Добавить в корзинуПозвонить
Найти в Дзене
DEXIS Russia

Динамическая нерезкость

В стоматологической практике это знакомая ситуация: врач-стоматолог открывает 3D-снимок - и могут возникнуть вопросы к его качеству: И в этот момент чаще всего возникает логичное, но не всегда верное предположение, что проблема в томографе. По словам врача стоматолога-рентгенолога Александра Потапова, для получения качественного 3D-снимка пациент должен быть полностью неподвижен. Это необходимо для того, чтобы все математические расчеты выполнялись для объекта, находящегося в одной координатной системе. Любое движение пациента во время сканирования приводит к тому, что система получает искаженные данные В результате после обработки и рендеринга появляются все те «симптомы», о которых говорилось выше. Такой тип артефактов имеет профессиональное название - динамическая нерезкость. Ниже приведены примеры артефактов на 3D-снимках: Движение пациента в томографе - одна из самых частых причин артефактов. Как правило, это связано не с самим оборудованием, а с процессом проведения исследова
Оглавление

В стоматологической практике это знакомая ситуация: врач-стоматолог открывает 3D-снимок - и могут возникнуть вопросы к его качеству:

  • снимок выглядит нечетким
  • не прослеживаются контуры (канала зуба или даже костной ткани)
  • наблюдается двоение структур
  • появляются «ложные» трещины
  • ткани переходят друг в друга плавно, без четких границ

И в этот момент чаще всего возникает логичное, но не всегда верное предположение, что проблема в томографе.

В чем же причина?

По словам врача стоматолога-рентгенолога Александра Потапова, для получения качественного 3D-снимка пациент должен быть полностью неподвижен.

Это необходимо для того, чтобы все математические расчеты выполнялись для объекта, находящегося в одной координатной системе. Любое движение пациента во время сканирования приводит к тому, что система получает искаженные данные

В результате после обработки и рендеринга появляются все те «симптомы», о которых говорилось выше. Такой тип артефактов имеет профессиональное название - динамическая нерезкость.

Ниже приведены примеры артефактов на 3D-снимках:

Нечеткие контуры корневых каналов, двойные контуры анатомических структур свидетельствуют о движении во время сканирования
Нечеткие контуры корневых каналов, двойные контуры анатомических структур свидетельствуют о движении во время сканирования
Нечеткие контуры (особенно каналов)
Нечеткие контуры (особенно каналов)
Слева - хороший снимок, справа - звездочка вместо четкого круглого канала
Слева - хороший снимок, справа - звездочка вместо четкого круглого канала

Почему это происходит

Движение пациента в томографе - одна из самых частых причин артефактов. Как правило, это связано не с самим оборудованием, а с процессом проведения исследования:

  • недостаточный инструктаж пациента
  • отсутствие акцента на важности неподвижности
  • слабая фиксация

Как этого избежать?

Именно на этапе позиционирования чаще всего закладывается качество будущего снимка. Ключевую роль играет: насколько правильно выставлена голова, используются ли фиксаторы, удобно ли пациенту сохранять неподвижность.

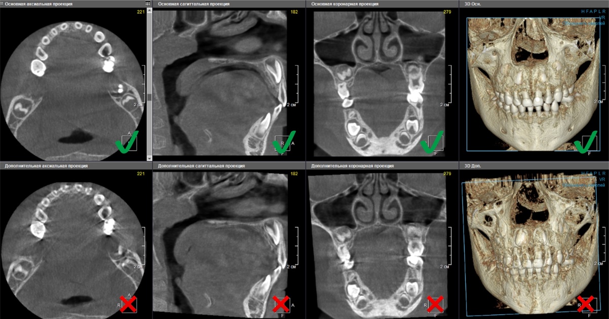
Идеальный снимок
Идеальный снимок

Далее рассмотрим пример правильного позиционирования пациента на томографе DEXIS OP 3D LX

3D снимки:

-5
-6
-7
-8

Панорамные снимки:

-9
-10
-11
-12

________________
Информация, представленная в данной статье, основана на мнении Александра Потапова, специалиста в области медицины (врача), работающего с продукцией DEXIS.
Все заявленные мнения и результаты не могут рассматриваться как официальные медицинские рекомендации, не являются медицинскими советами и не заменяют профессиональное медицинское заключение.

Производитель продукции DEXIS, равно как и компания ООО «И Эйч Руссланд», не несет ответственности за любые результаты или последствия, возникшие в результате использования данной информации.
Продукция DEXIS не предназначена для личного, семейного, домашнего использования, в том числе использования не медицинскими специалистами (врачами). Врачи должны руководствоваться собственным профессиональным мнением в случае применения продукции при диагностике и лечении пациентов.