Добавить в корзинуПозвонить
Найти в Дзене
МитраЛаб

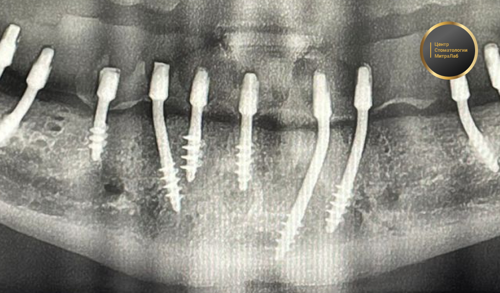
Может ли базальный имплант сломаться? История с хоккейной шайбой

Один из наших давних клиентов увлекается хоккеем и во время игры ему в челюсть попала шайба. Несколько зубов были разбиты, а вот один из имплантатов лишь слегка погнулся. Врач МираЛаб восстановил нужный изгиб, зубы пациенту заменили новыми. Отметим, что операцию ему мы делали более 15 лет назад и до сих пор импланты отлично держатся. Мы работаем со швейцарскими имплантами Доктор Иде Дэнтал Эй Джи (Dr Ihde Dental AG) и Уанвэй Биомед (Oneway Biomed). Они разработаны немецким профессором Стефаном Иде и признаны во всем мире. Это прочные и надежные конструкции из титанового сплава. Сломать их практически невозможно. Если у вас давние проблемы с зубами, не ждите осложнений. Приходите на бесплатную консультацию в МитраЛаб. Осмотрим вас и предложим надежный способ восстановления челюстей. Запись на консультацию: https://clck.ru/3Sac26 Понравилась статья? Ставьте лайк! Подписывайтесь на наш канал в Дзен.

Один из наших давних клиентов увлекается хоккеем и во время игры ему в челюсть попала шайба. Несколько зубов были разбиты, а вот один из имплантатов лишь слегка погнулся. Врач МираЛаб восстановил нужный изгиб, зубы пациенту заменили новыми. Отметим, что операцию ему мы делали более 15 лет назад и до сих пор импланты отлично держатся.

Мы работаем со швейцарскими имплантами Доктор Иде Дэнтал Эй Джи (Dr Ihde Dental AG) и Уанвэй Биомед (Oneway Biomed). Они разработаны немецким профессором Стефаном Иде и признаны во всем мире. Это прочные и надежные конструкции из титанового сплава. Сломать их практически невозможно.

Если у вас давние проблемы с зубами, не ждите осложнений. Приходите на бесплатную консультацию в МитраЛаб. Осмотрим вас и предложим надежный способ восстановления челюстей. Запись на консультацию: https://clck.ru/3Sac26

Понравилась статья? Ставьте лайк!

Подписывайтесь на наш канал в Дзен.