Добавить в корзинуПозвонить
Найти в Дзене

Бутылочный кариес – как ночная бутылочка разрушает зубы малыша

Многие родители укладывают малыша спать с бутылочкой молока, сока или компота, не подозревая об опасности. Бутылочный кариес – серьезная проблема, из-за которой к 3-4 годам ребенок может потерять все передние зубы. В этой статье объясняем, что это такое и как защитить зубы малыша. Подробнее о клинике «Формула улыбки»:
ВКонтакте | Telegram
Сайт: stomformula.com Телефоны: +7 (4932) 90-38-00, +7 (4932) 90-22-11 Бутылочный кариес – одна из самых частых проблем, с которой сталкиваются детские стоматологи. Родители приводят трехлетнего ребенка и не понимают, откуда у такого малыша почти полностью разрушенные передние зубы. Проблема развивается незаметно и быстро. Часто родители замечают ее слишком поздно, когда зубы уже сильно повреждены. Давайте разберемся, что такое бутылочный кариес и как его предотвратить. Бутылочный кариес – это особый вид кариеса, который развивается у детей раннего возраста (от 6 месяцев до 3-4 лет). Он поражает в первую очередь верхние передние зубы. Характерные при
Оглавление

Многие родители укладывают малыша спать с бутылочкой молока, сока или компота, не подозревая об опасности. Бутылочный кариес – серьезная проблема, из-за которой к 3-4 годам ребенок может потерять все передние зубы. В этой статье объясняем, что это такое и как защитить зубы малыша.

Подробнее о клинике «Формула улыбки»:
ВКонтакте | Telegram
Сайт:
stomformula.com Телефоны: +7 (4932) 90-38-00, +7 (4932) 90-22-11

Бутылочный кариес – одна из самых частых проблем, с которой сталкиваются детские стоматологи. Родители приводят трехлетнего ребенка и не понимают, откуда у такого малыша почти полностью разрушенные передние зубы.

Проблема развивается незаметно и быстро. Часто родители замечают ее слишком поздно, когда зубы уже сильно повреждены. Давайте разберемся, что такое бутылочный кариес и как его предотвратить.

Что такое бутылочный кариес

Бутылочный кариес – это особый вид кариеса, который развивается у детей раннего возраста (от 6 месяцев до 3-4 лет). Он поражает в первую очередь верхние передние зубы.

Характерные признаки:

– Появляется на передних верхних зубах

– Развивается очень быстро

– Часто поражает сразу несколько зубов

– Может привести к полной потере передних молочных зубов

Название связано с главной причиной – засыпанием ребенка с бутылочкой во рту.

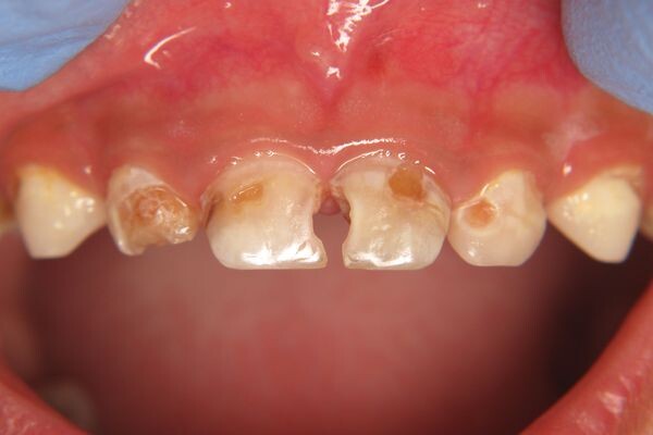
Поражения зубов при бутылочном кариесе
Поражения зубов при бутылочном кариесе

Почему это происходит

Механизм развития бутылочного кариеса связан с особенностями питания малышей и физиологией.

Главные причины:

– Ребенок засыпает с бутылочкой молока, смеси, сока, компота или каши

– Сладкая жидкость остается на зубах всю ночь

– Ночью слюна вырабатывается меньше и не смывает сахар

– Бактерии во рту питаются сахаром и выделяют кислоту

– Кислота разрушает эмаль молочных зубов

Даже грудное молоко содержит сахар. Если ребенок засыпает у груди и спит с соском во рту, риск бутылочного кариеса тоже есть, хотя и меньше.

Что усугубляет проблему:

– Частые ночные кормления после года

– Перекусы сладким в течение дня

– Отсутствие чистки зубов

– Слабая эмаль (генетика, недостаток кальция)

Примечание: Молочные зубы имеют более тонкую эмаль, чем постоянные, поэтому разрушаются быстрее.

Бутылочка с соком или молоко
Бутылочка с соком или молоко

Как распознать проблему

Бутылочный кариес развивается стремительно. Важно заметить его на ранней стадии.

Первые признаки:

– Белые пятна на передних верхних зубах (у линии десны)

– Потемнение эмали

– Желтоватые или коричневые полосы на зубах

– Шероховатость эмали

Поздние стадии:

– Видимые дырки в зубах

– Темные, почти черные зубы

– Сколы и разрушение коронки зуба

– Боль при жевании

Детский стоматолог Ирина Тимофеева из клиники «Формула улыбки» регулярно сталкивается с бутылочным кариесом на приеме. По ее наблюдениям, чем раньше родители обращаются, тем больше шансов сохранить зубы малыша.

К чему приводит бутылочный кариес

Последствия бутылочного кариеса серьезнее, чем может показаться.

Если не лечить:

– К 3-4 годам ребенок может потерять все передние зубы

– Нарушается правильное развитие речи

– Страдает пережевывание пищи

– Возникают проблемы с пищеварением

– Инфекция может распространиться на зачатки постоянных зубов

– Нарушается формирование прикуса

– Ребенок стесняется улыбаться

Психологический аспект:

Дети с разрушенными передними зубами могут столкнуться с насмешками сверстников. Это влияет на самооценку и социализацию малыша.

В «Формуле улыбки» работают с детьми бережно и внимательно. Здесь есть отдельное направление детской стоматологии, где врачи помогают даже в запущенных случаях.

Примечание: Молочные зубы держат место для постоянных. Их ранняя потеря приводит к проблемам с прикусом в будущем.

Как защитить ребенка

Бутылочный кариес можно предотвратить. Главное – правильные привычки с самого начала.

Основные правила профилактики:

– Не укладывайте ребенка спать с бутылочкой молока, сока или компота

– После года постепенно отучайте от ночных кормлений

– Если ребенок засыпает у груди – после кормления протрите зубки влажной марлей

– Давайте воду вместо сладких напитков

– Не макайте соску в мед или варенье

Гигиена:

– Начинайте чистить зубы с появления первого зуба

– Используйте детскую зубную щетку с мягкой щетиной

– До года чистите силиконовым напальчником или марлей

– Чистите зубы дважды в день – утром и вечером

– Используйте детскую пасту по возрасту

Питание:

– Ограничьте сладкое – После сладкого давайте ребенку попить воды

– Не давайте соки и компоты перед сном

– Вводите твердую пищу по возрасту – она помогает очищать зубы

Визиты к стоматологу:

Первый визит к детскому стоматологу рекомендуется в год, когда появляются первые зубки. Дальше – каждые полгода для профилактического осмотра.

В клинике «Формула улыбки» детские стоматологи проводят осмотры, обучают родителей правильной гигиене и при необходимости лечат бутылочный кариес на ранних стадиях. Клиника проводит бесплатные уроки профессиональной гигиены для детей.

★★★

Бутылочный кариес – серьезная проблема, которая может привести к потере всех передних зубов у ребенка к 3-4 годам. Главная причина – засыпание с бутылочкой сладкой жидкости во рту. Сахар остается на зубах всю ночь и разрушает тонкую эмаль молочных зубов.

Но эту проблему легко предотвратить. Не укладывайте малыша спать с бутылочкой, начинайте чистить зубы с появления первого зуба, ограничивайте сладкое и посещайте детского стоматолога каждые полгода. Здоровые молочные зубы – это правильное развитие речи, хорошее пищеварение и красивая улыбка вашего ребенка.

Подробнее о клинике «Формула улыбки»:
ВКонтакте | Telegram
Сайт:
stomformula.com Телефоны: +7 (4932) 90-38-00, +7 (4932) 90-22-11

#стоматология #бутылочныйкариес #детскаястоматология #ФормулаУлыбки #здоровьезубов #детскиезубы #стоматологИваново #профилактикакариеса #молочныезубы #уходзазубами