Добавить в корзинуПозвонить
Найти в Дзене
Новости РОССИИ

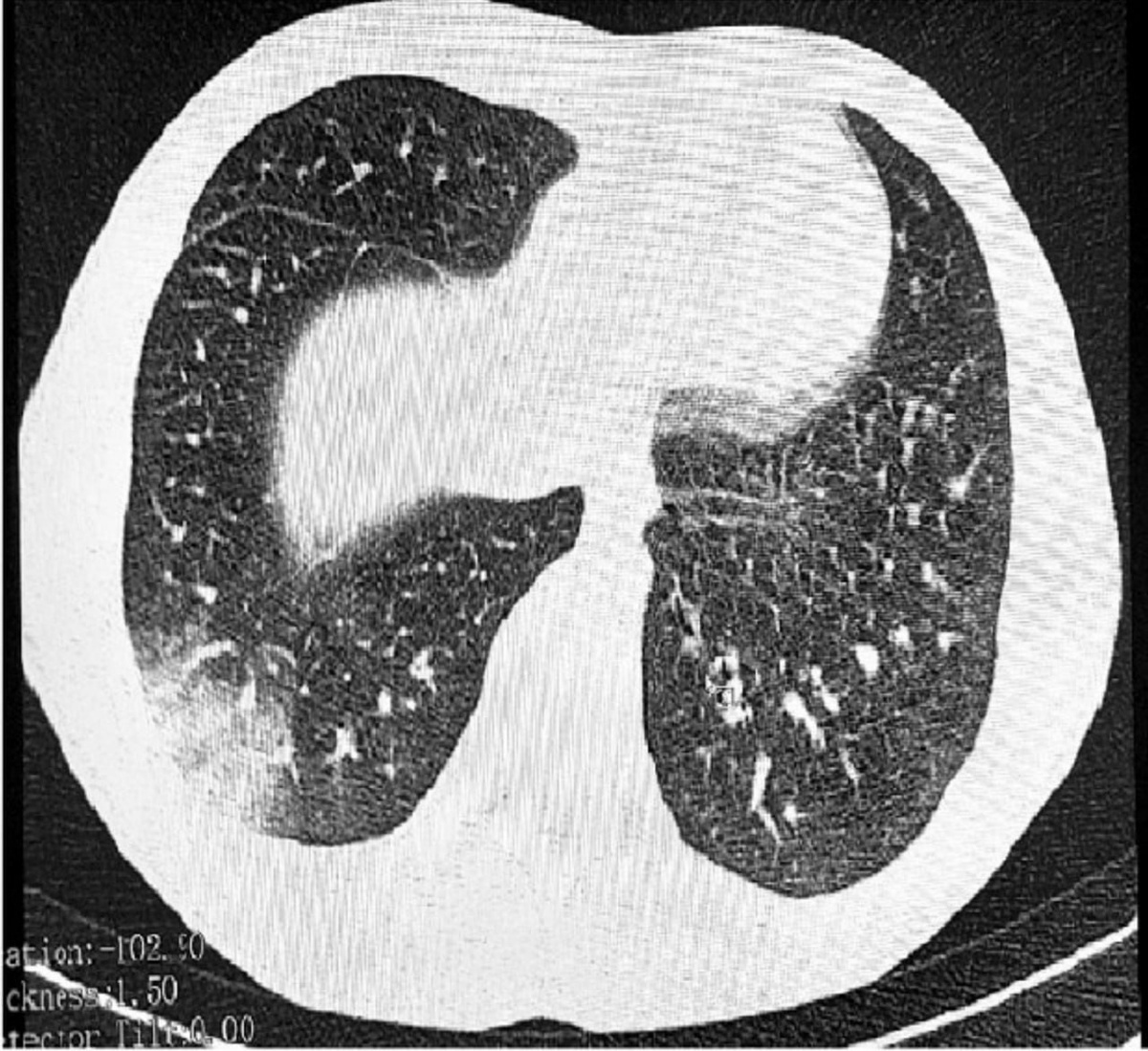
В Ростовской области произошло нечто курьезное: троих подростков с "попкорновой болезнью" лёгких доставили в реанимацию

Да-да, вы не ослышались! 😲 У одного из них диагностировали дыхательную недостаточность, а у другого — двустороннюю пневмонию EVALI. Операция стала настоящим хитом для врачей! 🎭 Врачи, как настоящие герои, предупреждают: жидкости для вейпов — это не просто дым, а настоящая катастрофа для дыхательных путей. Так что, если вы думали, что вейп — это просто модный аксессуар, подумайте дважды!

В Ростовской области произошло нечто курьезное: троих подростков с "попкорновой болезнью" лёгких доставили в реанимацию. Да-да, вы не ослышались!

😲 У одного из них диагностировали дыхательную недостаточность, а у другого — двустороннюю пневмонию EVALI. Операция стала настоящим хитом для врачей!

🎭 Врачи, как настоящие герои, предупреждают: жидкости для вейпов — это не просто дым, а настоящая катастрофа для дыхательных путей.

Так что, если вы думали, что вейп — это просто модный аксессуар, подумайте дважды!