Найти в Дзене

Почему имплантат может выпасть?

Всё на 4 (All on 4) – не всегда лучший вариант. Расскажем историю пациентки, которая столкнулась с риском отторжения импланта и переимплантитом. В чем причина и удалось ли спасти конструкцию? 👇 Пациентке 75 лет, 20 из них мы знакомы. Но последние 7 лет не виделись. А одним вечером раздался неожиданный звонок от нее: – Эдуард Вадимович, примите, пожалуйста, мне очень нужна ваша помощь. Главный врач назначил осмотр. Пациентка сделала All on 4 в другой клинике, но ее не устраивала эстетика, неудобно было жевать: – Меня подкупила реклама, увидела привлекательную цену в стоматологии около дома. Обещали сделать «новую улыбку», но это не то, что я представляла. Эдуард Вадимович провел осмотр и разобрал конструкцию. Вот, что мы увидели: Женщина пьет много кофе и курит. Гигиена была недостаточной, а пластмасса плохо очищается. Почему это опасно? У своего зуба есть защита в виде круговой связки, а имплантат этого лишен. Его должна защищать либо десна, либо протез, но в нашем случае нет ни того,

Всё на 4 (All on 4) – не всегда лучший вариант. Расскажем историю пациентки, которая столкнулась с риском отторжения импланта и переимплантитом. В чем причина и удалось ли спасти конструкцию? 👇

Пациентке 75 лет, 20 из них мы знакомы. Но последние 7 лет не виделись. А одним вечером раздался неожиданный звонок от нее:

– Эдуард Вадимович, примите, пожалуйста, мне очень нужна ваша помощь.

Главный врач назначил осмотр. Пациентка сделала All on 4 в другой клинике, но ее не устраивала эстетика, неудобно было жевать:

– Меня подкупила реклама, увидела привлекательную цену в стоматологии около дома. Обещали сделать «новую улыбку», но это не то, что я представляла.

Эдуард Вадимович провел осмотр и разобрал конструкцию. Вот, что мы увидели:

Потемневшие пластмассовые условно-съемные протезы (может снять только доктор).
Потемневшие пластмассовые условно-съемные протезы (может снять только доктор).

Женщина пьет много кофе и курит. Гигиена была недостаточной, а пластмасса плохо очищается.

Щель между протезом и имплантатом, отсутствие десны в его области
Щель между протезом и имплантатом, отсутствие десны в его области

Почему это опасно? У своего зуба есть защита в виде круговой связки, а имплантат этого лишен. Его должна защищать либо десна, либо протез, но в нашем случае нет ни того, ни другого. Пища попадала в область имплантата, бактерии проникали до уровня кости.

Как результат, женщина столкнулась с переимплантитом на верхней челюсти. Это воспалительный процесс, при котором кость рассасывается вокруг имплантата.

Верхняя челюсть
Верхняя челюсть

А на нижней челюсти видим остатки пищи. Это также могло привести к переимплантиту, если бы пациентка не обратилась за помощью.

Нижняя челюсть
Нижняя челюсть

Воспалительный процесс почти бессимптомный – боли нет, может появиться неприятный привкус во рту. А затем – подвижность.

Когда имплантат не спасти? Если кость ушла на 50% от длины имплантата, то это показание к удалению. Например, его длина 10 мм, а кость ушла на 5 мм. Жевательная нагрузка становится критичной и имплант может сломаться или треснуть.

В случае с нашей пациенткой, убыль костной ткани была меньше 50%, поэтому мы решили сохранить имплантат, но заменить протез, чтобы избежать инфекции.

Верхняя челюсть:

Протез на балке. Съемный, акриловый.
Протез на балке. Съемный, акриловый.

Балка распределяет нагрузку равномерно. Здесь важно, что пациентка сможет сама снять протез, прочистить. Благодаря специальным замочкам, он не будет слетать 👇

Замочки
Замочки

А протез на нижней челюсти выглядит так:

Несъемный протез из циркония
Несъемный протез из циркония

Поскольку снизу воспаления вокруг имплантатов удалось избежать, мы смогли установить несъемную конструкцию. Цирконий не пачкается и не меняет цвет.

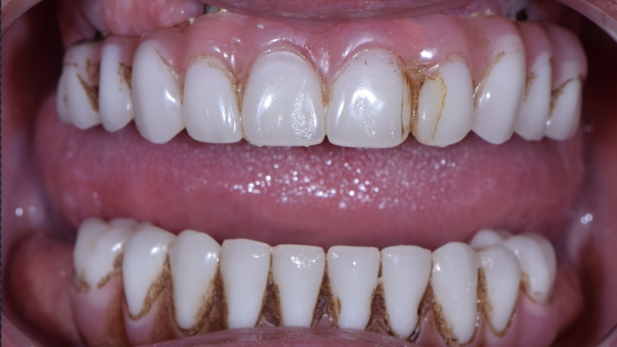
Так смотрятся протезы в полости рта:

-9

Теперь протез как зонт – полностью накрывает имплантаты, что даст им защиту от механических травм и застревания пищи.

-10

Конструкция ремонтопригодная. Если вдруг имплантат сверху придется убрать через 10 лет, то мы скорректируем конструкцию и она будет функционировать. Но прогнозы хорошие и вероятнее всего, пациентка с этим не столкнется.

Важно, что решение подходит под образ жизни женщины: она курит и ее это устраивает, любит пить кофе. В ее случае несъемная конструкция на верхней челюсти из-за сложной гигиены привела к переимплантиту. К сожалению, кость в этой области уже не восстановится. Но мы смогли остановить воспалительные процессы, поэтому имплантату сейчас ничего не угрожает.

Подытожим: чтобы не столкнуться с переимплантитом, важна тщательная гигиена. Имплантат хоть и не «живой», но нуждается в уходе и требует внимания ❤️