Найти в Дзене
Parodoctor

Протезирование передних зубов без ортодонтии - циркониевые коронки при неправильном прикусе. Случай, о котором я не хотела рассказывать

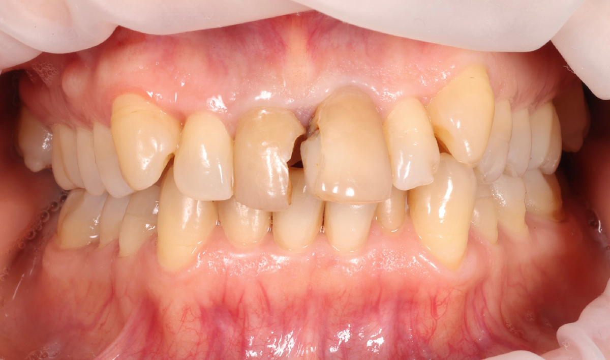
Помню клинический случай. Помню фото. Помню, как обдумывала текст. Пошла искать "по сусекам" - а там пусто. В Дзен ничего нет. Точно не удаляла - значит, и не писала. Нашла только маленький пост в Телеграм-канале за октябрь 2024-го. И вот тогда-то и вспомнила, почему материал не вышел. Потому что этот случай я посчитала даже немного вредным для контентной стратегии. Я не хотела притягивать подобное. Сейчас, спустя полтора года - момент настал и мне точно есть, что рассказать. Пациентка обратилась с разрушенными фронтальными зубами - центральные резцы верхней челюсти требовали капремонта: Коронковые части пострадали серьёзно, зубы требовали восстановления коронками. Почему так жёстко? Да потому что от родных тканей мало что осталось. Старые пломбы за "родные ткани", если что, не считаются. Казалось бы - классическая ортопедическая задача. Подготовить зубы, снять слепки, изготовить коронки, зафиксировать. Но не всё так просто. И от игнорирования важных моментов может всем быть плохо в
Оглавление

Помню клинический случай. Помню фото. Помню, как обдумывала текст. Пошла искать "по сусекам" - а там пусто. В Дзен ничего нет. Точно не удаляла - значит, и не писала. Нашла только маленький пост в Телеграм-канале за октябрь 2024-го. И вот тогда-то и вспомнила, почему материал не вышел.

Потому что этот случай я посчитала даже немного вредным для контентной стратегии. Я не хотела притягивать подобное. Сейчас, спустя полтора года - момент настал и мне точно есть, что рассказать.

Восстановление 2 разрушенных фронтальных зубов коронками из диоксида циркония

Пациентка обратилась с разрушенными фронтальными зубами - центральные резцы верхней челюсти требовали капремонта:

Разрушенные коронковые части зубов 1.1 и 2.1
Разрушенные коронковые части зубов 1.1 и 2.1

Коронковые части пострадали серьёзно, зубы требовали восстановления коронками. Почему так жёстко? Да потому что от родных тканей мало что осталось. Старые пломбы за "родные ткани", если что, не считаются.

Состояние резцов до, вид со стороны нёба
Состояние резцов до, вид со стороны нёба

Казалось бы - классическая ортопедическая задача. Подготовить зубы, снять слепки, изготовить коронки, зафиксировать.

Но не всё так просто. И от игнорирования важных моментов может всем быть плохо в перспективе.

Ортодонтия перед установкой коронок

Прикус у пациентки далёк от идеала, это факт. Один из зубов (2.1) был выдвинут и наклонён вперёд относительно соседнего 1.1. Перекос заметен.

Правильный путь в такой ситуации: сначала ортодонтическая коррекция - поставить зубы в правильное положение, а потом уже восстанавливать коронками в естественной анатомии.

Почему? Потому что коронка - это протез, который надевается на то, что есть. Если "то, что есть" стоит криво, то коронка либо повторяет кривизну, либо компенсирует её за счёт изменения наклона и формы.

А это уже неестественная нагрузка на корень, на пародонт, на всю конструкцию. И это очень опасно.

Я являюсь противником изменения наклона зубов коронками без ортодонтии. Потому что я за физиологичность. Никто не даст гарантий, что после такого ортопедического вмешательства у зубов не будет проблем - от сколов до перегрузки тканей пародонта.

Но наша пациентка тогда, в 2024 году, отказалась от ортодонтической коррекции. Сделать зубы в точности по расположению родных коронковых частей - тоже никто не захотел. Не симпатично.

Хорошенько подумав, мы решились воплотить ортопедическую работу в жизнь без коррекции прикуса и вот почему:

  • всего два зуба, и они фронтальные - объём вмешательства минимальный;
  • корни у обоих зубов оказались с качественным эндодонтическим лечением - надёжная основа;
  • соседние зубы отбелили, что позволило подобрать более светлые коронки и получить гармоничный результат.
Каналы не потребовали перелечивания
Каналы не потребовали перелечивания

Но компромиссы остались. Наклоны культей - физиология такова:

Обточка коронковых частей, под десной ретракционная нить
Обточка коронковых частей, под десной ретракционная нить

Коронковая часть зуба 2.1 оказалась длиннее, чем у 1.1:

Коронки из диоксида циркония
Коронки из диоксида циркония

Это прямое следствие того, что 2.1 был наклонён вперёд — десневой край на нём расположен выше. Подрезать здоровую десну на 1.1, чтобы выровнять длину? Как по мне - кощунство, что ли. Тем более при улыбке десневой край не виден, посмотрим на фото 2026 года:

Фото 2026 года
Фото 2026 года

Результат хороший. Но не идеальный. И именно поэтому я полтора года не писала эту статью.

Коронки на кривые зубы без ортодонтической коррекции - не рекомендую

Вот мои честные причины:

  1. Я не хочу, чтобы после этой статьи приходили люди с травмирующим прикусом, но не готовые к ортодонтии. С тем, что точно помешает нашей работе, точно увеличит риски - от сколов коронок до перегрузки тканей пародонта. Или мы делаем всё по уму, или лучше не делать вовсе.
  2. Разная длина коронок - результат отказа от ортодонтии. Это не ошибка врача, но это компромисс, который виден профессиональному глазу. И я не хочу выдавать компромисс за норму.
  3. Главная причина - мы можем себе позволить работать по правилам. Мы не цепляемся за всех и каждого. Скажу больше - вообще ни за кого цепляться не нужно. Кто хочет качества, тот и сам всё понимает.
Именно такой посыл я хочу отправить в интернет-пространство.

Чем меньше зубов - тем важнее прикус

И вот настал март 2026. Полтора года прошло. Смотрю на фото пациентки - коронки стоят, всё работает, симпатично всё, десна хорошая, проблем нет. Всё идёт по плану - даже то, что статья не была ранее написана.

Я не передумала насчёт прикуса. Моя позиция за полтора года только укрепилась.

Но есть важный нюанс. Мы не фанатики идеального прикуса, доходящие до безумия в своих верованиях. Если расположение зубов пациента безопасно и ему всё нравится - мы готовы сохранить индивидуальность. Не каждый "неидеальный" прикус требует коррекции. У нас есть пациенты, для которых мы не настаиваем на ортодонтии - потому что разумно рассчитали и понимаем, что это в их случае будет безопасно. Для нас, в том числе. Мы все отказы прописываем на бумаге.

Исключения из правил лишь подтверждают само правило - с прикусом это тоже работает.

Но вот что критически важно понимать, о чёмм я пишу постоянно - свои родные зубы, пока они во рту ещё есть, прощают очень многое. Неидеальный прикус, неидеальное смыкание, небольшие перегрузки - живой зуб с периодонтальной связкой адаптируется, амортизирует, терпит.

А вот чем меньше зубов остаётся - тем критичнее влияние прикуса. Каждый потерянный зуб перераспределяет нагрузку на оставшиеся и допустимого становится меньше. То, что прощалось при полном комплекте, зубов, теперь ломает конструкции и расшатывает опоры. Коррекция прикуса требуется чаще и отношение к этому более категоричное у нас (у врачей).

Именно поэтому, когда мы ставим коронки, имплантаты, мосты - вопрос прикуса выходит на первый план. Чем больше планируется ортопедии во рту - тем меньше права на ошибку.

В случае нашей пациентки коррекции коронками потребовали всего два зуба, остальные свои, прикус терпит. Даже рецессий за 1.5 года не случилось, всё хорошо:

-7

Вот поэтому иногда и решаемся на такое, всё осознанно. Но этот случай - исключение, а не правило.

А самое приятное знаете что? Наша пациентка теперь сама не против ортодонтической коррекции. Дозрела. Поняла. Готова.

Всё всегда к лучшему. Нужно просто подождать.

Коронки из диоксида циркония и неправильный прикус - прошло 1.5 года
Коронки из диоксида циркония и неправильный прикус - прошло 1.5 года

Вывод

Эта статья - не инструкция про то, как сделать коронки без ортодонтии. Это история про то, где проходит границамежду сохранением индивидуальности и компромиссом, за который потом платит клиника или пациент.

Прикус не травмирует, зубы свои, пациенту нравится - сохраняем как есть. Родные зубы простят многое.

Но чем меньше своих зубов остаётся, чем больше коронок, имплантатов, мостов - тем жёстче требования к прикусу. Тем меньше допустимого. Тем чаще нужна коррекция.

Мы стремимся к правильным действиям, к качественному безопасному лечению. И если для этого нужно отказать, подождать, объяснить - мы будем это делать. Потому что наша репутация строится не на количестве установленных коронок в моменте, а на том, сколько из них простоит без проблем многие годы (десятилетия).

Хотите красивые зубы? Мы тоже этого хотим. Но давайте сначала разберёмся с фундаментом.

Больше статей по нашей ортопедии в подборке:

Ортопедия и материалы | Parodoctor | Дзен

Если вам интересны подобные клинические истории - подписывайтесь на канал Parodoctor в Telegram. Там я рассказываю о стоматологии без прикрас: сложные случаи, нестандартные решения и то, что остаётся за кадром обычного приёма. Именно там я отвечаю на вопросы подписчиков, привлекая к ответам врачей команды, если это требуется:

Parodoctor

Завела канал в MAX, чтобы был (чтобы выкладывать видео, которые не грузит Телеграмм), называется он Parodoctor:

Parodoctor

С уважением, Лежачёва Наталия Александровна, хирург-пародонтолог и главный врач стоматологии Parodent, СПб.