Добавить в корзинуПозвонить
Найти в Дзене

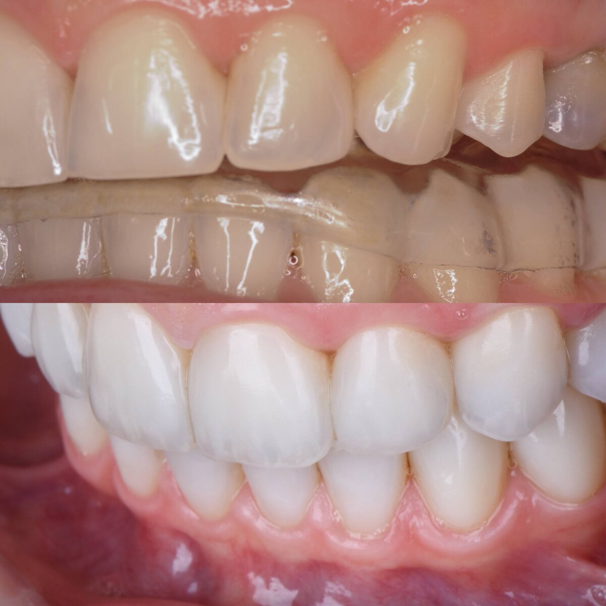
Альтернатива тотальному препарированию

🦷 Пациентка обратилась из другой клиники после пройденного этапа реабилитации височно-нижнечелюстного сустава (ВНЧС) с использованием ортопедического сплинта. Основная проблема заключалась в том, что в прежней клинике для фиксации достигнутого результата ей предложили обточить под коронки абсолютно все интактные (здоровые) зубы. В поисках более щадящего подхода пациентка обратилась к нам. Альтернативным решением стало восстановление зубов с минимальным вмешательством в жевательной группе и полным сохранением эмали на остальных зубах. Даны рекомендации по наблюдению: Осмотр каждые полгода для контроля и при необходимости коррекцию Функциональных треков нижней челюсти. Результат после лечения: 💜 Без обточки: прямая реставрация 18 зубов 💜 Минимальное препарирование на жевательных зубах для 8 ми накладок emax 💜 Альтернатива тотальному обтачиванию @umetria_stom ⬅️ запишитесь на консультацию и сделайте первый шаг к своей красивой улыбке 🌸 📲 Переходите на мой канал MAX (в св

Альтернатива тотальному препарированию 🦷

Пациентка обратилась из другой клиники после пройденного этапа реабилитации височно-нижнечелюстного сустава (ВНЧС) с

использованием ортопедического сплинта.

Основная проблема заключалась в том, что в прежней клинике для фиксации достигнутого результата ей предложили обточить под коронки абсолютно все интактные (здоровые) зубы. В поисках более щадящего подхода пациентка обратилась к нам. Альтернативным решением стало восстановление зубов с минимальным вмешательством в жевательной группе и полным сохранением эмали на остальных зубах.

Даны рекомендации по наблюдению:

Осмотр каждые полгода для контроля и при необходимости коррекцию Функциональных треков нижней челюсти.

Результат после лечения:

💜 Без обточки: прямая реставрация 18 зубов

💜 Минимальное препарирование на жевательных зубах для 8 ми накладок emax

💜 Альтернатива тотальному обтачиванию

@umetria_stom ⬅️ запишитесь на консультацию и сделайте первый шаг к своей красивой улыбке 🌸

📲 Переходите на мой канал MAX (в связи с блокировкой телеграм)

☎️ Либо звоните +74954456755

-2
-3
-4
-5
-6