Найти в Дзене
Екатерина Ляпина

Прошу любить и жаловать — мой любимчик аппарат Гербста

! 😁 Этот аппарат работает как у взрослых, так и у подростков. Сегодня покажу случай лечения девочки-подростка. Как работает аппарат Гербста: Устанавливается на верхние и нижние зубы одновременно. Смещает нижнюю челюсть вперед и стимулирует её рост. Плюс даёт зубоальвеолярные эффекты — верхние зубы движутся назад, нижние вперед. (Поэтому его ставят и взрослым при лечении скелетного дистального прикуса) Мы с девочкой носим аппарат всего 3 месяца из запланированных 6, но изменения уже заметны! Верхние зубы больше не торчат вперед так сильно, протрузия постепенно уменьшается. Улыбка меняется в лучшую сторону — и это без использования более сложной аппаратуры ( минивинтов). Рассчитываем обойтись только аппаратом Гербста + брекеты 👌🏻 Из приятного: девочка привыкла к аппарату очень быстро! Большая молодец — показала всем друзьям, похвасталась. Все, конечно, были в шоке, но думаю, ещё больше они удивятся невероятному результату 💪☺️ Аппарат Гербста действительно творит чудеса при п

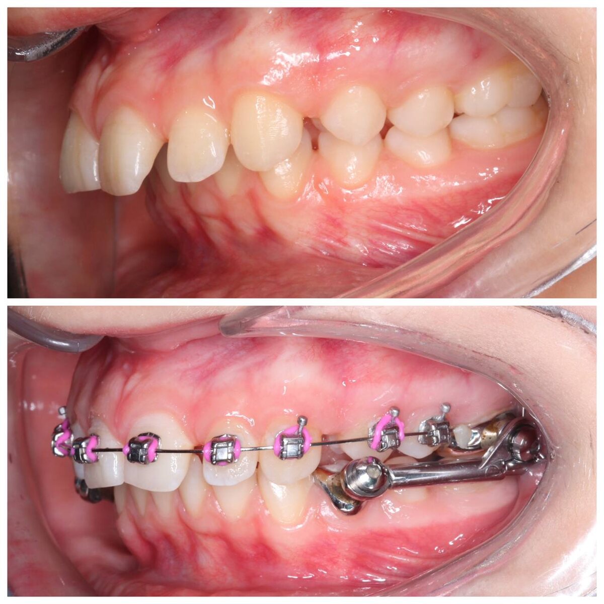
Прошу любить и жаловать — мой любимчик аппарат Гербста! 😁

Этот аппарат работает как у взрослых, так и у подростков. Сегодня покажу случай лечения девочки-подростка.

Как работает аппарат Гербста:

Устанавливается на верхние и нижние зубы одновременно. Смещает нижнюю челюсть вперед и стимулирует её рост.

Плюс даёт зубоальвеолярные эффекты — верхние зубы движутся назад, нижние вперед. (Поэтому его ставят и взрослым при лечении скелетного дистального прикуса)

Мы с девочкой носим аппарат всего 3 месяца из запланированных 6, но изменения уже заметны!

Верхние зубы больше не торчат вперед так сильно, протрузия постепенно уменьшается. Улыбка меняется в лучшую сторону — и это без использования более сложной аппаратуры ( минивинтов).

Рассчитываем обойтись только аппаратом Гербста + брекеты 👌🏻

Из приятного: девочка привыкла к аппарату очень быстро! Большая молодец — показала всем друзьям, похвасталась. Все, конечно, были в шоке, но думаю, ещё больше они удивятся невероятному результату 💪☺️

Аппарат Гербста действительно творит чудеса при правильном планировании лечения.😍

Встречались ли вам пациенты с таким аппаратом?

-2