Π”ΠΎΠ±Π°Π²ΠΈΡ‚ΡŒ Π² ΠΊΠΎΡ€Π·ΠΈΠ½ΡƒΠŸΠΎΠ·Π²ΠΎΠ½ΠΈΡ‚ΡŒ
Найти Π² Π”Π·Π΅Π½Π΅
Москва FM

🀯 БтоматологичСский Π±ΡƒΡ€ ΠΏΠΎΠΏΠ°Π» Π² Π±Ρ€ΠΎΠ½Ρ… ΠΏΠ°Ρ†ΠΈΠ΅Π½Ρ‚Π° Π²ΠΎ врСмя лСчСния Π·ΡƒΠ±ΠΎΠ²

Π˜Π½Ρ†ΠΈΠ΄Π΅Π½Ρ‚ ΠΏΡ€ΠΎΠΈΠ·ΠΎΡˆΡ‘Π» Π² частной ΠΊΠ»ΠΈΠ½ΠΈΠΊΠ΅ Π² ПодмосковьС: Π²ΠΎ врСмя ΠΏΡ€ΠΈΡ‘ΠΌΠ° ΠΌΡƒΠΆΡ‡ΠΈΠ½Π° ΠΏΡ€ΠΎΠ³Π»ΠΎΡ‚ΠΈΠ» стоматологичСский инструмСнт, ΠΈ Ρ‚ΠΎΡ‚ оказался Π² Π»Π΅Π²ΠΎΠΌ Π±Ρ€ΠΎΠ½Ρ…Π΅. ΠŸΠ°Ρ†ΠΈΠ΅Π½Ρ‚Π° срочно доставили Π² Π±ΠΎΠ»ΡŒΠ½ΠΈΡ†Ρƒ, Π³Π΄Π΅ Π²Ρ€Π°Ρ‡ΠΈ ΠΏΡ€ΠΎΠ²Π΅Π»ΠΈ ΠΎΠΏΠ΅Ρ€Π°Ρ†ΠΈΡŽ. МСдики ΠΎΡ‚ΠΌΠ΅Ρ‡Π°ΡŽΡ‚, Ρ‡Ρ‚ΠΎ ΠΏΡ€ΠΎΠΌΠ΅Π΄Π»Π΅Π½ΠΈΠ΅ ΠΌΠΎΠ³Π»ΠΎ Π·Π°ΠΊΠΎΠ½Ρ‡ΠΈΡ‚ΡŒΡΡ Π»Π΅Ρ‚Π°Π»ΡŒΠ½Ρ‹ΠΌ исходом. Бпустя нСдСлю ΠΌΡƒΠΆΡ‡ΠΈΠ½Ρƒ выписали, сСйчас ΠΎΠ½ чувствуСт сСбя Ρ…ΠΎΡ€ΠΎΡˆΠΎ. πŸ“Œ ΠŸΠΎΠ΄ΠΏΠΈΡΠ°Ρ‚ΡŒΡΡ Π½Π° Москва FM / Наш Ρ‡Π°Ρ‚-Π±ΠΎΡ‚ / ΠœΡ‹ Π² MAX

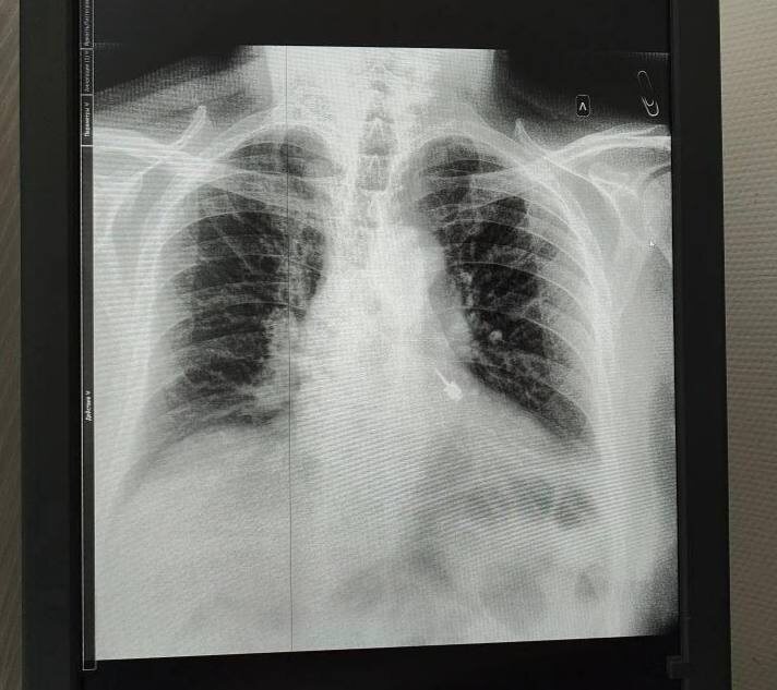
🀯 БтоматологичСский Π±ΡƒΡ€ ΠΏΠΎΠΏΠ°Π» Π² Π±Ρ€ΠΎΠ½Ρ… ΠΏΠ°Ρ†ΠΈΠ΅Π½Ρ‚Π° Π²ΠΎ врСмя лСчСния Π·ΡƒΠ±ΠΎΠ²

Π˜Π½Ρ†ΠΈΠ΄Π΅Π½Ρ‚ ΠΏΡ€ΠΎΠΈΠ·ΠΎΡˆΡ‘Π» Π² частной ΠΊΠ»ΠΈΠ½ΠΈΠΊΠ΅ Π² ПодмосковьС: Π²ΠΎ врСмя ΠΏΡ€ΠΈΡ‘ΠΌΠ° ΠΌΡƒΠΆΡ‡ΠΈΠ½Π° ΠΏΡ€ΠΎΠ³Π»ΠΎΡ‚ΠΈΠ» стоматологичСский инструмСнт, ΠΈ Ρ‚ΠΎΡ‚ оказался Π² Π»Π΅Π²ΠΎΠΌ Π±Ρ€ΠΎΠ½Ρ…Π΅.

ΠŸΠ°Ρ†ΠΈΠ΅Π½Ρ‚Π° срочно доставили Π² Π±ΠΎΠ»ΡŒΠ½ΠΈΡ†Ρƒ, Π³Π΄Π΅ Π²Ρ€Π°Ρ‡ΠΈ ΠΏΡ€ΠΎΠ²Π΅Π»ΠΈ ΠΎΠΏΠ΅Ρ€Π°Ρ†ΠΈΡŽ. МСдики ΠΎΡ‚ΠΌΠ΅Ρ‡Π°ΡŽΡ‚, Ρ‡Ρ‚ΠΎ ΠΏΡ€ΠΎΠΌΠ΅Π΄Π»Π΅Π½ΠΈΠ΅ ΠΌΠΎΠ³Π»ΠΎ Π·Π°ΠΊΠΎΠ½Ρ‡ΠΈΡ‚ΡŒΡΡ Π»Π΅Ρ‚Π°Π»ΡŒΠ½Ρ‹ΠΌ исходом. Бпустя нСдСлю ΠΌΡƒΠΆΡ‡ΠΈΠ½Ρƒ выписали, сСйчас ΠΎΠ½ чувствуСт сСбя Ρ…ΠΎΡ€ΠΎΡˆΠΎ.

πŸ“Œ ΠŸΠΎΠ΄ΠΏΠΈΡΠ°Ρ‚ΡŒΡΡ Π½Π° Москва FM / Наш Ρ‡Π°Ρ‚-Π±ΠΎΡ‚ / ΠœΡ‹ Π² MAX

-2