Найти в Дзене

Множественная миелома.

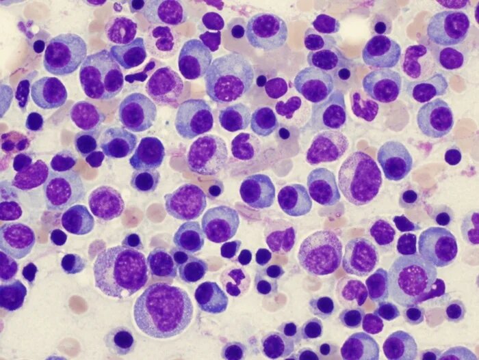
Множественная миелома — это злокачественное заболевание крови из группы гемобластозов (парапротеинемические лейкозы). Оно характеризуется злокачественной пролиферацией плазматических клеток (клеток, которые в норме вырабатывают антитела), которые накапливаются в костном мозге, вызывая деструкцию костной ткани, угнетение нормального кроветворения и выработку патологического белка (парапротеина). Классические проявления заболевания объединяют в аббревиатуру CRAB : Другие симптомы: Категория годности с множественной миеломой по ст.9(Злокачественные новообразования лимфоидной, кроветворной и родственных им тканей) а-Д(не годен к в/сл) по I, II, III графам. https://max.ru/join/I3Q-Oyq-fxC6YR7yGZcYQpKuMrMUk7W9cODglQvZ...

Множественная миелома — это злокачественное заболевание крови из группы гемобластозов (парапротеинемические лейкозы). Оно характеризуется злокачественной пролиферацией плазматических клеток (клеток, которые в норме вырабатывают антитела), которые накапливаются в костном мозге, вызывая деструкцию костной ткани, угнетение нормального кроветворения и выработку патологического белка (парапротеина).

Классические проявления заболевания объединяют в аббревиатуру CRAB :

  • CCalcium elevation (Гиперкальциемия): возникает из-за разрушения костей. Проявляется тошнотой, рвотой, слабостью, заторможенностью, аритмиями.
  • RRenal failure (Почечная недостаточность): поражение почек (миеломная нефропатия) развивается из-за отложения легких цепей парапротеина в почках. Характерна протеинурия.
  • AAnemia (Анемия): обусловлена вытеснением нормального ростка кроветворения опухолевыми клетками в костном мозге. Сопровождается слабостью, бледностью, одышкой.
  • BBone lesions (Поражение костей): боли в костях (позвоночник, ребра, череп, таз), патологические переломы (возникают при незначительной травме), компрессионные переломы позвонков.

Другие симптомы:

  • Повышенная инфекционная заболеваемость: из-за иммунодефицита.
  • Синдром повышенной вязкости крови: головные боли, нарушения зрения, кровоточивость слизистых.
-2

Основные рентгенологические признаки множественной миеломы на рентгенографии костей черепа :

  1. Множественные очаги деструкции
    Это самый характерный признак. Очаги имеют четкие, ровные контуры, без признаков склероза (зоны уплотнения) по периферии, что отличает миелому от метастазов рака.
    Размер: От мелких (1–2 мм) до крупных (3–5 см и более).
    Форма: Округлая или овальная.
    Локализация: Хаотично разбросаны по всем костям свода черепа (лобной, теменной, затылочной костях).
  2. Симптом «пробойника»
    Очаги выглядят как округлые «дырки» в костной ткани, как если бы их сделали пробойником.
  3. Отсутствие реакции со стороны надкостницы
    Периостальных наслоений (костных «шипов» или «козырьков») обычно нет, так как процесс начинается в костном мозге и разрушает кость изнутри (центрический рост), не приподнимая надкостницу на ранних стадиях.
  4. «Географический» рисунок
    В запущенных стадиях, когда мелкие очаги сливаются, возникает картина
    «съеденного молью» черепа . Кости черепа теряют свою структуру, становятся пятнистыми. В терминальной стадии может наблюдаться полное исчезновение костной ткани свода черепа с заменой её мягкотканной миеломной массой.
  5. Деформация турецкого седла (реже)
    При поражении основания черепа может наблюдаться остеолиз в области турецкого седла , однако это встречается реже, чем поражение свода.
Рентгенография черепа с диагнозом множественная миелома.
Рентгенография черепа с диагнозом множественная миелома.

-4
-5

Категория годности с множественной миеломой по ст.9(Злокачественные новообразования лимфоидной, кроветворной и родственных им тканей) а-Д(не годен к в/сл) по I, II, III графам.

https://max.ru/join/I3Q-Oyq-fxC6YR7yGZcYQpKuMrMUk7W9cODglQvZ...