Добавить в корзинуПозвонить
Найти в Дзене
Uralnovosti

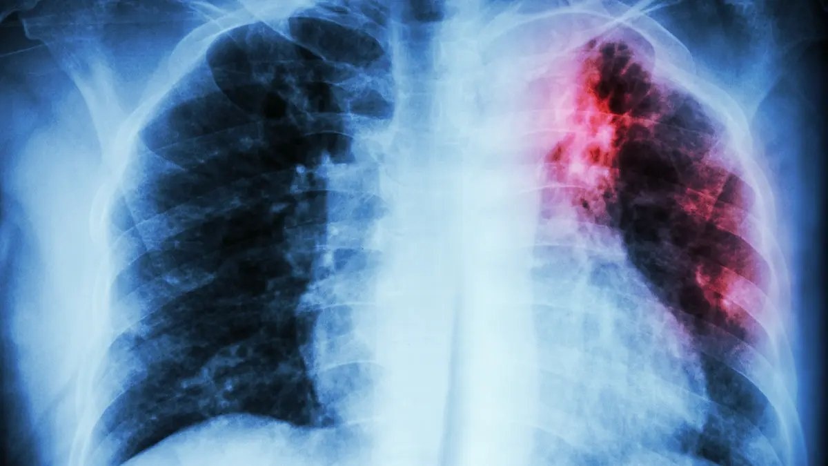
СПбГУ организовал проверки после туберкулеза у преподавателя

В Питере в универе какой-то препод подхватил туберкулез! Теперь всех его студентов зовут на проверку, чтоб болезнь не расползлась. Ребята, берегите себя и не болейте! 📢 Подробнее: uralnovosti.ru 🏞 Фото автора: vm.ru 📢 Подписывайтесь на наш канал: uralnovost

СПбГУ организовал проверки после туберкулеза у преподавателя

В Питере в универе какой-то препод подхватил туберкулез! Теперь всех его студентов зовут на проверку, чтоб болезнь не расползлась. Ребята, берегите себя и не болейте!

📢 Подробнее: uralnovosti.ru

🏞 Фото автора: vm.ru

📢 Подписывайтесь на наш канал: uralnovost