Найти в Дзене
Иннова Клиник

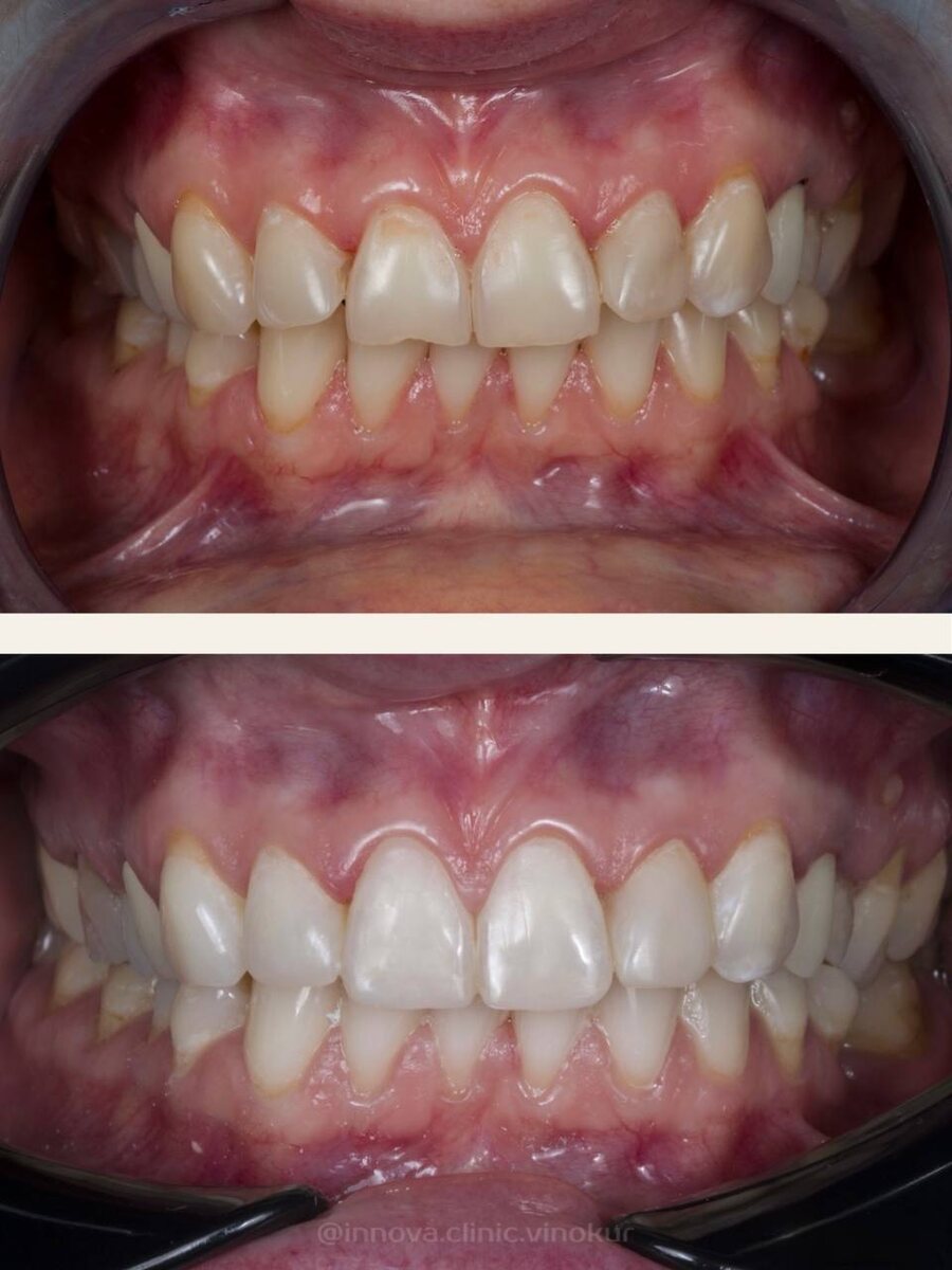
Если у вас потемневшие зубы, сколы или неровный край — это можно аккуратно и естественно исправить

🙌🏻 Посмотрите, как мы решили эту задачу в данном случае ⤴️ Разница заметна сразу: улыбка стала светлее, ровнее и более ухоженной. Сначала провели отбеливание — осветлили эмаль и выровняли оттенок. Затем выполнили композитную реставрацию — восстановили режущий край и скорректировали форму зубов. В результате — гармоничная, естественная улыбка без эффекта «искусственности» Если вы давно думаете о коррекции улыбки — сейчас самое время начать 🤍 Записаться на консультацию: +7 8352 70 97 91 📞 • Чебоксары, ул. Радужная, 5 • Чебоксары, ул. Богдана Хмельницкого, 51

Если у вас потемневшие зубы, сколы или неровный край — это можно аккуратно и естественно исправить 🙌🏻

Посмотрите, как мы решили эту задачу в данном случае ⤴️

Разница заметна сразу: улыбка стала светлее, ровнее и более ухоженной.

Сначала провели отбеливание — осветлили эмаль и выровняли оттенок.

Затем выполнили композитную реставрацию — восстановили режущий край и скорректировали форму зубов.

В результате — гармоничная, естественная улыбка без эффекта «искусственности»

Если вы давно думаете о коррекции улыбки — сейчас самое время начать 🤍

Записаться на консультацию: +7 8352 70 97 91 📞

• Чебоксары, ул. Радужная, 5

• Чебоксары, ул. Богдана Хмельницкого, 51

-2