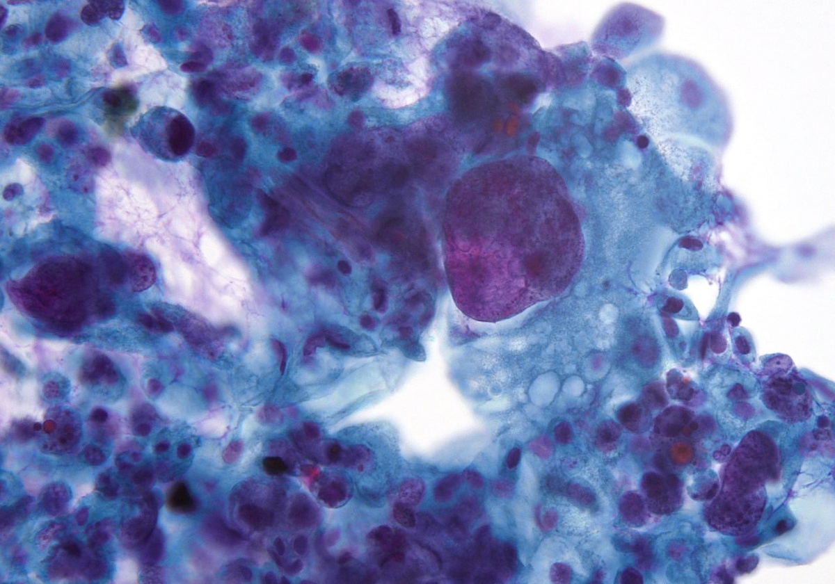
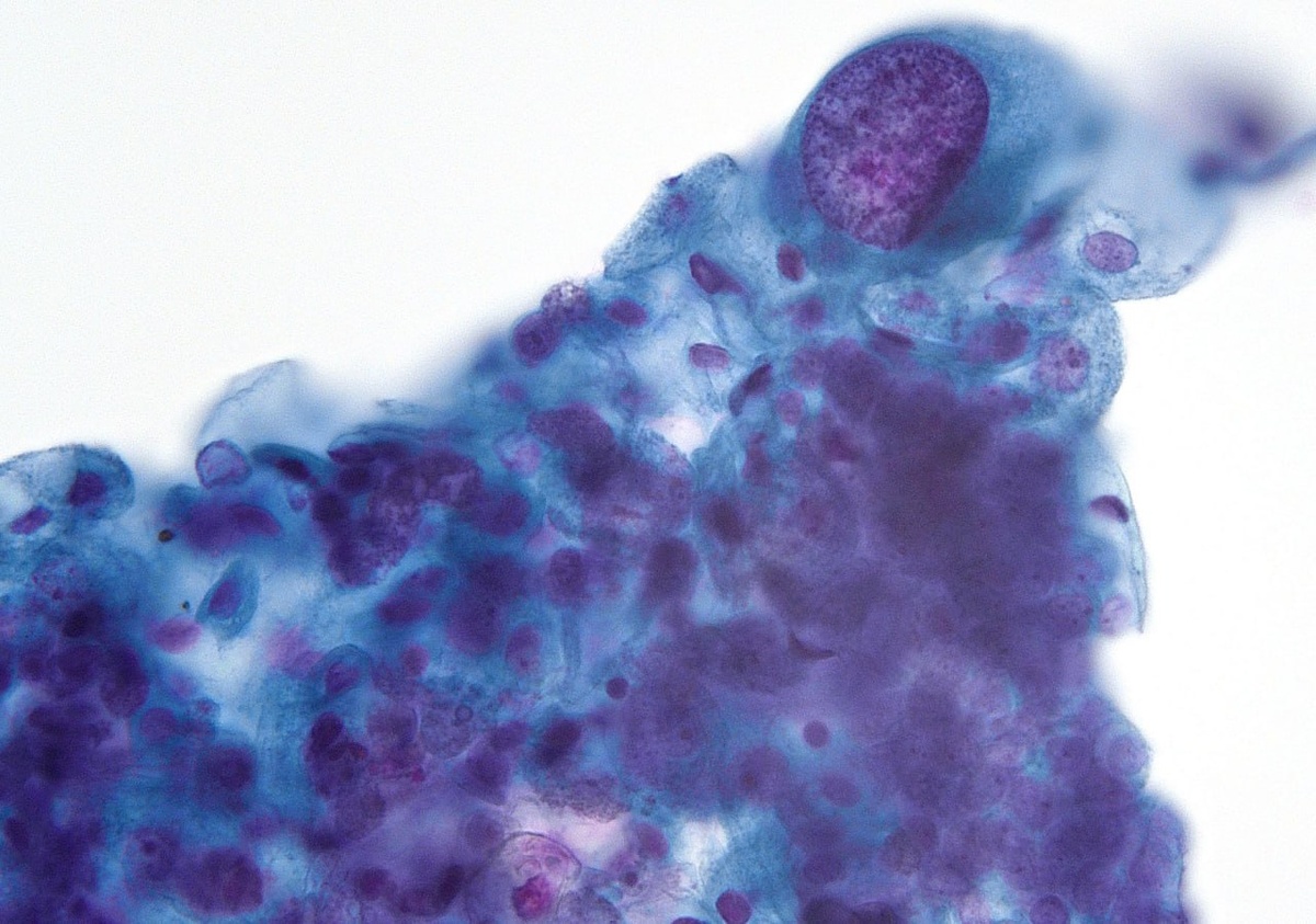
Уротелиальная карцинома высокой степени злокачественности. Моча из мочевого пузыря. Жидкостная цитология (ThinPrep). Окрашивание по Папаниколау. Объектив 100x. #мочевыделительнаясистема #моча #цитология
Уротелиальная карцинома высокой степени злокачественности. Моча из мочевого пузыря. Жидкостная цитология (ThinPrep). Окрашивание по Папаниколау. Объектив 100x. #мочевыделительнаясистема #моча #цитология
...Читать далее
Гигантские ядра. Уротелиальная карцинома высокой степени злокачественности.
Моча из мочевого пузыря. Жидкостная цитология (ThinPrep). Окрашивание по Папаниколау. Объектив 100x.