Найти в Дзене

ПОЧЕМУ БОЛЯТ КОЛЕНИ?

Да, почему? Обычно мне этот вопрос не задают. Я стараюсь смотреть уже своих «профильных» пациентов, у которых колени уже разрушены, и подлежат протезированию.
Тем не менее, периодически попадаются люди, суставы которых еще не разрушены, но болят. В каждом случае нужно разбираться, ибо практически всегда причина для боли есть. И очень часто она не в самих суставах.
К сожалению, зачастую у «узкого»

Да, почему? Обычно мне этот вопрос не задают. Я стараюсь смотреть уже своих «профильных» пациентов, у которых колени уже разрушены, и подлежат протезированию.

Тем не менее, периодически попадаются люди, суставы которых еще не разрушены, но болят. В каждом случае нужно разбираться, ибо практически всегда причина для боли есть. И очень часто она не в самих суставах.

К сожалению, зачастую у «узкого» специалиста не всегда есть опыт/знания/желание/время или совокупность причин, чтобы детально разобраться в проблеме и сделать правильные выводы. Вообще никого не хочу обидеть, ситуации очень разные, включая сложные и непонятные случаи, но, тем не менее, иногда всё лежит на поверхности, нужно лишь немного расширить горизонт.

я имею ввиду, что, если стреляет в пятку, не всегда проблема в пятке, зачастую она аж в спине. Примерно так и в ситуации, которую сейчас покажу.

ПОЧТИ РЕБЁНОК

19 лет - еще почти ребенок. Уже после операции на коленном суставе, к счастью - малотравматичной и безвредной, но всё же. Артроскопия была сделана в связи с жалобами на боли в коленных суставах. Диагноз - ущемление кусочка мягких тканей внутри колена. После операции боль в колене не ушла, а девчушку уже зовут на операцию на втором колене. Ждут.

Девчушка стройная, как тростинка, высокая, без видимых деформаций.

ВИДЕОКОНСУЛЬТАЦИЯ

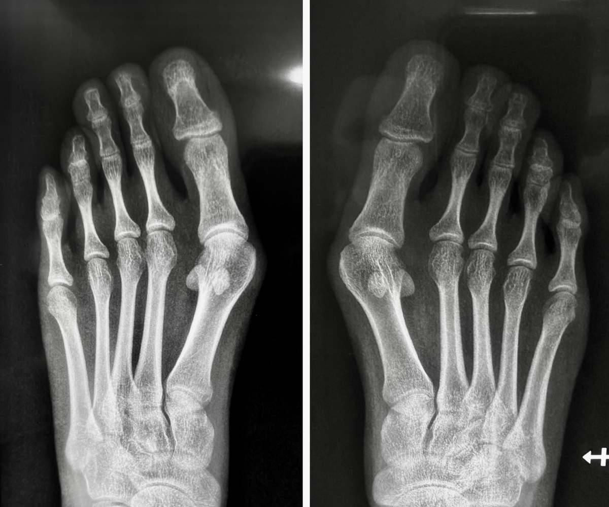
Заботливая и беспокойная мама читает меня, и обратилась с другой проблемой - «шишками»/«косточками» на стопах. Прислала рентгенограммы, всё обсудили на видеоконсультации, запланировали исправить деформацию обеих стоп.

-2

Всё очевидно, вопросов нет. Если такая деформация в 19, очевидно, что дальше будет только хуже.

-3

И не только стопам. Вот, отличные прямые ноги сейчас, при этом есть боли в коленях, казалось бы - с чего вдруг?

-4

ОСМОТР

И вот тут начинается интересное. Смотрю девчушку. Да, деформация переднего отдела очевидна, да, нуждается в хирургической коррекции. НО: есть то, чего не видно на рентгене, а именно - вальгусная установка стоп. Крайне важная вещь!

На фото выше стопы стоят вроде бы ровно, а сзади - нет:

-5

Еще лучше видно при мануальном тестировании:

-6

Вот такой завал стопы. Стоя задние большеберцовые мышцы худо-бедно вкючаются, и стабилизируют стопы в приличном положении (+ остальные мышцы ног помогают), благо - вес небольшой. А в реальности - очень сильная гипермобильность в подтаранных суставах.

При такой картине ставить на место первые пальцы - совершенно пустая затея. Организм сделает всё, чтобы вернуть пальцы и головки первых плюсневых костей обратно - тело пытается создать точки опоры, что запускает патологический процесс.

ПРИ ЧЕМ ТУТ КОЛЕНИ?

А вот и ключевой вопрос. Когда стопы пытаются завалиться кнаружи, голени ротируются, и колени стараются уйти внутрь (на Икс). Мышцы гусиной лапки, которые крепятся в нижней части колена с внутренней стороны, находятся в постоянном тонусе и напряжении, пытаясь стабилизировать колени, отсюда - тендинит, боль. Разумеется - «в коленях». На самом деле - нет. Ровно поэтому операция и не помогла.

ЧТО ДЕЛАТЬ?

Надеюсь, всем очевидно, что ремонтировать нужно «фундамент», и не на уровне больших пальцев, а целиком. Начиная со стабилизации стоп в пространстве. В этом случае, к счастью, можно обойтись совсем малой крoвью: артроэрезом и коротенькой остеотомией первой плюсневой кости. Вот так:

Первый палец на месте, шишки нет
Первый палец на месте, шишки нет

И так
И так

-9

Вот там справа под наклейкой прокол, через который между пяточной и таранной костями введен эндортез, который не даст стопе заваливаться. Слева через небольшой доступ выполнено репозиционирование головки первой плюсневой кости. И всё!

-10

Перед операцией сделали правильную стельку, после операции обули специальный ботинок, и - ходить.

Да, только одна нога, в этом случае сразу на двух было бы ходить проблематично (детям до 10-12 лет нормально), поэтому вторую отремонтирую через полтора-два месяца.

А вот так выглядят ноги, которые не прооперировали вовремя:

-11

Потом покажу подробнее, операция будет завтра. У этой пациентки болят вообще ноги целиком. Непростая ситуация, но улучшить можно. Будем улучшать.

РЕЗЮМЕ

Стопы - это очень важно. Иной раз даже простое ношение правильных ортопедических стелек значимо уменьшает боль в суставах и спине. Что уж говорить о хирургии!