Добавить в корзинуПозвонить
Найти в Дзене

Как правильно восстанавливать полуразрушившийся зуб — пломбой или коронкой?

Недавно наши подписчики задали актуальный вопрос: как правильно восстанавливать полуразрушившийся зуб — пломбой или коронкой, особенно если пациент старше 70 лет? В действительности решение не зависит от возраста. Основным критерием выбора способа восстановления служит степень разрушения самого зуба и его витальность (при отсутствии патологии со стороны пародонта). Для объективной оценки степени повреждения жевательных зубов врачи используют индекс разрушения окклюзионной поверхности зуба, или ИРОПЗ. Этот индекс показывает, какую часть площади жевательной поверхности занимает дефект (полость или старая пломба) и помогает точно выбрать метод лечения: • При ИРОПЗ до 0,4 (разрушено до 40% коронковой части зуба) пломбирование обычно эффективно и надежно. • Если ИРОПЗ более 0,4, предпочтительнее ортопедическое восстановление — вкладки или коронки. Такая конструкция защищает ткани зуба, обеспечивает долгий срок службы и устойчивость к нагрузкам. • При критических значениях (выше 0,6–0,8) пок

Недавно наши подписчики задали актуальный вопрос: как правильно восстанавливать полуразрушившийся зуб — пломбой или коронкой, особенно если пациент старше 70 лет?

В действительности решение не зависит от возраста. Основным критерием выбора способа восстановления служит степень разрушения самого зуба и его витальность (при отсутствии патологии со стороны пародонта).

Для объективной оценки степени повреждения жевательных зубов врачи используют индекс разрушения окклюзионной поверхности зуба, или ИРОПЗ. Этот индекс показывает, какую часть площади жевательной поверхности занимает дефект (полость или старая пломба) и помогает точно выбрать метод лечения:

• При ИРОПЗ до 0,4 (разрушено до 40% коронковой части зуба) пломбирование обычно эффективно и надежно.

• Если ИРОПЗ более 0,4, предпочтительнее ортопедическое восстановление — вкладки или коронки. Такая конструкция защищает ткани зуба, обеспечивает долгий срок службы и устойчивость к нагрузкам.

• При критических значениях (выше 0,6–0,8) показаны коронки.

ИРОПЗ рассчитывается визуально, посредством фотографий или компьютерных технологий — эту методику используют для каждого клинического случая индивидуально.

Таким образом, в нашей клинике выбор восстановления всегда основан на реальной ситуации с зубом, а не на возрасте пациента. Именно такая диагностика позволяет подобрать надёжное и долговечное решение, которое полностью сохраняет функцию и здоровье.

Отдельно стоит отметить, что депульпированные (то есть зубы, из которых удалён нерв) зубы желательно покрывать коронками вне зависимости от степени разрушенности коронковой части. Это связано с тем, что такие зубы становятся более хрупкими и подвержены риску переломов, а коронка служит защитой и позволяет максимально продлить срок службы зуба.

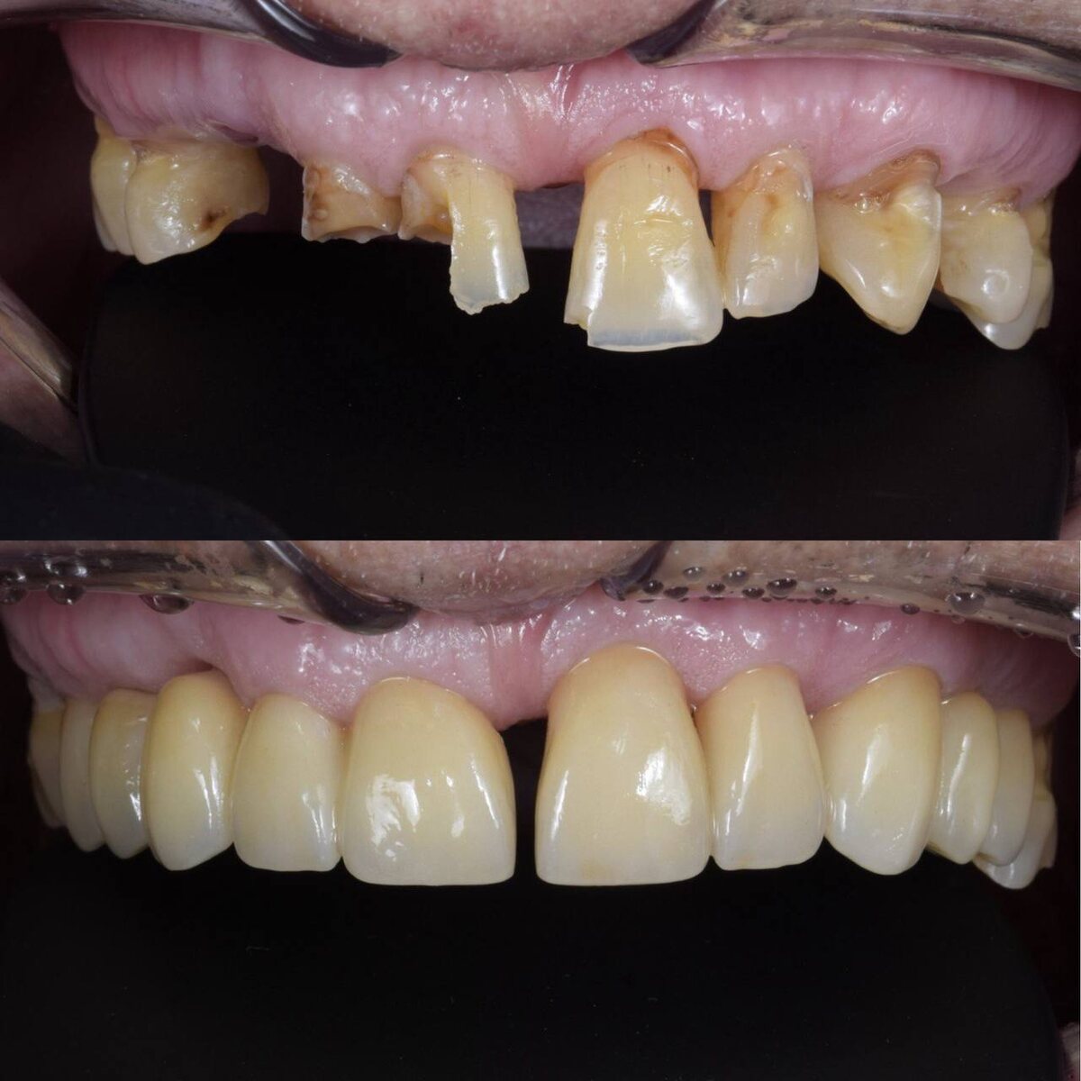
На фото пример восстановления сильно разрушенных зубов коронками.