Добавить в корзинуПозвонить
Найти в Дзене

Рак шейки матки: причины онкологии, симптомы по стадиям, выживаемость и лечение

Рак матки, он же рак эндометрия — одно из самых распространенных женских онкологических заболеваний. Рак шейки матки — это злокачественное новообразование, которое возникает в тканях матки или ее слизистой оболочке (эндометрии). Это одно из наиболее распространенных онкологических заболеваний у женщин. Чаще всего заболевание диагностируют у женщин старшего возраста, особенно после менопаузы (после 50 лет), но случаи могут встречаться и в более молодом репродуктивном периоде. Рак матки (рак эндометрия) — многоступенчатый процесс, начинающийся с патологических изменений в клетках слизистой оболочки матки (эндометрия). В норме клетки делятся, растут и заменяют старые или поврежденные клетки. При нарушении этого процесса новые клетки формируются, даже когда организм в них не нуждается, а старые клетки продолжают жить и накапливаться. Это приводит к неконтролируемому росту клеток и образованию опухоли. Ученые выделяют два основных патогенетических варианта развития рака эндометрия: Этапы ра
Оглавление

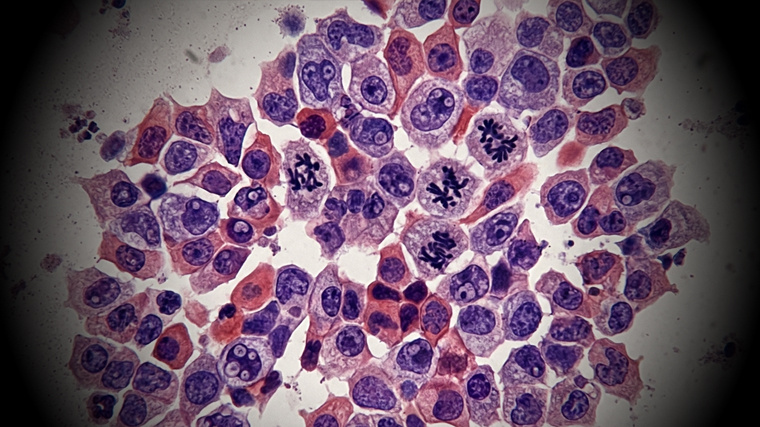
Рак матки, он же рак эндометрия — одно из самых распространенных женских онкологических заболеваний.

   Фото: legion-media/KATERYNA KON/SCIENCE PHOTO LIBRARY
Фото: legion-media/KATERYNA KON/SCIENCE PHOTO LIBRARY

Рак шейки матки — это злокачественное новообразование, которое возникает в тканях матки или ее слизистой оболочке (эндометрии). Это одно из наиболее распространенных онкологических заболеваний у женщин. Чаще всего заболевание диагностируют у женщин старшего возраста, особенно после менопаузы (после 50 лет), но случаи могут встречаться и в более молодом репродуктивном периоде.

Как развивается рак матки

   Рак шейки почки: причины, симптомы по стадиям, лечение, профилактика онкологии, химиотерапия, выживаемость. Фото: 5-tv.ru
Рак шейки почки: причины, симптомы по стадиям, лечение, профилактика онкологии, химиотерапия, выживаемость. Фото: 5-tv.ru

Рак матки (рак эндометрия) — многоступенчатый процесс, начинающийся с патологических изменений в клетках слизистой оболочки матки (эндометрия). В норме клетки делятся, растут и заменяют старые или поврежденные клетки. При нарушении этого процесса новые клетки формируются, даже когда организм в них не нуждается, а старые клетки продолжают жить и накапливаться. Это приводит к неконтролируемому росту клеток и образованию опухоли.

Ученые выделяют два основных патогенетических варианта развития рака эндометрия:

  • Гормонозависимый (эстрогенный). Наблюдается примерно в 60–70% случаев. Развивается на фоне избыточного уровня эстрогенов (гиперэстрогении) в сочетании с эндокринными и обменными нарушениями (ожирение, сахарный диабет, гипертония). Под действием гормонов клетки эндометрия усиленно делятся, что приводит к нарушению их дифференцировки. Постепенно накапливаются мутации, из которых формируется опухоль. Такие опухоли обычно имеют высокую степень дифференцировки, растут медленно и имеют относительно благоприятный прогноз.
  • Автономный (эстрогеннезависимый). Встречается примерно в 25–30% случаев. Развивается на фоне атрофии эндометрия (инволюции слизистой оболочки) в сочетании с иммуносупрессией, чаще у женщин старшего возраста. Опухоли этого типа характеризуются низкой степенью дифференцировки, быстрым прогрессированием, ранним метастазированием и менее благоприятным прогнозом. Они не реагируют на гормонотерапию.

Этапы развития злокачественной опухоли:

  • Функциональные нарушения (ановуляция, гиперэстрогения).
  • Морфологические изменения: гиперплазия (увеличение количества клеток) эндометрия, полипоз.
  • Предраковые изменения: атипическая гиперплазия с дисплазией эпителия III стадии.
  • Развитие злокачественной неоплазии.

Метастазирование (распространение раковых клеток в другие части тела) происходит тремя путями:

  • Лимфогенный — с током лимфы. Первыми поражаются лимфоузлы таза (подвздошные, парааортальные, забрюшинные).
  • Гематогенный — через кровь. Раковые клетки попадают в сосуды и разносятся по организму, формируя метастазы в легких, печени, костях и других органах.
  • Имплантационный — прорастание опухоли в мышечный слой матки (миометрий), серозную оболочку, околоматочную клетчатку, яичники, маточные трубы и другие органы.

Факторы, повышающие риск развития рака эндометрия:

  • ожирение (жировая ткань вырабатывает эстрогены);
  • сахарный диабет;
  • гипертония;
  • синдром поликистозных яичников;
  • рак яичников;
  • гормонотерапия эстрогенами (особенно без прогестерона);
  • применение тамоксифена (препарата для лечения рака молочной железы);
  • отсутствие беременностей и родов (во время беременности повышается уровень прогестерона, который защищает эндометрий);
  • поздняя менопауза (после 55 лет);
  • наследственность (отягощенная по раку органов репродуктивной системы);
  • лучевая терапия на органы малого таза;
  • отсутствие половой жизни.

Общие симптомы рака матки

   Рак шейки почки: причины, симптомы по стадиям, лечение, профилактика онкологии, химиотерапия, выживаемость. Фото: 5-tv.ru
Рак шейки почки: причины, симптомы по стадиям, лечение, профилактика онкологии, химиотерапия, выживаемость. Фото: 5-tv.ru

Симптомы рака матки могут проявляться на ранних стадиях, что повышает шансы на успешное лечение. Однако многие из них неспецифичны и могут быть связаны с другими заболеваниями, поэтому при их появлении важно своевременно обратиться к гинекологу.

Основные симптомы рака матки:

1. Кровянистые выделения — самый частый и важный признак:

  • у женщин репродуктивного возраста: кровотечения между менструациями, необычно обильные или долгие месячные;
  • у женщин в менопаузе: любые кровянистые выделения (даже мажущие или в виде нескольких капель) — это всегда тревожный сигнал;
  • на поздних стадиях: обильные кровотечения, иногда с гноем и резким, неприятным запахом (выделения могут напоминать «мясные помои»).

2. Необычные выделения из влагалища (бели):

  • на ранних стадиях — прозрачные или белесоватые, водянистые, необильные (могут усиливаться после физической нагрузки или полового акта);
  • по мере развития болезни — более обильные, иногда розоватые или коричневатые из‑за примеси крови;
  • на поздних стадиях — выделения с неприятным гнилостным запахом.

3. Боли:

  • сначала могут отсутствовать или быть слабыми, ноющими, тянущими внизу живота;
  • позже боли усиливаются, становятся постоянными или схваткообразными, могут отдавать в поясницу, копчик, прямую кишку;
  • иногда боль появляется или усиливается после полового акта;
  • боли плохо снимаются обычными обезболивающими.

4. Проблемы с мочеиспусканием и стулом (возникают, когда опухоль давит на соседние органы):

  • частые позывы к мочеиспусканию или, наоборот, затрудненное мочеиспускание;
  • примесь крови в моче (если опухоль затронула мочевой пузырь);
  • запоры, вздутие живота, боли при дефекации;
  • диарея или чередование запоров и поносов;
  • кровь в стуле (если поражена прямая кишка).

5. Общие признаки ухудшения самочувствия:

  • необъяснимая слабость, быстрая утомляемость;
  • потеря аппетита;
  • снижение веса без видимой причины;
  • бледность кожи (из‑за анемии от кровотечений);
  • тошнота, общее недомогание;
  • отеки ног (на поздних стадиях);
  • увеличение живота в объеме из‑за скопления жидкости (асцит) — тоже признак поздней стадии.

Незамедлительно обратитесь к гинекологу, если заметили любые кровянистые выделения после наступления менопаузы — даже однократные и скудные, обильные или длительные менструации, которых раньше не было, кровотечения между месячными, водянистые или кровянистые выделения с неприятным запахом, постоянную боль внизу живота, которая не проходит после приема обезболивающих, и трудности с мочеиспусканием или дефекацией без видимых причин (например, без признаков инфекции или пищевого отравления).

Рак матки может долго развиваться незаметно. Поэтому важны профилактические осмотры у гинеколога (раз в год) и УЗИ малого таза. Похожие симптомы бывают при миоме, полипах, воспалительных заболеваниях. Только врач может установить точную причину.

Факторы риска повышают вероятность рака матки. Будьте особенно внимательны к своему здоровью, если у вас есть: ожирение, сахарный диабет, гипертония, синдром поликистозных яичников, наследственная предрасположенность (случаи рака репродуктивных органов у близких родственниц).

Симптомы рака матки по стадиям

   Рак шейки почки: причины, симптомы по стадиям, лечение, профилактика онкологии, химиотерапия, выживаемость. Фото: 5-tv.ru
Рак шейки почки: причины, симптомы по стадиям, лечение, профилактика онкологии, химиотерапия, выживаемость. Фото: 5-tv.ru

Симптомы рака матки меняются в зависимости от стадии развития опухоли. Чем позже стадия, тем более выражены и разнообразны проявления болезни.

На первой стадии опухоль ограничена внутренними слоями матки. Симптомы могут быть слабо выраженными или отсутствовать вовсе. Иногда наблюдаются:

  • коричневатые выделения из влагалища;
  • легкое увеличение объема вагинальных выделений;
  • прожилки крови на нижнем белье.

Эти признаки часто не вызывают серьезных опасений у пациенток, что может затруднить раннюю диагностику.

На второй стадии опухоль начинает распространяться на шейку матки. Симптомы становятся более выраженными:

  • у женщин репродуктивного возраста могут быть обильные менструации, увеличение их продолжительности, а также ациклические (не связанные с циклом) кровотечения;
  • у женщин в постменопаузе могут появляться маточные кровотечения разной интенсивности — от скудных до обильных;
  • могут появляться обильные водянистые выделения (лейкорея).
  • Симптомы на этой стадии могут напоминать нарушения менструального цикла или другие гинекологические проблемы, что усложняет диагностику.

На третьей стадии опухоль выходит за пределы матки и распространяется на близлежащие ткани и органы. Возможные симптомы:

  • боли внизу живота, которые могут быть постоянными или схваткообразными;
  • выделения с неприятным запахом, напоминающие «мясные помои»;
  • боли в пояснице, вызванные развитием гидронефроза из-за сдавления мочеточников опухолью;
  • усиление болевого синдрома;
  • запоры, вздутие живота и другие признаки кишечной непроходимости при вовлечении кишечника;
  • примесь крови в моче при поражении мочевого пузыря;
  • асцит — накопление жидкости в брюшной полости;
  • признаки общего истощения организма (кахексия), слабость, потеря веса.

При наличии отдаленных метастазов симптомы будут зависеть от пораженных органов. Часто встречаются поражения легких и печени.

На четвертой стадии опухоль распространяется за пределы малого таза или метастазирует в отдаленные органы. Характерные проявления:

  • прорастание в соседние органы (мочевой пузырь, прямую кишку) с соответствующими нарушениями их функций (боли при мочеиспускании или дефекации, кровь в моче или кале);
  • метастазы в отдаленные органы (легкие, печень, кости): при поражении легких — кашель, одышка, боль в груди; при метастазах в печень — боль в правом подреберье, увеличение печени; при поражении костей — патологические переломы;
  • хронический болевой синдром, который может требовать назначения опиоидов;
  • кахексия, общий интоксикационный синдром.

На поздних стадиях возможно обильное кровотечение из половых путей из-за распада опухоли, что требует экстренной операции для остановки опасного для жизни состояния.

Диагностика рака матки

   Рак шейки почки: причины, симптомы по стадиям, лечение, профилактика онкологии, химиотерапия, выживаемость. Фото: 5-tv.ru
Рак шейки почки: причины, симптомы по стадиям, лечение, профилактика онкологии, химиотерапия, выживаемость. Фото: 5-tv.ru

Диагностика начинается с консультации гинеколога: врач собирает анамнез (уточняет симптомы, менструальный цикл, акушерскую историю, хронические заболевания и т. д.) и проводит гинекологический осмотр в кресле — оценивает состояние шейки матки, пальпирует матку и придатки.

Далее назначают ультразвуковое исследование (УЗИ) органов малого таза, в том числе трансвагинальное — оно помогает оценить толщину эндометрия и выявить подозрительные образования.

Ключевой метод диагностики — биопсия эндометрия. Есть несколько вариантов ее проведения:

  • пайпель‑биопсия (забор ткани тонкой трубочкой);
  • аспирационная биопсия (с помощью шприца или вакуумного аппарата);
  • диагностическое выскабливание (кюретаж);
  • биопсия во время гистероскопии.

Гистероскопия — осмотр полости матки с помощью эндоскопа с камерой — позволяет визуально оценить состояние эндометрия и сразу взять образец ткани из подозрительного участка.

Если есть подозрение на распространение опухоли, проводят дополнительные исследования:

  • МРТ или КТ — определяют размер опухоли, степень прорастания в ткани и наличие метастазов в лимфоузлах;
  • ПЭТ-КТ — помогает точно выявить метастазы;
  • цистоскопию (осмотр мочевого пузыря) или колоноскопию (осмотр кишечника) — если есть признаки поражения этих органов.

Из лабораторных методов используют:

  • общий и биохимический анализы крови, общий анализ мочи, коагулограмму — для оценки общего состояния;
  • анализ на онкомаркер СА‑125 (косвенно может указывать на распространение процесса, но не служит основным диагностическим критерием);
  • иммуногистохимическое исследование биоптата — помогает уточнить тип опухоли и выбрать тактику лечения;
  • при раннем развитии рака (до 50 лет) или семейной истории наследственных синдромов — анализ на генетические мутации.

Окончательный диагноз ставят только после гистологического исследования образца ткани: патолог изучает клетки под микроскопом и подтверждает наличие злокачественного процесса.

Ранняя диагностика значительно повышает шансы на успешное лечение — при появлении подозрительных симптомов (кровянистые выделения вне менструации, боли внизу живота и т. п.) важно сразу обратиться к гинекологу.

Стадии рака матки

   Рак шейки почки: причины, симптомы по стадиям, лечение, профилактика онкологии, химиотерапия, выживаемость. Фото: 5-tv.ru
Рак шейки почки: причины, симптомы по стадиям, лечение, профилактика онкологии, химиотерапия, выживаемость. Фото: 5-tv.ru

Стадии рака матки определяют по международным классификациям TNM и FIGO (Международная федерация акушеров и гинекологов). Они учитывают размер опухоли, ее распространение в окружающие ткани, поражение лимфоузлов и наличие метастазов.

Регулярные осмотры у гинеколога и УЗИ малого таза помогают выявить рак матки на ранней стадии, когда он еще никак себя не проявляет. Многие симптомы (особенно на ранних стадиях) похожи на проявления других гинекологических заболеваний. Поставить точный диагноз может только врач после обследования. Чем раньше обнаружена болезнь, тем лучше прогноз. На 0 и I стадиях шансы на выздоровление очень высокие.

Стадии рака:

0 стадия (предрак, карцинома in situ)

Раковые клетки есть, но они пока только на поверхности слизистой оболочки матки (эндометрия) и еще не проникли вглубь тканей. На этом этапе болезнь почти не дает симптомов, но ее можно случайно обнаружить при обследовании. Прогноз при своевременном лечении очень хороший.

I стадия

Опухоль находится внутри матки, не выходит за ее границы. Сначала она растет только в слизистой оболочке, потом может прорастать в мышечный слой матки — но все еще остается «в пределах дома», не затрагивая другие органы. Иногда бывают небольшие выделения между месячными или после менопаузы, но часто симптомов нет.

II стадия

Опухоль распространяется дальше — затрагивает не только тело матки, но и ее шейку. При этом все еще не выходит за пределы органа. Симптомы становятся заметнее: могут быть обильные или нерегулярные кровотечения, водянистые выделения, иногда — тянущие боли внизу живота.

III стадия

Рак выходит за пределы матки и поражает соседние ткани и органы:

  • может прорастать во влагалище, яичники или маточные трубы;
  • затрагивает околоматочную клетчатку (ткань вокруг матки);
  • распространяется на лимфоузлы в области таза.

Симптомы усиливаются:

  • боли внизу живота становятся постоянными и сильнее;
  • выделения приобретают неприятный запах;
  • могут появиться проблемы с мочеиспусканием (если опухоль давит на мочевой пузырь) или со стулом (если затронута прямая кишка);
  • чувствуется общая слабость, может снижаться вес.

IV стадия (самая тяжелая)

Опухоль прорастает в соседние органы или дает метастазы (вторичные очаги) в отдаленные части тела. Здесь возможны два варианта:

  • IVA — рак прорастает в мочевой пузырь или прямую кишку;
  • IVB — раковые клетки с током крови или лимфы попадают в другие органы: легкие, печень, кости и так далее.

На этой стадии симптомы выражены сильно:

  • обильные кровотечения;
  • сильные постоянные боли;
  • проблемы с работой кишечника и мочевого пузыря (запоры, кровь в моче или кале);
  • резкое похудение, слабость, отеки ног;
  • увеличение живота из‑за скопления жидкости (асцит).

Лечение рака матки

   Рак шейки почки: причины, симптомы по стадиям, лечение, профилактика онкологии, химиотерапия, выживаемость. Фото: 5-tv.ru
Рак шейки почки: причины, симптомы по стадиям, лечение, профилактика онкологии, химиотерапия, выживаемость. Фото: 5-tv.ru

Лечение рака матки зависит от стадии болезни, типа опухоли, возраста пациентки и других факторов. Врачи выбирают метод или комбинацию методов, чтобы максимально эффективно бороться с раком и снизить риск рецидива.

1. Операция — самый результативный метод на ранних стадиях (I–II). Во время операции удаляют матку, иногда вместе с шейкой, придатками (маточными трубами и яичниками) и лимфоузлами. В некоторых случаях иссекают и другие ткани, пораженные раком.

Виды операций:

  • Экстирпация матки (тотальная гистерэктомия). Удаляют матку с шейкой.
  • Радикальная гистерэктомия. Помимо матки и шейки, удаляют яичники, трубы, лимфоузлы (в области таза и рядом с аортой), иногда — сальник (складку брюшины, которая покрывает органы брюшной полости).
  • Субтотальная гистерэктомия. Удаляют только тело матки, шейка и придатки сохраняются. Такой вариант возможен для женщин детородного возраста.

Операцию проводят через влагалище, живот (лапаротомия) или с помощью лапароскопа (лапароскопический метод). Лапароскопия менее травматична и позволяет быстрее восстановиться.

2. Лучевая терапия использует высокоэнергетические лучи для уничтожения раковых клеток. Бывает двух видов:

  • Дистанционная (внешняя). Лучи направляют на пораженную область с помощью специального аппарата.
  • Брахитерапия (внутренняя). Радиоактивный элемент помещают внутрь влагалища в специальном тубусе.

Лучевую терапию могут назначать до операции, чтобы уменьшить опухоль, или после нее — чтобы уничтожить оставшиеся раковые клетки и снизить риск рецидива. Если операция невозможна, лучевая терапия может стать основным методом лечения.

3. Химиотерапия — лечение препаратами, которые разрушают быстро делящиеся клетки, в том числе раковые. Химиотерапию проводят курсами (обычно две-четыре недели), каждый курс включает одну-пять процедур.

Виды химиотерапии:

  • Неоадъювантная. Проводят до операции, чтобы уменьшить опухоль.
  • Адъювантная (профилактическая). Назначают после операции, чтобы снизить риск метастазов и рецидива.
  • Паллиативная. Используют при метастазах, рецидивах или неоперабельном раке, чтобы замедлить рост опухоли и улучшить качество жизни.

Часто химиотерапию сочетают с лучевой терапией (химиолучевая терапия).

4. Гормональная терапия применяется, если рак чувствителен к гормонам. Назначают препараты, которые блокируют действие гормонов или снижают их уровень, чтобы остановить рост опухоли. Такой метод чаще используют на III–IV стадиях, при рецидивах или у молодых пациенток с высокодифференцированным раком.

5. Таргетная терапия направлена на конкретные особенности раковых клеток. Препараты прицельно действуют на опухоль, меньше повреждая здоровые ткани.

6. Иммунотерапия помогает иммунной системе распознавать и уничтожать раковые клетки. Например, используют ингибиторы PD-1 — белка, который подавляет активность иммунных клеток.

У каждого метода есть риски и осложнения. После операции возможны кровотечение, инфицирование раны, образование спаек, повреждение соседних органов.

Лучевая терапия может вызвать тошноту, рвоту, диарею, усталость, покраснение и сухость кожи в зоне облучения, сухость во влагалище.

Химиотерапия часто приводит к выпадению волос, тошноте, рвоте, снижению уровня крови, ломкости ногтей. Гормональная терапия может вызвать приливы, увеличение веса и другие побочные эффекты.

Реабилитация после лечения рака матки

   Рак шейки почки: причины, симптомы по стадиям, лечение, профилактика онкологии, химиотерапия, выживаемость. Фото: 5-tv.ru
Рак шейки почки: причины, симптомы по стадиям, лечение, профилактика онкологии, химиотерапия, выживаемость. Фото: 5-tv.ru

Реабилитация после лечения рака матки — это комплексный процесс, который помогает женщине восстановить физическое здоровье, психоэмоциональное состояние и вернуться к полноценной жизни. Он строится индивидуально: учитывается стадия заболевания, проведенное лечение, возраст, сопутствующие болезни и личные потребности пациентки.

Начинать реабилитацию лучше через одну-две недели после завершения основного лечения — при отсутствии противопоказаний и по согласованию с врачом‑онкологом. Весь процесс может длиться от нескольких месяцев до года и более.

Сначала идет ранний этап: врач снимает острые последствия терапии — боли, отеки, воспаление, гормональные сбои. Пациентка находится под наблюдением, соблюдает покой и следит за состоянием швов.

Затем наступает этап адаптации и постепенного увеличения физической активности. Сначала — легкие прогулки, дыхательная гимнастика, растяжка. Важно избегать тяжелого физического труда и силовых тренировок. Постепенно нагрузки увеличивают, ориентируясь на самочувствие.

Важную роль играют упражнения Кегеля — они укрепляют мышцы тазового дна, помогают нормализовать мочеиспускание и восстановить интимную функцию после удаления матки.

Питание тоже имеет большое значение. Рацион должен быть сбалансированным, богатым белками, витаминами и микроэлементами.

Рекомендуется:

  • есть дробно (пять и более раз в день);
  • пить достаточно воды;
  • включать в меню рыбу, морепродукты, оливковое масло, овощи и фрукты;
  • избегать жирной и острой пищи, кофеина, алкоголя.

Если во время лечения удалили яичники, может наступить хирургическая менопауза. В таком случае врач подбирает гормональную терапию для устранения ее симптомов и поддержки костной ткани.

После лучевой терапии нередко возникают осложнения: сухость и атрофия слизистых, фиброз, стеноз влагалища. Для их коррекции применяют физиотерапевтические методы:

  • плазмотерапию (PRP-терапию) — введение плазмы крови, обогащенной тромбоцитами, для стимуляции регенерации тканей;
  • лазерное восстановление (например, методику Fotona Intima) — для улучшения тонуса стенок влагалища, увлажнения и заживления;
  • магнитотерапию, электросон, электростимуляцию мочевого пузыря и другие процедуры.

Психологическая поддержка — неотъемлемая часть реабилитации. Лечение рака — серьезный стресс, который может привести к тревоге, депрессии, страху рецидива, снижению самооценки. Помочь могут:

  • индивидуальная и групповая психотерапия;
  • арт-терапия;
  • когнитивно‑поведенческая терапия;
  • консультации сексолога, если возникли трудности в интимной сфере.

Отдельно стоит выделить профилактику осложнений:

  • при удалении лимфоузлов может развиться лимфедема (отек ног) — с ней борются с помощью лимфодренажного массажа;
  • после химиотерапии иногда возникают когнитивные нарушения (ухудшение памяти, концентрации) — здесь помогают специальные упражнения и тренинги;
  • важно следить за общим самочувствием и вовремя замечать признаки возможных рецидивов.

Долгосрочная поддержка включает регулярные осмотры у онколога, профилактические процедуры, контроль состояния здоровья. Врач составляет график обследований (анализы, УЗИ, осмотры), чтобы вовремя выявить любые изменения.

М
Мария Горбунова