Добавить в корзинуПозвонить
Найти в Дзене
Медвестник

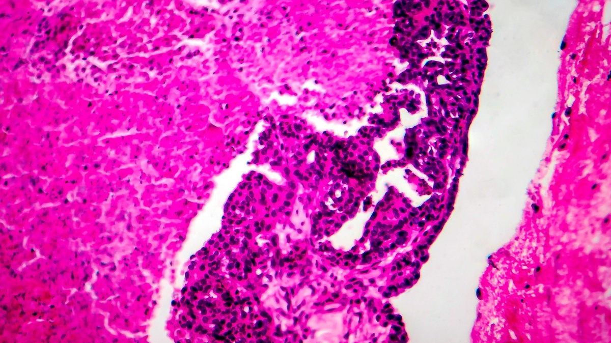
Некоторым пациенткам с серозной карциномой яичников, которые перенесли радикальную резекцию, можно отказаться от проведения химиотерапии и

ограничиться эндокринотерапией летрозолом. Такое лечение связано с более низкой частотой тяжелых побочных эффектов. Подробнее: https://clck.ru/3T86er

Некоторым пациенткам с серозной карциномой яичников, которые перенесли радикальную резекцию, можно отказаться от проведения химиотерапии и ограничиться эндокринотерапией летрозолом. Такое лечение связано с более низкой частотой тяжелых побочных эффектов.

Подробнее: https://clck.ru/3T86er