Добавить в корзинуПозвонить
Найти в Дзене

Привет, дорогой Волшебник! Меня зовут Персик

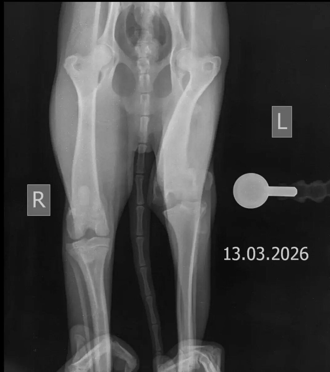
🆘🐶🆘🐶🆘🐶 Привет, дорогой Волшебник! Меня зовут Персик. У меня очень болит лапка и нужна операция🥺 Помогите мне, пожалуйста, жить без боли и бегать на четырёх лапах 😭 ❗️Сумма к сбору 77.450 рублей🙏 Мой благодарный гав под виляние хвостиком каждому откликнувшемуся🐾🙏 💳Сбербанк: 2202 2067 0788 0014 Получатель: Жанна Александровна В. Привязана к т. 8 (953) 065 3687 🤍Сообщение: Благотворительность. Персик Всегда Ваш #ПриютУсатыйПолосатый #Помочь

🆘🐶🆘🐶🆘🐶

Привет, дорогой Волшебник! Меня зовут Персик. У меня очень болит лапка и нужна операция🥺 Помогите мне, пожалуйста, жить без боли и бегать на четырёх лапах 😭

❗️Сумма к сбору 77.450 рублей🙏

Мой благодарный гав под виляние хвостиком каждому откликнувшемуся🐾🙏

💳Сбербанк: 2202 2067 0788 0014

Получатель: Жанна Александровна В.

Привязана к т. 8 (953) 065 3687

🤍Сообщение: Благотворительность. Персик

Всегда Ваш #ПриютУсатыйПолосатый

#Помочь

-2