Добавить в корзинуПозвонить
Найти в Дзене

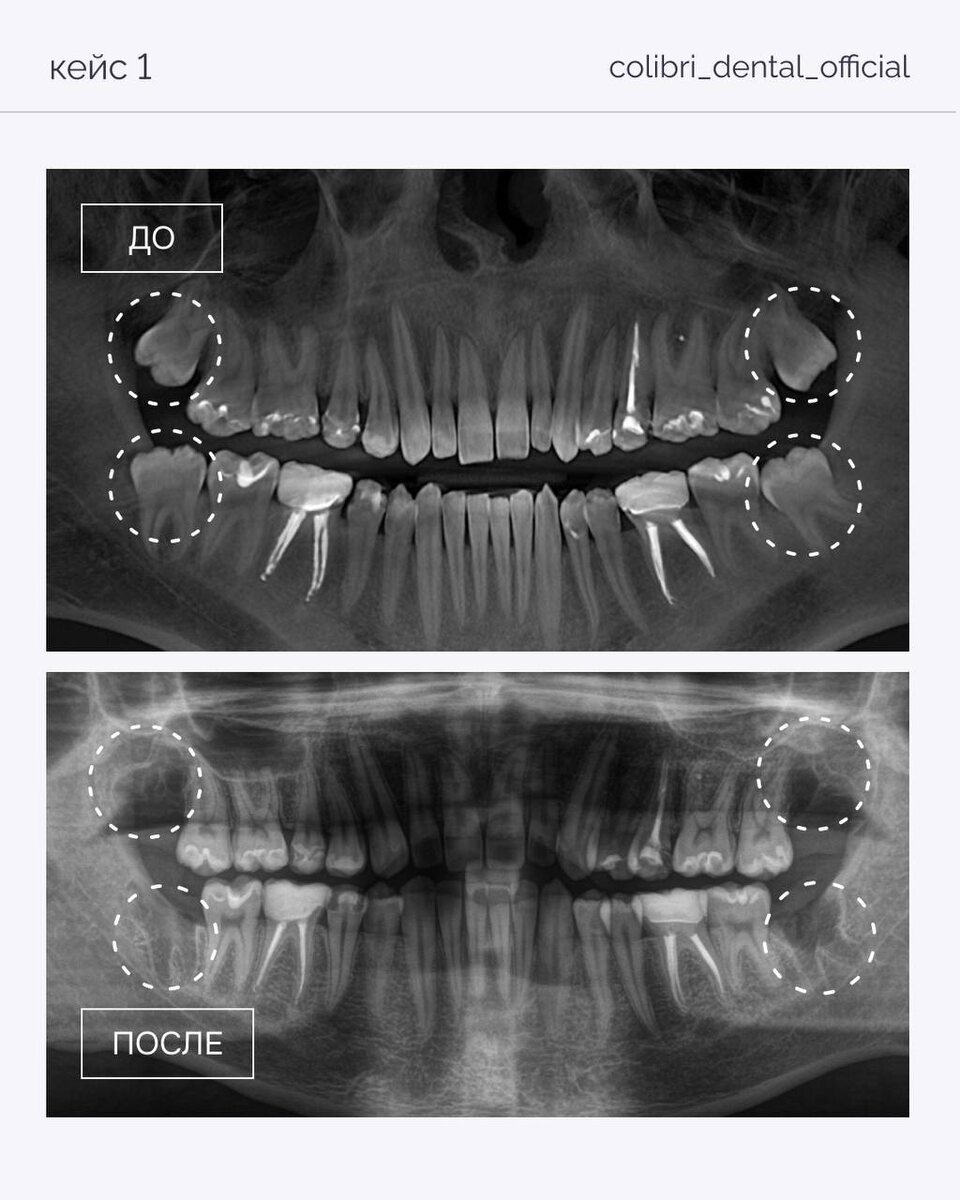
Зубы мудрости часто не дают выраженных симптомов

, но при этом могут: — смещать зубной ряд — вызывать давление и воспаление — осложнять ортодонтическое лечение Разобрали несколько кейсов в карточках. Важно: решение об удалении принимается только после диагностики (КЛКТ или панорама) и оценки положения зубов. Поможем оценить ситуацию и проконсультировать — для записи пишите в директ.

Зубы мудрости часто не дают выраженных симптомов,

но при этом могут:

— смещать зубной ряд

— вызывать давление и воспаление

— осложнять ортодонтическое лечение

Разобрали несколько кейсов в карточках.

Важно: решение об удалении принимается только после диагностики (КЛКТ или панорама) и оценки положения зубов.

Поможем оценить ситуацию и проконсультировать — для записи пишите в директ.

-2
-3
-4
-5
-6