Добавить в корзинуПозвонить
Найти в Дзене

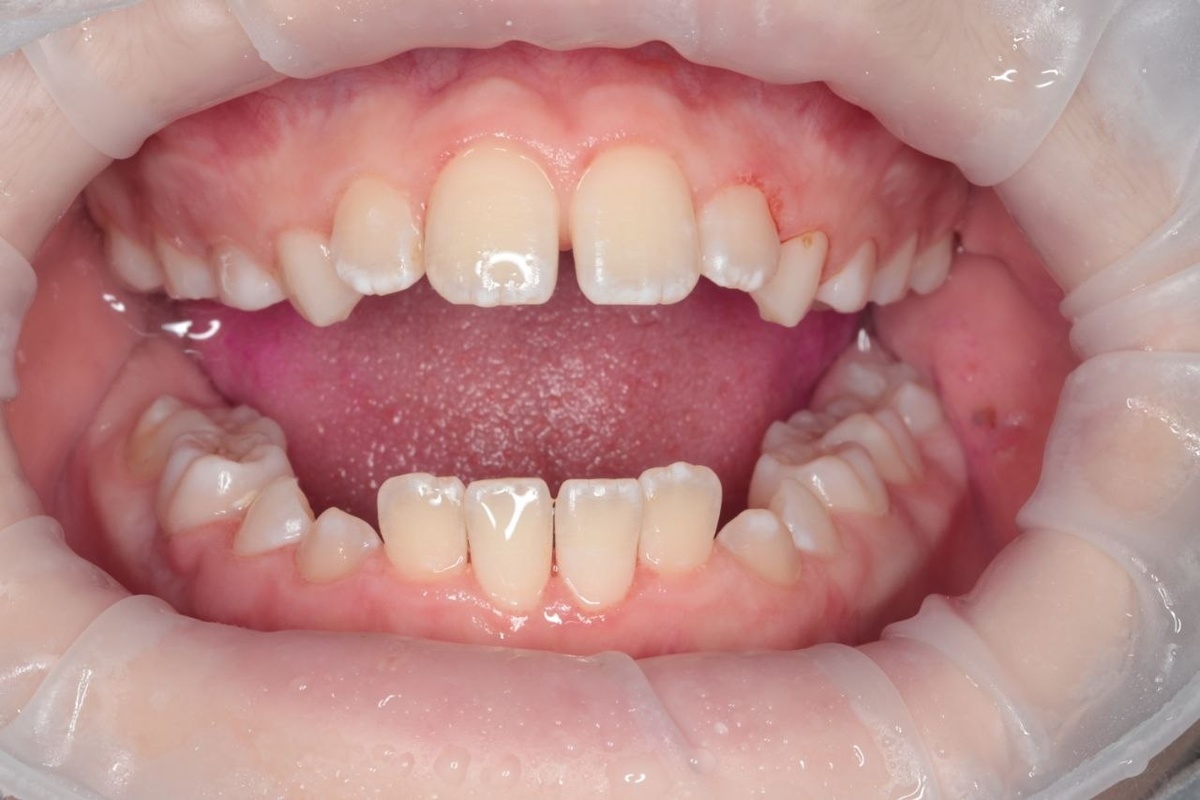
💬А вот и результат

! Посмотрите, какие чистые, светлые зубы. Никакой "желтизны",только естественный оттенок эмали. ✔️Ушёл плотный налёт, поверхность гладкая. И самое важное, ребёнок теперь понимает, как выглядят действительно чистые зубы. Часто родители думают, что проблема в цвете. На деле-это просто накопившийся налёт. И небольшой совет родителям: ✔️Дочищайте зубы детям до 10–12 лет. ✔️Обращайте внимание на пришеечную область и между зубами(контакты) . ✔️Раз в 4-6 месяцев приводите ребёнка на профгигиену. Это проще, дешевле и спокойнее, чем потом лечить кариес. 🖊Здоровая улыбка- это всегда командная работа: ребёнок + родитель + специалист. Здоровые зубы:совет💪 Канал в Max Сообщество в ВК ⬆️Дублирую посты, в другие мессенджеры. Чтоб не потеряться, я вас и там буду ждать❤️💪

💬А вот и результат!

Посмотрите, какие чистые, светлые зубы.

Никакой "желтизны",только естественный оттенок эмали.

✔️Ушёл плотный налёт, поверхность гладкая.

И самое важное, ребёнок теперь понимает, как выглядят действительно чистые зубы.

Часто родители думают, что проблема в цвете.

На деле-это просто накопившийся налёт.

И небольшой совет родителям:

✔️Дочищайте зубы детям до 10–12 лет.

✔️Обращайте внимание на пришеечную область и между зубами(контакты) .

✔️Раз в 4-6 месяцев приводите ребёнка на профгигиену.

Это проще, дешевле и спокойнее, чем потом лечить кариес.

🖊Здоровая улыбка-

это всегда командная работа: ребёнок + родитель + специалист.

Здоровые зубы:совет💪

Канал в Max

Сообщество в ВК

⬆️Дублирую посты, в другие мессенджеры. Чтоб не потеряться, я вас и там буду ждать❤️💪