Добавить в корзинуПозвонить
Найти в Дзене
Life

Россиянка отправилась в Турцию за голливудской улыбкой, но получила рот Бабы-яги

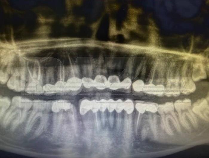
По словам девушки, в марте она обратилась в турецкую клинику для установки виниров. Во время процедуры зубы спилили настолько сильно, что от нижних почти ничего не осталось. Позже пациентка выяснила, что вместо виниров ей фактически установили коронки и мосты на несколько зубов. Уже на следующий день после процедуры появилась сильная боль. В клинике начали удалять воспалённые нервы — их оказалось целых шесть. Через некоторое время боль вернулась. Таблетки не помогали, поэтому она обратилась в экстренную стоматологию, где врачи обнаружили сильное воспаление и срочно удалили ещё несколько нервов. На следующий день у пациентки сильно опухла щека. Медики предупредили, что инфекция начала распространяться и при более позднем обращении могла потребоваться госпитализация. Кроме того, одна из установленных коронок треснула. Сейчас ей предлагают новое лечение. Одну конструкцию заменить отдельно нельзя — придётся ломать соседнюю и делать двойную. Стоимость восстановления оценивается примерно в д

Россиянка рассказала о серьёзных осложнениях после стоматологического лечения в Турции. Девушка хотела установить виниры и получить голливудскую улыбку, но в итоге столкнулась с болезненными последствиями. Об этом сообщает Telegram-канал Baza.

Обложка © Shutterstock / FOTODOM / Komsan Loonprom
Обложка © Shutterstock / FOTODOM / Komsan Loonprom

По словам девушки, в марте она обратилась в турецкую клинику для установки виниров. Во время процедуры зубы спилили настолько сильно, что от нижних почти ничего не осталось. Позже пациентка выяснила, что вместо виниров ей фактически установили коронки и мосты на несколько зубов. Уже на следующий день после процедуры появилась сильная боль.

В клинике начали удалять воспалённые нервы — их оказалось целых шесть. Через некоторое время боль вернулась. Таблетки не помогали, поэтому она обратилась в экстренную стоматологию, где врачи обнаружили сильное воспаление и срочно удалили ещё несколько нервов. На следующий день у пациентки сильно опухла щека. Медики предупредили, что инфекция начала распространяться и при более позднем обращении могла потребоваться госпитализация. Кроме того, одна из установленных коронок треснула.

Сейчас ей предлагают новое лечение. Одну конструкцию заменить отдельно нельзя — придётся ломать соседнюю и делать двойную. Стоимость восстановления оценивается примерно в две тысячи долларов, а пока девушке приходится ждать, пока спадёт воспаление.

Ранее Life.ru писал о россиянке, которая четыре месяца ходила с марлей в животе после пластики за 750 тысяч. В клинике ей за за один приём провели абдоминопластику, бодилифт, липосакцию и липолифтинг, удалив четыре литра жира. Хирурги заверили пациентку, что всё прошло успешно.

Больше новостей о медицине, здоровье и долголетии — читайте в разделе «Здоровье» на Life.ru.

Полина Никифорова
Журналист