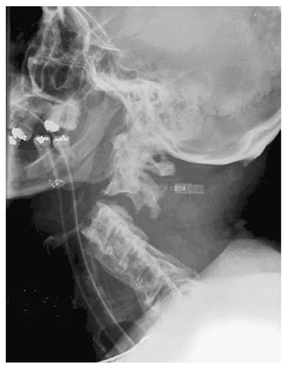
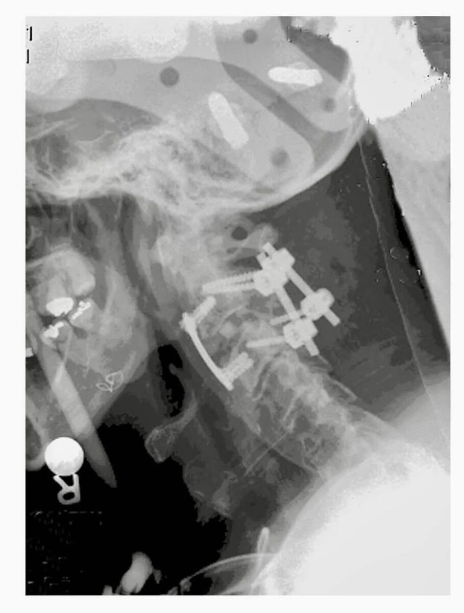
Несмотря на крайне мерзкий первый снимок, выписалась без существенных неврологических нарушений (картинки из интернета)
Несмотря на крайне мерзкий первый снимок, выписалась без существенных неврологических нарушений (картинки из интернета)
...Читать далее
Пациентка 57 лет поступила после ДТП. Несмотря на крайне мерзкий первый снимок, выписалась без существенных неврологических нарушений (картинки из интернета)