Добавить в корзинуПозвонить
Найти в Дзене

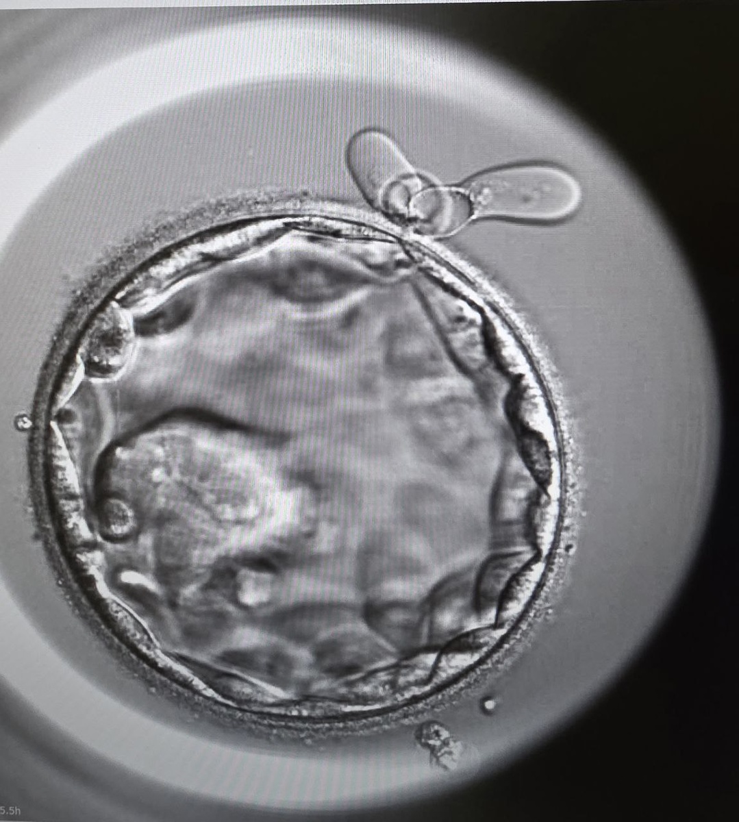
Существует ли понятие плохой эмбрион?!

Часто слышу от пациенток вопрос: «У меня эмбрион 4ВС, он плохой?» Сегодня обсудим эту важную тему. Спойлер ‼️: нет этот эмбрион имеет все шансы стать человеком!
Начнем с основ эмбриологии.
Оценка эмбрионов при ЭКО проводится эмбриологами по результатам их визуального (морфологического) развития. Основная цель — выбрать наиболее жизнеспособный эмбрион с высоким потенциалом для имплантации в

Часто слышу от пациенток вопрос: «У меня эмбрион 4ВС, он плохой?» Сегодня обсудим эту важную тему. Спойлер ‼️: нет этот эмбрион имеет все шансы стать человеком!

Начнем с основ эмбриологии.

Оценка эмбрионов при ЭКО проводится эмбриологами по результатам их визуального (морфологического) развития. Основная цель — выбрать наиболее жизнеспособный эмбрион с высоким потенциалом для имплантации в матку.

Чаще всего для оценки бластоцист (эмбрионов на 5–6 сутки развития) используется классификация Гарднера, которая состоит из цифры и двух букв (например, 4AA): 

1. Цифра (степень зрелости/размера)

Отражает стадию расширения полости бластоцисты и её размер от 1 до 6: 

  • 1–2: Ранние и средние бластоцисты (полость занимает меньше или около половины объема).
  • 3–4: Полные и расширенные бластоцисты (стенка истончается, полость максимально велика).
  • 5–6: Стадия хетчинга (эмбрион начинает выходить или уже полностью вышел из своей защитной оболочки). 

2. Первая буква (качество ВКМ)

Оценивает внутриклеточную массу (ВКМ) — клетки, из которых в будущем сформируется сам плод: 

  • A: Плотно упакованные, многочисленные клетки (лучший показатель).
  • B: Клеток меньше, они менее плотно прилегают друг к другу.
  • C: Малое количество разрозненных клеток. 

3. Вторая буква (качество трофобласта)

Оценивает внешний слой клеток — трофобласт, отвечающий за прикрепление к стенке матки и формирование плаценты: 

  • A: Многочисленные клетки, формирующие единый слой.
  • B: Клеток меньше, структура может быть неоднородной.
  • C: Мало клеток, крупные пузырьки. 
-2

На практике мы очень часто видим беременности с эмбрионами 3ВС, и иногда отсутствие имплантации у эмбриона 4АА.

Любой жизнеспособный эмбрион — это потенциальная новая жизнь и реальный шанс на успешную беременность, оценки отражают лишь текущую морфологию и скорость развития, но не являются окончательным приговором. 

Вот несколько ключевых причин, почему каждый эмбрион заслуживает шанса:

  • Классификация субъективна: Оценка «отличного» или «хорошего» качества — это визуальный срез в конкретный момент времени. Эмбрионы среднего или даже удовлетворительного качества (категории B и C) часто успешно имплантируются и приводят к рождению здоровых детей.
  • Способность к самокоррекции: Существуют данные о том, что на ранних стадиях эмбрион способен «исправлять» некоторые клеточные ошибки в процессе развития.
  • Важность среды: Шанс на беременность зависит не только от эмбриона, но и от готовности эндометрия матери. Даже «идеальный» эмбрион не гарантирует успех, в то время как менее крепкий может найти идеальные условия для развития.
  • Статистический успех: При переносе одного эмбриона частота наступления беременности достигает 50-60%, что подтверждает высокий потенциал даже при минимальном количестве материала.
  • Генетический потенциал: Эмбрионы, прошедшие генетическое тестирование (ПГТ), имеют шанс на успех до 69% независимо от их визуальной оценки «красоты». 

Каждый перенос — это уникальная история, где биология и современные технологии встречаются, чтобы дать начало новой жизни.