает это от истинной патологии.
• CADx, даже при точности выше 90%, оставляет 5-10% ошибок, которые критичны в онкологии.

И самое интересное:

Эндоскописты, регулярно работающие с CADx, со временем начинают лучше диагностировать и без подсказок системы. Исследование, представленное на конференции Канадской ассоциации гастроэнтерологии в 2026 году, показало: при использовании CADx точность оптической диагностики увеличивалась на 3,4% каждый месяц, тогда как без ИИ значимого роста не наблюдалось.

Опыт использования таких систем показывает, что самый большой эффект достигается у эндоскопистов со средним уровнем подготовки - они подтягиваются до показателей экспертов. Для опытных врачей прирост скромнее, но снижается когнитивная усталость - им не нужно постоянно удерживать внимание на 100%, система страхует на важных участках.

-5

Коротко о главном

Искусственный интеллект в эндоскопии - это реально работающий инструмент, улучшающий качество осмотров. Однако внедрение сопряжено с юридическими и этическими вызовами: 47% врачей обеспокоены вопросами ответственности, и международные консенсусы пока только формируют правила.

Пациенты в подавляющем большинстве поддерживают ИИ, но настаивают на контроле врача.

Главное, что нужно помнить: современный ИИ - это помощник и наставник, а не замена. Он не совершает открытий, но делает врача внимательнее, точнее и увереннее.

А как думаете вы?

Доверились бы нейросети на своей колоноскопии?

👍 - да, пусть помогает врачу
❤️ - только без ИИ, старый добрый врач
🤔 - стоит подумать