Найти в Дзене

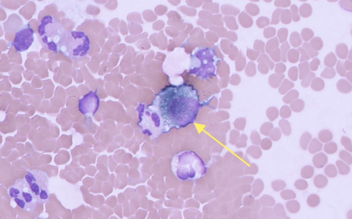
Материал: спинномозговая жидкость (СМЖ), полученная при люмбальной пункции

У пациента в анамнезе меланома кожи. Примесь периферической крови в препарате (вследствие травматичной пункции) затрудняет интерпретацию и не позволяет исключить попадание клеток из кровеносного русла. Тем не менее, в препарате обнаружены клетки, содержащие меланиновый пигмент (указаны желтыми стрелками), что требует сопоставления с клинической картиной. #смж #цитология

Материал: спинномозговая жидкость (СМЖ), полученная при люмбальной пункции.

У пациента в анамнезе меланома кожи. Примесь периферической крови в препарате (вследствие травматичной пункции) затрудняет интерпретацию и не позволяет исключить попадание клеток из кровеносного русла. Тем не менее, в препарате обнаружены клетки, содержащие меланиновый пигмент (указаны желтыми стрелками), что требует сопоставления с клинической картиной.

#смж #цитология

-2
-3
-4