Добавить в корзинуПозвонить
Найти в Дзене

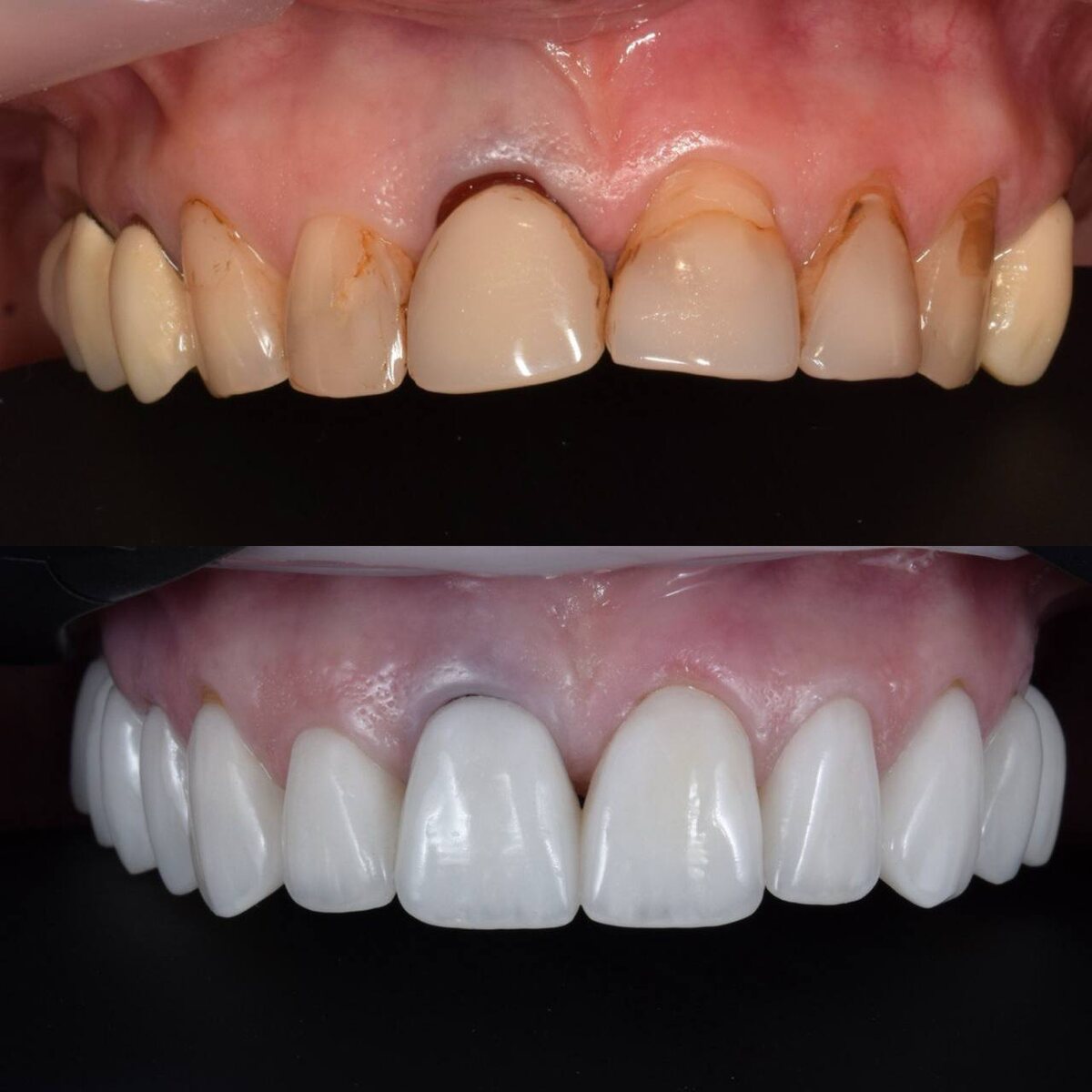
Виды эстетической реставрации зубов

Эстетическая реставрация зубов - это не просто забота о красоте улыбки, но и возможность восстановить функцию. Современная стоматология предлагает три основных подхода: виниры, коронки и импланты. Каждый вариант подбирается индивидуально, с учетом анатомии, желаемого результата и клинической ситуации. Виниры Виниры - это тонкие керамические накладки, которые крепятся на переднюю (вестибулярную) поверхность зуба. Они идеально подходят для маскировки незначительных дефектов - сколов, неровностей, щелей или изменения цвета в зоне улыбки. Виниры сохраняют максимум собственной ткани зуба, обеспечивают безупречную эстетику и натуральный блеск. Их часто выбирают для преображения «зоны улыбки». Коронки Коронка — это «колпачок», который полностью охватывает зуб. Такой метод применяется при больших разрушениях (когда пломба уже не держится), после эндодонтического лечения, а также если нужно полностью изменить форму, размер или цвет зуба. Коронка максимально защищает зуб от разрушения и восстана

Эстетическая реставрация зубов - это не просто забота о красоте улыбки, но и возможность восстановить функцию.

Современная стоматология предлагает три основных подхода: виниры, коронки и импланты.

Каждый вариант подбирается индивидуально, с учетом анатомии, желаемого результата и клинической ситуации.

Виниры

Виниры - это тонкие керамические накладки, которые крепятся на переднюю (вестибулярную) поверхность зуба. Они идеально подходят для маскировки незначительных дефектов - сколов, неровностей, щелей или изменения цвета в зоне улыбки. Виниры сохраняют максимум собственной ткани зуба, обеспечивают безупречную эстетику и натуральный блеск. Их часто выбирают для преображения «зоны улыбки».

Коронки

Коронка — это «колпачок», который полностью охватывает зуб. Такой метод применяется при больших разрушениях (когда пломба уже не держится), после эндодонтического лечения, а также если нужно полностью изменить форму, размер или цвет зуба. Коронка максимально защищает зуб от разрушения и восстанавливает не только эстетику, но и жевательную функцию. Она может быть изготовлена из металлокерамики, циркония или только керамики — каждый вариант подбирается с учетом клинических показаний и пожеланий пациента.

Импланты

Имплант — это искусственный корень, на который устанавливается коронка там, где зуб отсутствует полностью. Имплантация возвращает и красоту, и полноценную функцию улыбки, предотвращая смещение соседних зубов и атрофию костной ткани. Эстетика современных имплантов не уступает натуральным зубам, а сроки службы при правильном уходе могут быть десятилетиями.

Выбор метода всегда делается индивидуально после диагностики: важны состояние зубов, качество твердых тканей, прикус, гигиена и ожидания пациента. Главная цель — восстановить не только внешний вид, но и здоровье полости рта.

-2

Делимся примерами эстетических реставраций, проведеными в нашей клинике "Частный Дантист и Коллеги".