Полидент №3 — это не средство для протезов, а стоматологическая паста именно для натуральных зубов.
➡️ В составе есть перекись карбамида — мягкий отбеливающий компонент, который реально осветляет зубы, но щадяще
Также:
Это средство:
Полидент №3 — это не средство для протезов, а стоматологическая паста именно для натуральных зубов.
➡️ В составе есть перекись карбамида — мягкий отбеливающий компонент, который реально осветляет зубы, но щадяще
Также:
Это средство:
...Читать далее
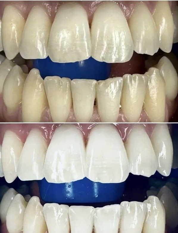
Что такое «Полидент 3» для эмали
Полидент №3 — это не средство для протезов, а стоматологическая паста именно для натуральных зубов.
✔️
Для чего используется
- отбеливание эмали
- реминерализация (укрепление зубов)
- фторирование (защита от кариеса)
➡️ В составе есть перекись карбамида — мягкий отбеливающий компонент, который реально осветляет зубы, но щадяще
Также:
- абразив удаляет налёт
- фтор и фосфаты укрепляют эмаль
⚠️ Важный момент
Это средство:
- чаще используется в стоматологии или под контролем врача
- не совсем обычная «зубная паста на каждый день»
🦷 Как применяют
- наносят на зубы
- держат 2–3 минуты
- затем полируют щёткой/насадкой
- курс: 3–5 процедур через день
После курса желательно:
- не пить кофе/чай несколько дней (иначе эффект снизится)
❗ Отличие от обычного «Полидента»
- Полидент (таблетки) → для чистки протезов (не отбеливает зубы)
- Полидент №3 → именно для отбеливания эмали
💬 Итог
Да, «Полидент 3» подходит для отбеливания зубов, но:
- это профессиональное средство, а не бытовая паста
- лучше использовать осторожно или после консультации
Реально отбеливает зубы ! 5 мл хватает на много раз цена где то от 250 рублей !