Добавить в корзинуПозвонить
Найти в Дзене
Прайм-Стоматология

От травмы до новой улыбки: кейс команды «Прайм-стоматологии»

Прошедшая зима выдалась очень снежной, поэтому была полна активных развлечений: санки, лыжи, коньки и сноуборд. К сожалению, эти виды досуга зачастую приводят не только к ярким впечатлениям, но и серьёзным травмам. Так случилось и с нашим пациентом. В результате травмы он утратил два передних зуба. Ситуацию усугублял перелом наружной стенки челюсти. С этой проблемой наш пациент обратился в «Прайм-стоматологию». Лечение прошло в несколько этапов благодаря слаженной работе команды специалистов: ✔ Хирургия. Врач-стоматолог хирург, имплантолог Елизавета Евклидовна Елевтерова удалила повреждённые зубы, зафиксировала костные отломки и установила импланты. ✔ Терапия. Врач-стоматолог терапевт, специалист по лечению под микроскопом Юлия Александровна Осина провела санацию полости рта и подготовила сохранившийся сколотый зуб под коронку. 📍 Всё это создало прочный фундамент для протезирования. ✔ Протезирование. Врач-стоматолог ортопед Татьяна Михайловна Бурмистрова изготовила временные реставра
Фото нашего пациента после получения травмы и после восстановления
Фото нашего пациента после получения травмы и после восстановления

Прошедшая зима выдалась очень снежной, поэтому была полна активных развлечений: санки, лыжи, коньки и сноуборд. К сожалению, эти виды досуга зачастую приводят не только к ярким впечатлениям, но и серьёзным травмам.

Так случилось и с нашим пациентом. В результате травмы он утратил два передних зуба. Ситуацию усугублял перелом наружной стенки челюсти.

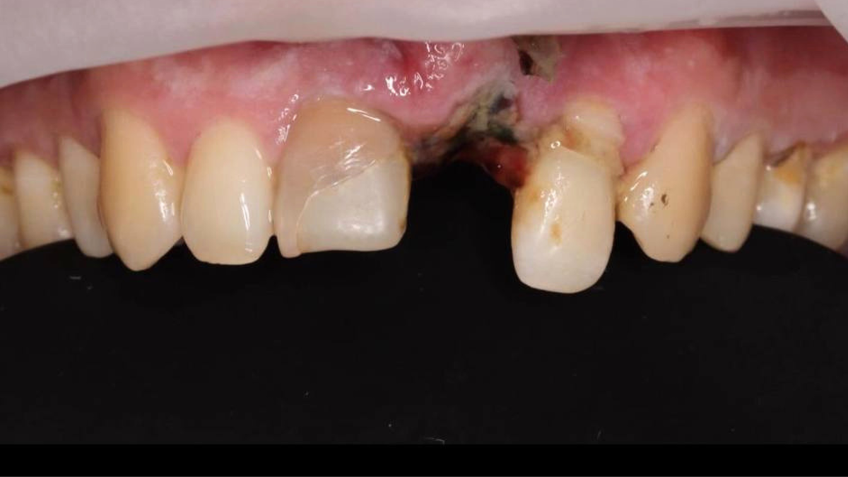
Фото нашего пациента на момент обращения в клинику.
Фото нашего пациента на момент обращения в клинику.

С этой проблемой наш пациент обратился в «Прайм-стоматологию». Лечение прошло в несколько этапов благодаря слаженной работе команды специалистов:

✔ Хирургия. Врач-стоматолог хирург, имплантолог Елизавета Евклидовна Елевтерова удалила повреждённые зубы, зафиксировала костные отломки и установила импланты.

✔ Терапия. Врач-стоматолог терапевт, специалист по лечению под микроскопом Юлия Александровна Осина провела санацию полости рта и подготовила сохранившийся сколотый зуб под коронку.

📍 Всё это создало прочный фундамент для протезирования.

✔ Протезирование. Врач-стоматолог ортопед Татьяна Михайловна Бурмистрова изготовила временные реставрации. Они помогли восстановить эстетику, дикцию и сформировать правильный десневой контур. Затем временные конструкции заменили на постоянные коронки из диоксида циркония с индивидуализацией (одна коронка на свой зуб и две — на импланты).

Жизнь непредсказуема, но команда «Прайм-стоматологии» всегда готова помочь в любой ситуации!

Записаться на приём в ПРАЙМ можно по телефону:+74912 292000

_________________________________

Наши клиники в г. Рязань:

◾ Есенина, 110

◾ Советской армии, 9

◾ Бирюзова, 28а

◾ Интернациональная, 23

◾ Полетаева, 34 (клиника корпоративного университета)

https://www.prime-med.ru/